명동콤비치과의원 (명동)
임플란트 뼈이식 안하면 어떤 문제가 있는거죠
처음에 임플란트를 해야 한다는 진단을 받았을 때도 마음이 꽤 복잡했어요, 그래도 요즘은 워낙 흔한 치료이고, 주변에도 임플란트 한 사람들이 많아서 '나도 이렇게 하게 되겠구나' 하고 어느 정도 받아들이게 되었어요. 치료가 좀 길고 비용이 많이 들긴 해도, 치아 하나 없는 상태로 지내는 건 너무 불편했어요 요즘은 또...
아카이브 요약
이 페이지의 역할
명동콤비치과의원 (명동)의 네이버 블로그 원문을 보존한 아카이브 페이지입니다. 치아스토리♡ 카테고리의 임플란트 뼈이식 안하면 어떤 문제가 있는거죠 글을 통해 병원의 한국어 정보 제공 방식과 진료 관련 안내 톤을 확인할 수 있습니다.
처음에 임플란트를 해야 한다는 진단을 받았을 때도 마음이 꽤 복잡했어요, 그래도 요즘은 워낙 흔한 치료이고, 주변에도 임플란트 한 사람들이 많아서 '나도 이렇게 하게 되겠구나' 하고 어느 정도 받아들이게 되었어요. 치료가 좀 길고 비용이 많이 들긴 해도, 치아 하나 없는 상태로 지내는 건 너무 불편했어요 요즘은 또 100세 시대라고 하는데 치아 없이 살긴 어려웠어요 그런데 문제는 그다음에 들은 말이었어요. 임플란트를 바로 심을 수 있는 게 아니라, 뼈이식부터 해야 한다는 이야기를 듣고 나서, 머릿속이 정말 복잡해졌어요. 뼈이식이라고 하니까 마치 수술도 훨씬 크고 복잡해지는 것 같았고, 뭔가 부담스럽게 느껴졌고 무섭기도 했어요
이처럼 요즘은 임플란트가 워낙 대중적으로 알려지다 보니 임플란트 자체에 대해서는 치아를 잃게 되면 당연한 수순처럼 받아 들여지기도 하지만 임플란트에 뼈이식까지 해야 한다고 하면 임플란트 뼈이식 안하면 안될지 부터 부담을 더 크게 느끼시는 분들도 많을 거예요



임플란트 치료를 앞두고 있는 상황에서 잇몸뼈 상태가 좋지 않은데도 불구하고 임플란트 뼈이식 안하면 어떻게 될지 궁금해하시는 분들이 많은데 실제로는 단순히 임플란트가 안 될 수도 있다는 차원을 넘어서 잘못된 시술이나 무리한 식립으로 인해 나중에 더 큰 부작용이나 재수술이 필요하게 될 수 있어서 뼈이식 여부는 단순히 선택이 아니라 치료의 안전성과 수명을 결정짓는 중요한 과정이 될 수 있는데요
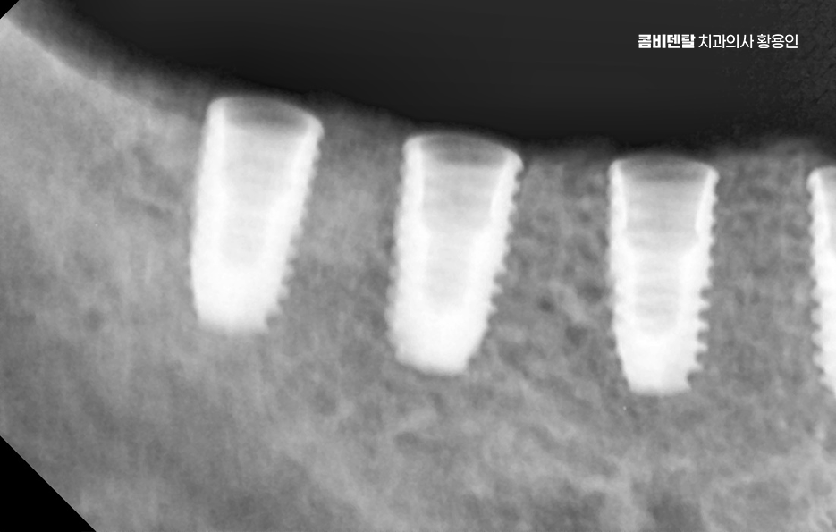
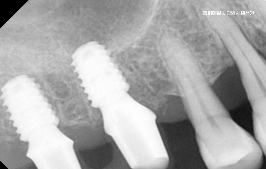
임플란트는 턱뼈 안에 임플란트의 고정체(인공치근)를 식립해서 치아를 대신하는 구조로 이 고정체가 제대로 자리를 잡고 버텨주려면 최소한의 잇몸뼈 높이와 넓이, 골질이 확보돼 있어야 안정성이 확보되는 거예요. 그런데 이 뼈가 부족한 상태에서 임플란트 뼈이식 안하면 그리고 억지로 임플란트를 심게 되면 어떤 일이 생기냐면, 첫째로 임플란트가 제대로 뼈와 붙지 못해서 탈락하거나 흔들릴 가능성이 높고 둘째로는 식립 부위 주변의 잇몸이 꺼지면서 심미적으로도 부자연스러운 결과를 낳을 수 있어요



