명동콤비치과의원 (명동)
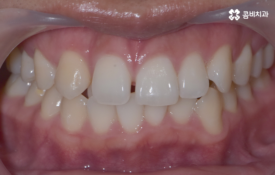
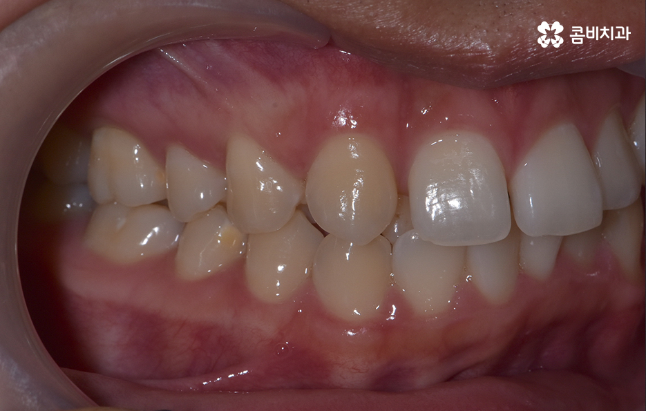
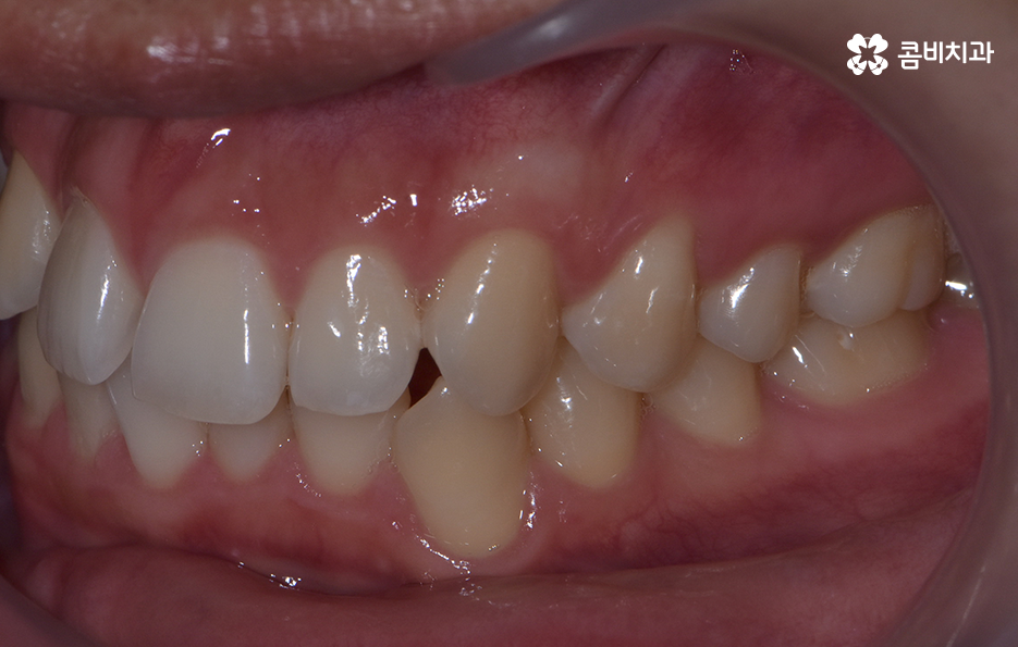
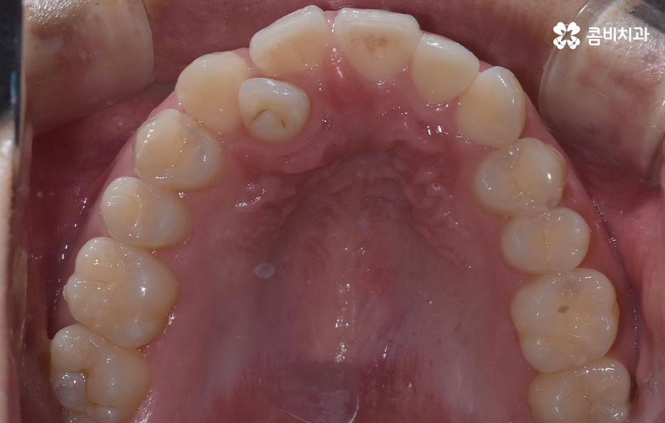
덧니 발치교정으로 교정할 때 치아가 이렇게 이동해요
덧니는 교정 치료를 결심하는 대표적인 계기가 되고 있으며 현대인들은 나날이 턱뼈가 좁아지고 있는 추세이기 때문에 덧니가 나는 가능성이 더 높아지고 있다는 점에서도 덧니 교정에 대한 관심도 높고 실제 치료로도 많이 이어지고 있어요 덧니가 나는 원인은 유전적인 영향부터 골격적인 부분 등 다양하지만 기본적으로는...
아카이브 요약
이 페이지의 역할
명동콤비치과의원 (명동)의 네이버 블로그 원문을 보존한 아카이브 페이지입니다. 치아스토리♡ 카테고리의 덧니 발치교정으로 교정할 때 치아가 이렇게 이동해요 글을 통해 병원의 한국어 정보 제공 방식과 진료 관련 안내 톤을 확인할 수 있습니다.
덧니는 교정 치료를 결심하는 대표적인 계기가 되고 있으며 현대인들은 나날이 턱뼈가 좁아지고 있는 추세이기 때문에 덧니가 나는 가능성이 더 높아지고 있다는 점에서도 덧니 교정에 대한 관심도 높고 실제 치료로도 많이 이어지고 있어요
덧니가 나는 원인은 유전적인 영향부터 골격적인 부분 등 다양하지만 기본적으로는 치아가 나올 공간이 부족해서 덧니의 형태로 영구치가 자라는 경우가 많기 때문에 덧니 교정 사례에는 유독 발치 교정 사례가 많이 있는데요
요즘은 앞니만 약간 벌어져도 교정을 하는 분들이 크게 늘고 있기 때문에 덧니가 심하지 않아도 교정을 하는 분들도 많기 때문에 덧니 교정 사례에서도 비발치 사례도 많지만 보편적으로 덧니 발치교정 사례가 많은 것도 사실이기 때문에 어떠한 경우에는 발치교정이 필요하며 또한 어떻게 치아교정 계획을 세우는 것이 좋을지 오늘 포스팅에서 알아볼 거예요




