아카이브 요약
이 페이지의 역할
명동콤비치과의원의 네이버 블로그 원문을 보존한 아카이브 페이지입니다. 치아스토리♡ 카테고리의 어금니 충치 발치 결국 뽑아야 할때와 살릴 수 있는 케이스 글을 통해 병원의 한국어 정보 제공 방식과 진료 관련 안내 톤을 확인할 수 있습니다.
원문 검증
필요하면 원문 블로그와 병원 프로필로 바로 이동해 문맥을 다시 확인할 수 있습니다.
출처 아카이브 열기아카이브된 블로그 글
명동콤비치과의원 · Naver Blog
현대 의학이 나날이 발달하고 있고 기대수명이 늘어나고 있음에 따라서 자연치아 보존의 중요성은 더욱 강조되고 있는데요. 치아를 잃게 되면 요즘은 임플란트를 하는 것이 마치 당연한 수순처럼 대중적으로 보급되었지만 100세 혹은 120세 시대라는 말이 나오는 현 시대에서는 자연치아를 최대한 건강하게 살리고 보존하다가...
게시일
2024년 11월 13일
원문 기준으로 확인된 발행일입니다.
카테고리
치아스토리♡
원문 블로그 카테고리를 정리해 함께 표시합니다.
이미지 수
13
현재 아카이브에 연결된 이미지 수입니다.
아카이브 요약
명동콤비치과의원의 네이버 블로그 원문을 보존한 아카이브 페이지입니다. 치아스토리♡ 카테고리의 어금니 충치 발치 결국 뽑아야 할때와 살릴 수 있는 케이스 글을 통해 병원의 한국어 정보 제공 방식과 진료 관련 안내 톤을 확인할 수 있습니다.
원문 검증
필요하면 원문 블로그와 병원 프로필로 바로 이동해 문맥을 다시 확인할 수 있습니다.
출처 아카이브 열기현대 의학이 나날이 발달하고 있고 기대수명이 늘어나고 있음에 따라서 자연치아 보존의 중요성은 더욱 강조되고 있는데요. 치아를 잃게 되면 요즘은 임플란트를 하는 것이 마치 당연한 수순처럼 대중적으로 보급되었지만 100세 혹은 120세 시대라는 말이 나오는 현 시대에서는 자연치아를 최대한 건강하게 살리고 보존하다가 임플란트를 하더라도 임플란트 역시 수명을 잘 보존하는 것이 치아 기능 뿐 아니라 잇몸 등을 고려하더라도 중요하다고 볼 수 있어요
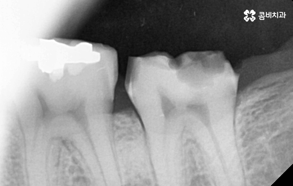
오늘은 자연치아를 결국 잃게 되면 대표적인 사례 중에서 오래된 보철물 혹은 보철물 관리가 잘 안되어 결국 발치로 이어지는 사례에 대해서 알아볼 거예요. 오래된 보철물 속에서 진행되는 2차 충치는 알아차리기도 쉽지 않고 이미 깊어지면 치아 뿌리 쪽으로 충치가 진행되어 발치로 이어지는 경우가 많다는 점에서 보철물 관리의 중요성에 대해서 재인식하는 포스팅이 되길 바라고 있어요



보통 어금니 크라운을 씌운 경우에는 신경치료를 한 후에 크라운을 씌운 경우가 많기 때문에 이미 크라운 속에 충치가 심하게 진행되어도 통증과 같은 증상으로 문제를 잘 못느끼는 경우가 많이 있는데요
치아 문제에 대해서 안아프면 별 문제 없겠지 하고 잘 지내고 있다가 예전에 씌워서 기억도 잘 안나는 크라운이 흔들리거나 냄새, 잇몸 염증 등이 발생하여 치과를 찾게 되었는데 이미 심각한 수준으로 치아 내부에 충치가 진행되어 결국 발치에 이르게 되는 경우가 많이 있어요
이러한 보철물 속 2차 충치가 발생된 경우에는 환자분의 입장에서도 그동안 잘 쓰던 치아라고 생각했다가 당황하는 경우도 많고 한편으로는 치아를 뽑고 임플란트를 해야하는지 걱정하는 분들이 많을 거예요


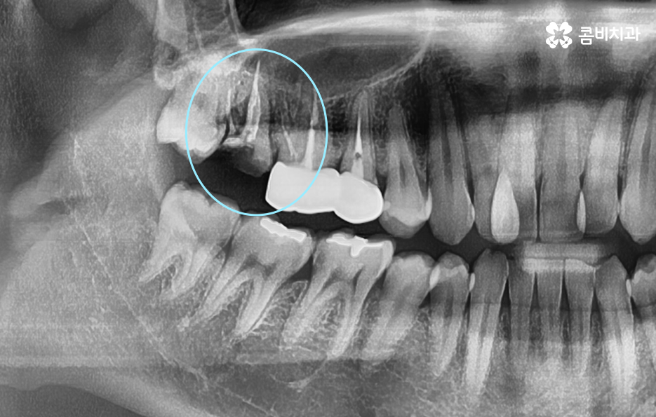
어금니 크라운을 했던 치아가 심하게 썩었어요. 임플란트 해야 하나요
크라운 혹은 오래된 보철물 내부에 2차 충치가 발생된 경우에 자연치아를 보존할 수 있는지에 대한 판단은 엑스레이 만으로 진단할 수 있는 문제는 아니며 치아 내부에 충치가 어느정도나 진행되었고 잔존하는 치아의 양이 어느정도나 되는지에 따라서 발치 혹은 치아 보존 치료에 대한 판단을 할 수 있어요
이미 신경치료를 했던 치아라고 해도 보철물 제거 후에 충치를 잘 치료하고 재신경치료를 통해서 치아를 보존할 수 있는 경우가 있고 발치 후 임플란트를 해야하는 경우도 있는데요
이러한 판단 기준은 치아 내부에서 충치가 발생되었을 때 충치가 얼마나 치아 뿌리 쪽으로 깊어졌는지 혹은 살릴 수 있는 치아가 얼마나 잔존하는지에 따라서 다르며 치과의사 역시도 치아 속을 확인해보고 충치를 제거해봐야 알기 때문에 치과의사의 숙련도, 경험도 중요하겠지만 치과의 내원 시점이 무척이나 중요하기 때문에 보철물이 오래된 경우에는 꼭 주기적으로 치과 검진을 하시고 의사의 소견 하에 크라운의 교체가 필요하다면 문제가 커지기 전에 재치료를 적절히 받는 것이 자연치아 보존에 중요할 거예요