잇몸뼈는 자연치아를 잃고 나면 시간이 지남에 따라 서서히 흡수되는데 특히 상실한 치아를 오랫동안 방치한 경우에는 뼈가 눈에 띄게 줄어드는 일이 흔하고, 치주염이나 염증이 반복된 경우에도 주변 골조직이 녹아내려 뼈의 두께와 높이가 부족해지게 되는데 이런 상태에서 임플란트 뼈이식 안하면 그리고 임플란트를 바로 심는다면, 뼈의 지지력이 부족하기 때문에 인공치근이 쉽게 움직이거나 주변에 염증이 생겨 골융합이 제대로 되지 않게 되고 결국엔 수개월 후에 탈락하거나 실패하게 되는 일이 생길 수 있는 거예요.
실제로 초기에는 잘 버티는 듯 보여도 시간이 지나면서 점점 임플란트 주변의 골이 소실되고, 결국엔 고정체가 노출되면서 통증, 염증, 보철물 탈락 같은 문제가 연쇄적으로 이어질 수 있어요
임플란트 뼈이식 안하면 또 심미적인 부작용도 중요하게 생각해야 하는데 특히 앞니처럼 눈에 잘 띄는 부위에 잇몸 뼈가 약한 상태에서 임플란트를 식립하면서 뼈이식을 생략하게 되면, 시간이 지나며 잇몸이 내려앉고 뼈가 꺼져 보철물 주변 잇몸 라인이 울퉁불퉁해지고, 인접 치아와 조화가 무너져버리는 경우가 있어요.