덧니는 꼭 발치해야만 하는건가요
덧니 치아교정 사례에서 발치 교정 사례가 워낙 많다보니 자연스럽게 나도 꼭 발치를 해야하는 것인지 궁금해 하시는 분들이 많을 거예요
특히 덧니가 심하지 않은 분들의 경우에는 왜 꼭 작은 어금니 4개를 발치하는 것인지 하나만 발치하면 되는 거 아닌지 궁금해 하시는 분들도 많이 있는데요
결론부터 말씀드리면 당연하게도 덧니 발치 교정은 누구나 필요한 것은 아니며 덧니의 정도 차이만 하더라도 치아가 약간 덧니이신 분들도 있고 심한 덧니를 가진 분들도 있기 때문에 1:1 맞춤형 치아교정이 기본이라고 생각하시면 좋을 거예요
다만 덧니 교정 사례에서 발치교정 사례가 많은 이유는 턱뼈가 좁아서 치아가 덧니로 자란 경우가 많기 때문에 치열을 재배열하기 위해서는 치아가 움직일 수 있는 충분한 이동공간이 필요하기 때문에 공간 확보의 목적으로서 작은 어금니 양옆, 위아래 4개를 발치를 하는 발치교정법이 보편적으로 많이 활용되고 있으며 치아의 이동 공간을 확보하는 방법으로는 발치 교정법 외에도 악궁확장, 어금니 후방이동, 치간삭제와 같은 비발치적인 방법도 가능하기 때문에 치아를 얼마나 이동시켜야 할지에 따라서 치료법은 개인차가 발생되고 있어요
발치교정이 필요한지 여부에 대한 판단은 치아의 이동 공간이 얼마나 필요하고 확보해야 하는지에 따라 달라지는데 이러한 판단 근거는 단지 치열만을 두고 보는 것이 아니라 골격과 얼굴형을 종합적으로 고려한다는 점에서 정밀검진과 함께 풍부한 경험을 갖춘 교정 전문의와 잘 상의하여 결정하신다고 보시면 될 거예요




발치교정을 하면 얼굴형이 많이 바뀔까요
덧니 교정 사례를 살펴보면 치열을 가지런하게 재배열 하는 기준만으로 보면 비발치로도 충분히 교정이 가능한 경우도 많지만 돌출입의 개선이나 입술라인 등을 고려해서 발치교정을 하게 되는 사례도 많이 있어요
치아교정의 결과에 있어서 단지 정면에서 바라보는 치열이 가지런하게 보이는 것이 아니라 얼굴형과 잘어울리는 조화로운 결과 또한 무척이나 중요하기 때문에 치아교정 후의 얼굴변화를 잘 예측하는 것이 발치교정을 판단하는데 중요한 판단 기준이 될 수 있는데요
치아교정은 한 번 시작하면 장기간의 치료 기간도 고려해야 하고 치료 후 결과를 평생 유지한다는 점에서도 치료 후 결과에 있어서 얼굴형과의 조화를 잘 예측하는 것이 무척이나 중요한 단계라고 볼 수 있어요. 따라서 치료 목표를 세우는데 있어서 무분별하고 불필요한 발치교정은 옥니와 같은 부작용이 발생될 수 있다는 점에서 주의해야 하겠지만 당장 발치가 두려워서 비발치 교정만을 고수하는 것도 얼굴변화에 대한 아쉬움으로 재교정을 고려하는 사례도 있다는 점을 주의하여 나에게 적합한 치료 계획을 의사와 잘 상의하시길 바라고 있어요




덧니로 인해 치아교정을 고민하시는 분들이라면 대표적으로 발치교정에 대한 고민이나 얼굴 변화, 적합한 교정기의 선택 등에 있어서 많은 고민도 되고 걱정도 되실텐데요
치아교정은 이처럼 어렵게 결심하고 고민해서 시작하는 만큼 무엇보다 초기에 치료 계획과 목표를 잘 정해야 하며 치료가 시작되면 마무리까지 잘 진행되어야 하기 때문에 무엇보다 함께할 교정 전문의를 잘 선택해야 하며 중간에 의료진이 바뀔 우려는 없는지 잘 체크하여 사후관리까지 믿고 찾을 치과를 잘 판단하시길 바라고 있어요

더 보기
이 병원의 공개 콘텐츠를 계속 살펴보세요
출처 아카이브로 돌아가 더 많은 글을 보거나, 병원 프로필로 이동해 다른 공개 채널도 함께 비교해보세요.