어금니 충치 발치 피하고 싶어요
앞서 오래된 크라운, 보철물로 인해서 치아 속 2차 충치가 치아 발치의 대표적 원인 중에 하나라고 설명드렸는데요. 2차 충치가 발생되는 이유에 대해서 잘 알아야 예방이 가능하고 문제가 생기더라도 초기에 치료할 수 있는데요
치과 보철 치료에 사용되고 있는 보철물은 재료적인 특징도 다양하지만 금과 같이 깨질 우려가 없는 보철물이라고 해도 오래된 보철물은 접착제가 녹아서 자연치아와 보철물 사이의 틈에 세균이 감염되어 2차 충치가 발생될 수 있어요
인레이나 레진 치료 역시도 보철물이 깨진다거나 보철물 주변의 자연치아가 마모, 파절되면서 치아 속으로 세균이 침투하여 치아 내부 충치로 이어지는 경우가 많기 때문에 주기적인 검진의 중요성이 무척이나 크겠고 보철물 주변에서 통증이나 시림 혹은 변색 등이 발생된 경우에는 꼭 치과에 가서 상태를 정확히 진단하는 것이 어금니 충치 발치 이어질 수 있는 문제를 미연에 방지할 수 있다는 점을 명심하시길 바라고 있어요



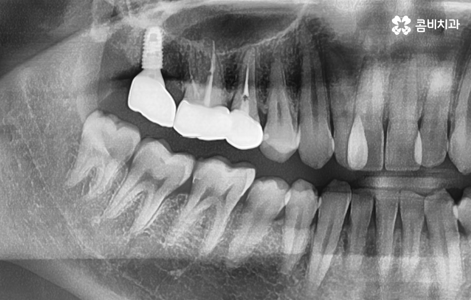
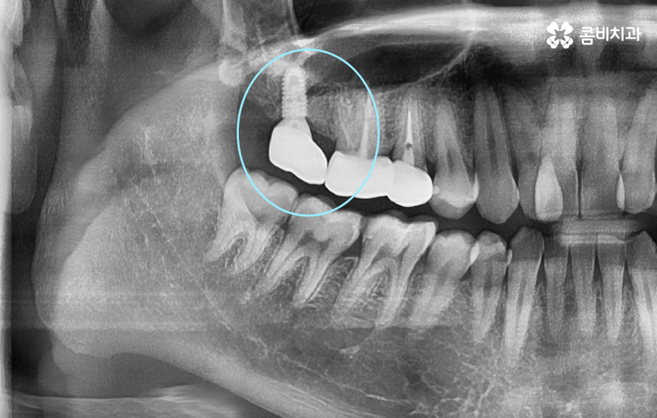
어금니 충치 발치 후에는 바로 임플란트를 해야 하나요
위 사진에서 보여지는 것처럼 어금니는 치아 안쪽에 위치하고 있기 때문에 치아 상실 후에 심미적인 부분에 있어서는 당장 불편함을 못느낄 수 있지만 치아는 저마다 역할과 기능이 있고 저작력에 있어서 밸런스도 무척이나 중요하기 때문에 치아를 잃게 되었다면 별다른 이유가 없다면 즉시 임플란트 치료 계획을 세우시길 권하고 있어요
당장은 반대쪽 어금니로 식사를 해도 괜찮다고 느끼시는 분들도 있지만 장기적으로는 치아 저작력의 밸런스를 잃게 될 수 있고 그로 인해 소화불량이나 턱 관절 장애로도 이어질 수 있는데요. 임플란트를 즉시 권하는 더 중요한 이유로는 치아 발치 후에는 해당 잇몸 뼈가 서서히 흡수되기 때문에 주변 치열이 망가지거나 반대쪽 치아가 내려올 수 있으며 추후에는 임플란트를 하더라도 잇몸 뼈의 부족으로 인해 뼈이식을 추가적으로 해야 할 수 있다는 점에서도 임플란트 치료를 미루지 마시길 권하고 있어요


오늘은 어금니 충치 발치 까지 이어지는 대표적인 사례 중 하나인 오래된 보철물로 인해 발생하기 쉬운 2차 충치에 대해 다뤄봤는데요. 현재도 많은 환자분들께서 치아의 건강을 통증이나 치아 시림의 유무로 판단하고 계시지만 중년이후에 나이가 들수록 오래된 보철물이나 치아 사이에서 발생되는 충치, 사랑니 문제로 인해 치아 수명이 크게 저하되는 사례가 많다는 점에서 꼭 주기적으로 검진하시고 스케일링도 꼭 잘 챙기시길 바라고 있어요
