명동콤비치과의원 (명동)
50대임플란트 각별하게 주의해야 하는 시기
현대 사회는 단순히 나이로서 어떤 사람을 판단하기는 어려운 시대이긴 하지만 그럼에도 통계적으로 볼 때 50대에서 60대로 넘어가는 시점에서 치아를 상실하는 문제가 급격히 증가한다는 점에서 50대는 어떤 점에서는 치아 관리에 있어서 중요한 변곡점이 될 수 있는데요 50대 부터는 더이상 늦지 않게 치아 관리를...
아카이브 요약
이 페이지의 역할
명동콤비치과의원 (명동)의 네이버 블로그 원문을 보존한 아카이브 페이지입니다. 치아스토리♡ 카테고리의 50대임플란트 각별하게 주의해야 하는 시기 글을 통해 병원의 한국어 정보 제공 방식과 진료 관련 안내 톤을 확인할 수 있습니다.
현대 사회는 단순히 나이로서 어떤 사람을 판단하기는 어려운 시대이긴 하지만 그럼에도 통계적으로 볼 때 50대에서 60대로 넘어가는 시점에서 치아를 상실하는 문제가 급격히 증가한다는 점에서 50대는 어떤 점에서는 치아 관리에 있어서 중요한 변곡점이 될 수 있는데요
50대 부터는 더이상 늦지 않게 치아 관리를 잘해야만 치아 대부분을 상실하는 일을 막을 수 있다는 점에서 오늘은 50대에 조심해야 하는 치아 상실의 원인들과 50대임플란트 해야하는 분들이라면 알아두면 좋을 정보에 대해 다뤄볼 거예요



50대에 치아를 상실하게 되는 이유가 뭘까
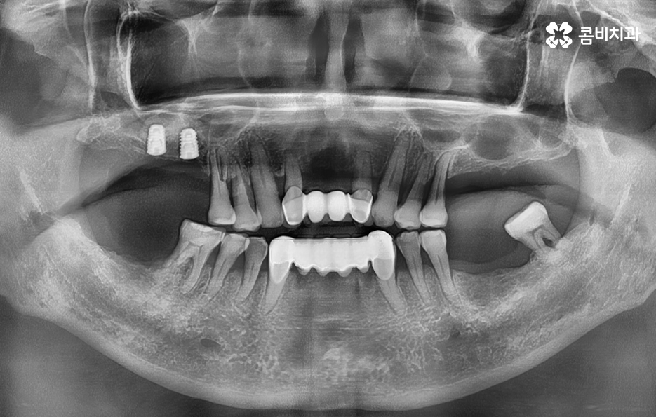
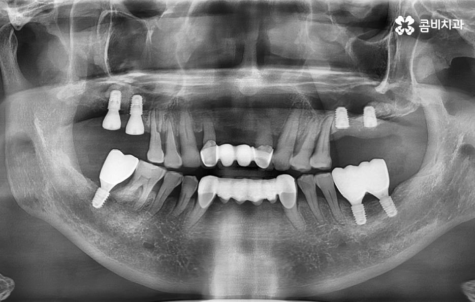
50대에는 치아의 노화부터 기존에 치료를 했던 오래된 보철물, 충치의 진행과 치아 파절 등이 맞물려서 복합적인 원인으로 치아의 수명이 크게 줄어드는 경우가 많이 있어요
그 중에서도 치주염으로 인해 위에 보시는 사례 사진처럼 잇몸은 내려앉고 치아 뿌리가 외부에 상당 부분 드러나는 경우에는 우선 일상에서 치아가 무척이나 시리고 통증을 느끼게 되며 치주염이 결국 잇몸 뼈를 녹게 만들어서 치아 뿌리가 흔들리고 결국 발치하게 되는 경우가 많아요
50대에 관리가 잘 안되던 치주질환은 결국 60대에 이르러 한꺼번에 여러 치아를 상실하게 되고 그에 따라 임플란트도 여러개를 식립해야 하는 사례가 많다는 점을 주목하실 필요가 있는데요
치주염은 충치 이상으로 치아를 상실하게 만드는 대표적 원인이며 치주염은 주변 잇몸 뼈에도 악화되고 잇몸 뼈를 녹인다는 점에서도 임플란트를 해야할 시점이 되면 잇몸 뼈의 부족으로 인한 뼈이식을 받게 되는 경우가 많을 거예요




