명동콤비치과의원 (명동)
깨진 앞니 크라운 어떻게 해야 깔끔하게 해결될까
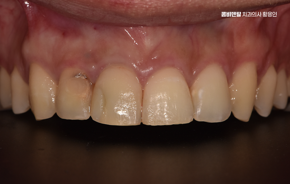
처음에는 뭐가 일어난 건지 이해가 되지 않았어요. 그냥 평소처럼 식사를 하다가 딱딱한 음식을 씹었는데, 순간적으로 입안에서 ‘딱’ 하고 이상한 소리가 났어요. 동시에 날카로운 통증이 퍼졌는데 놀라서 혀로 치아를 만져보니까 뭔가 이상했어요. 앞니가 원래의 모양이 아니었어요. 거울을 보자마자 심장이 덜컥 내려앉았어요....
아카이브 요약
이 페이지의 역할
명동콤비치과의원 (명동)의 네이버 블로그 원문을 보존한 아카이브 페이지입니다. 치아스토리♡ 카테고리의 깨진 앞니 크라운 어떻게 해야 깔끔하게 해결될까 글을 통해 병원의 한국어 정보 제공 방식과 진료 관련 안내 톤을 확인할 수 있습니다.
처음에는 뭐가 일어난 건지 이해가 되지 않았어요. 그냥 평소처럼 식사를 하다가 딱딱한 음식을 씹었는데, 순간적으로 입안에서 ‘딱’ 하고 이상한 소리가 났어요. 동시에 날카로운 통증이 퍼졌는데 놀라서 혀로 치아를 만져보니까 뭔가 이상했어요. 앞니가 원래의 모양이 아니었어요. 거울을 보자마자 심장이 덜컥 내려앉았어요. 앞니 한쪽이 깨져서 날카롭게 부서져 있었어요.
순간 머릿속이 하얘졌어요. 손으로 조심스럽게 만져보니까 확실히 깨진 부분이 느껴졌어요. 입술 안쪽이 살짝 베였는지, 피도 조금 나고 있었어요. 순간 너무 당황해서 어찌할 바를 몰랐어요. 통증도 점점 심해졌어요.
이처럼 앞니는 얼굴의 전면부에 위치하고 있기도 하고 치아 자체도 얇은 편이며 음식물을 자르는 역할을 주로 하다 보니 식사를 하다가 갑작스럽게 앞니가 깨지는 경우는 생각보다 자주 발생하고 있는데요
앞니는 치아 중에서도 가장 눈에 잘 띄는 부위이기 때문에 단순히 기능적인 회복뿐만 아니라 심미적인 부분까지 고려해야 하며 외부 충격으로 인해 깨지는 경우도 있고, 충치로 인해 약해진 상태에서 손상이 발생하기도 하기 때문에 정확한 원인과 상태를 파악하여 알맞은 치료를 선택하실 필요가 있어요


특히 치아의 손상이 경미한 수준이 아니라 손상 범위가 넓고 깊거나 통증을 심하게 동반하는 경우에는 깨진 앞니 크라운 치료를 통해서 복구해야 하는 경우가 있는데요. 크라운 치료는 손상된 치아를 감싸는 방식으로 진행되기 때문에 자연 치아의 강도를 보완해주고, 원래의 기능을 되찾아 주는 역할을 하며 무엇보다 앞니 라는 점에서 심미적으로 자연스럽게 치료가 가능해야 한다는 점이 주된 치료의 포인트가 될 거예요
깨진 앞니 크라운 치료 할 때 가장 중요한 요소는 심미성과 내구성으로 앞니는 웃거나 말할 때 가장 눈에 띄는 부위라서 자연스러운 색상과 투명도가 중요하며 동시에 씹는 힘을 견딜 수 있는 충분한 강도도 필요할 수 있어요. 따라서 깨진 앞니 크라운 치료에 쓰이는 크라운의 종류는 자연 치아와 유사한 색상을 가진 올세라믹 크라운이나 지르코니아 크라운이 주로 사용되고 있어요


올세라믹 크라운은 금속 없이 세라믹만으로 제작되기 때문에 투명도가 높고, 자연 치아와 유사한 색감을 표현할 수 있다는 장점이 있어서 특히 앞니 같은 심미적인 부위에 많이 사용되는데 빛을 자연스럽게 투과시키기 때문에 크라운을 했다고 해서 인공적인 느낌이 들지 않고 자세히 봐도 자연치아와 차이를 구분하기 어려울 정도의 수준을 가진 심미성을 갖고 있어요
하지만 순수한 올세라믹은 강도가 다소 낮아서, 강한 힘을 받는 경우 깨질 위험이 있다는 단점이 있었고 이런 문제를 보완하기 위해 나온 것이 바로 지르코니아와 세라믹의 장점을 결합한 하이브리드 올세라믹 크라운이라 할 수 있는데요


하이브리드 올세라믹 크라운은 지르코니아의 강도와 올세라믹의 자연스러움을 결합한 형태로 기본적인 구조는 강한 지르코니아로 이루어져 있고, 그 위에 자연스럽게 보이도록 세라믹을 덧씌우는 방식이라서 이러한 크라운 구조는 지르코니아의 높은 내구성 덕분에 깨질 걱정이 줄어들고, 동시에 올세라믹의 자연스러운 색상과 투명도를 유지할 수 있는 거예요.
특히 앞니는 씹는 힘보다는 외부 충격이나 마모에 취약한데, 하이브리드 올세라믹 크라운은 이런 부분을 보완하면서도 자연스러운 심미성을 유지하는 데 효과적이라는 특징이 있어요
깨진 앞니 크라운 치료에 하이브리드 올세라믹 크라운을 사용한다면 가장 큰 장점은 기존 지르코니아 크라운보다 심미성이 뛰어나다는 점인데 지르코니아 크라운은 강도는 높지만, 빛 투과성이 낮아서 자연 치아보다는 다소 불투명하게 보일 수 있어요. 하지만 하이브리드 올세라믹 크라운은 겉면을 세라믹으로 덧씌워서 자연 치아와 더욱 비슷한 색감과 질감을 표현할 수 있어서 가까이서 보더라도 인공 치아라는 느낌이 덜하고, 주변 치아와도 조화롭게 어우러질 수 있는 거예요.




깨진 앞니로 인해 앞니 크라운을 고려할 때는 이처럼 단순히 튼튼한 보철물만을 찾는 것이 아니라, 자연스러운 미소와 치아의 기능을 모두 만족할 수 있는 옵션을 선택하는 것이 중요하며 하이브리드 올세라믹 크라운은 강도와 심미성을 동시에 잡을 수 있는 치료법이기 때문에, 특히 깨진 앞니 치료를 고민하는 사람들에게 좋은 선택이 될 수 있어요.
크라운 치료를 할 때는 치과에서 정확한 색상 매칭을 통해 자연 치아와 잘 어울리도록 조정하는 것이 중요하고, 치료 후에도 정기적인 관리를 통해 오랫동안 건강한 상태를 유지하는 것이 필요하며 이미 크라운 까지 씌운 상태라면 잔존하는 치아의 상태와 크라운 치료 후 유지관리 방법에 따라 치아의 수명이 달라지기도 하므로 보철물의 관리를 잘하는 것도 자연치아 수명을 유지하는데 중요하다는 점을 꼭 기억하시길 바라고 있어요

더 보기
이 병원의 공개 콘텐츠를 계속 살펴보세요
출처 아카이브로 돌아가 더 많은 글을 보거나, 병원 프로필로 이동해 다른 공개 채널도 함께 비교해보세요.