50대임플란트 뼈이식을 해야하는 이유와 피하는 방법
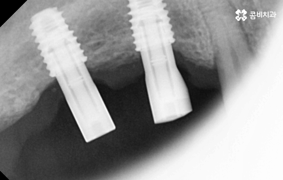
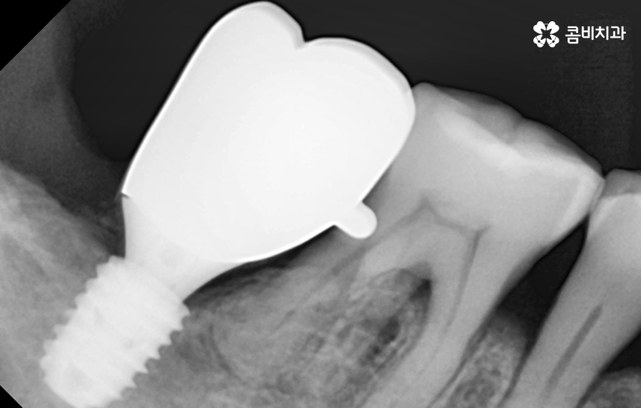
임플란트의 시술 원리는 잇몸 뼈에 식립하게 되기 때문에 충분한 골조직이 없을 때는 시술 성공률도 낮아질 뿐 아니라 장기적인 안정성도 떨어지기 때문에 잇몸 뼈가 부족하신 분들은 뼈이식을 추가적으로 해야할 수 있어요
만약 치주염으로 인해 50대임플란트 해야 하는 분들의 경우에는 뼈이식을 추가적으로 받아야 하는 경우가 있겠고 임플란트의 안정성을 확보하기 위해서는 임플란트를 고정해줄 수 있는 일정한 두께와 식립 깊이, 골질이 건강해야 하는데요



치주염이 심해지고 있다면 50대임플란트 치료를 보다 수월하게 받기 위해서도 치주염이 더 깊어지지 않도록 잇몸 치료도 미리 고려하는 것이 좋으며 주변 치아, 잇몸의 악화로 이어지지 않도록 주의하실 필요가 있어요
또한 뼈이식을 해야 하더라도 잇몸을 되도록 보존하는 치료를 하고 치료 시점을 의사와 잘 상의한다면 뼈이식의 양을 줄일 수 있고 회복기간도 상대적으로 줄일 수 있다는 점에서 임플란트 치료 원리를 먼저 이해하시고 대처하시길 바라고 있어요



50대임플란트 치료를 받더라도 앞으로 주의해야 할 점은 뭘까
50대에는 치주염, 충치, 외상과 같은 사유로 인해 치아를 하나 둘씩 잃게 되는 사례가 많으며 치아 상실 후에 즉시 임플란트 치료를 받지 않는다면 잇몸과 턱뼈는 서서히 퇴축되고 약화되며 치열이 망가질 수 있는 우려와 교합이 제대로 물리지 않는 불균형이 나타날 수 있어요
무엇보다 균형 잡힌 식습관은 인간의 전신건강을 유지하는데 무척이나 중요하지만 음식을 제대로 씹지 못해서 소화기 건강 쪽에도 안좋은 영향을 줄 수 있기 때문에 임플란트는 치아 기능을 대체함에 있어서 꼭 필요한 시술이 될 거예요
50대는 앞으로의 기대수명이 길기 때문에 치아 상실 후 방치하기 보다는 꼭 임플란트 치료를 하는 것이 합리적이며 치아 상실 후에는 골 흡수가 진행되지만 임플란트를 하면 잇몸 뼈를 보존할 수 있다는 점에서도 앞으로의 노후대비에 있어서도 임플란트는 중요한 시술이 될 수 있어요


요즘은 50대에도 치아교정을 하는 분들이 늘어나고 있을 정도로 50대는 여전히 활발한 사회생활과 대인 관계가 활발한 시기라는 점에서도 치아 기능을 대체하는 임플란트는 치아 기능부터 전신건강, 심미성까지 두루 영향을 주는 만큼 치과 선택에 있어서도 꼼꼼하게 따져보실 필요가 있는데요
치료를 건강하게 받는 것과 동시에 앞으로의 기대수명 만큼이나 임플란트 수명 역시도 건강하게 보존해야 하며 임플란트는 사후관리에 따라서 수명의 개인차가 크다는 점을 염두하셔서 오래 믿고 찾을 수 있는 치과를 철저히 따져보시길 바라고 있어요

더 보기
이 병원의 공개 콘텐츠를 계속 살펴보세요
출처 아카이브로 돌아가 더 많은 글을 보거나, 병원 프로필로 이동해 다른 공개 채널도 함께 비교해보세요.