이러면 아무리 보철물의 색상이나 형태를 잘 맞춰도 비자연적인 인상이 생기고, 경우에 따라선 웃을 때 임플란트의 금속 부위가 비쳐 보이거나 잇몸 위쪽에 그림자가 생기고 치아가 길어보이는 등의 어색한 모습이 되는 거예요. 이러한 이유로 뼈가 부족한 경우에는 미리 그 양을 보충해서 임플란트를 심을 수 있는 환경을 만들어주는 뼈이식 수술이 꼭 필요한 환자분들이 있는 거예요
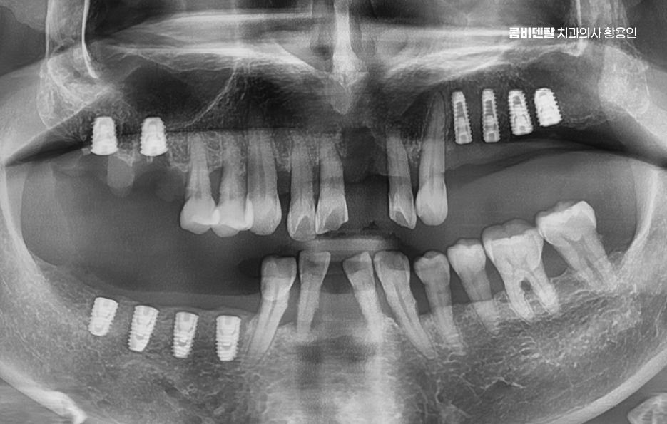
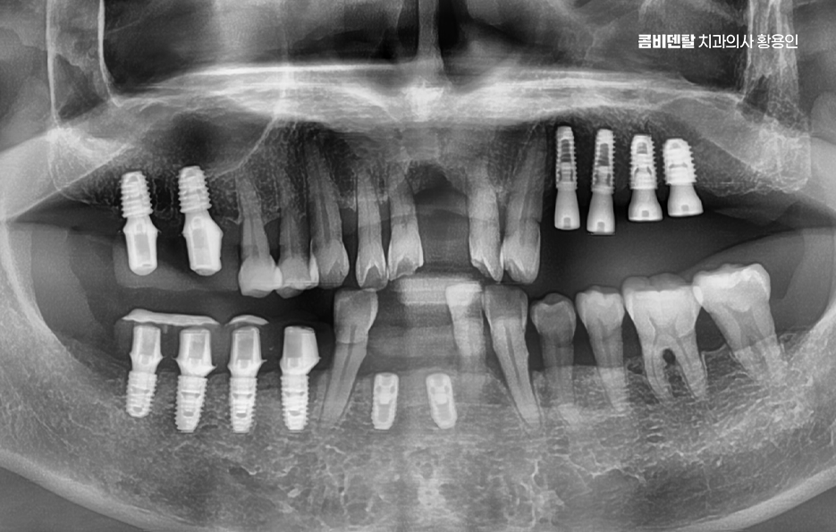
그렇다면 뼈이식을 언제, 어떻게 계획해야 하는지가 중요한데 첫 번째는 임플란트 식립 전 단계에서 충분한 영상 진단과 분석을 통해 뼈의 양과 질을 정밀하게 평가해야 하며 단순 파노라마 X-ray만으로는 확인이 어려운 입체적인 골량이나 신경과의 거리, 부비동 위치 등을 정확히 파악하려면 3D CT 촬영이 필수적이고 이를 통해 상악동 거상술이 필요한지 등을 판단할 수 있어요.



두 번째는 뼈이식을 단독으로 먼저 시행할 것인지, 임플란트 식립과 동시에 병행할 것인지를 결정해야 하는데 뼈 소실 정도가 심하지 않은 경우라면 동시에 진행할 수도 있지만, 뼈가 너무 얇거나 신경과 가까운 부위라면 3~6개월 정도의 치유기간을 두고 뼈이식만 먼저 시행한 뒤, 뼈가 자리 잡은 후에 임플란트를 식립하는 2단계 방식이 안전한 선택이 되는 거예요.
임플란트 뼈이식 안하면 대해서 결론적으로 말씀드리면, 잇몸뼈 상태가 좋지 않은데도 무리하게 임플란트를 진행하거나 뼈이식을 생략하게 되면 결국 치료 실패의 가능성이 높아지고, 수개월 또는 수년 후에 재수술이 불가피해지거나 더 큰 비용과 시간이 소요될 수 있는 상황으로 이어질 수 있으므로 단지 뼈이식은 무섭거나 부정적으로 느끼기 보다는 임플란트의 치료 원리 뿐 아니라 나아가 장기적으로 오랫동안 유지하며 사용해야 하는 자연치아의 대체 치료라는 점에서도 멀리 바라보고 치료에 임하시길 바라고 있어요











Previous image Next image










Previous image Next image










Previous image Next image










Previous image Next image
더 보기
이 병원의 공개 콘텐츠를 계속 살펴보세요
출처 아카이브로 돌아가 더 많은 글을 보거나, 병원 프로필로 이동해 다른 공개 채널도 함께 비교해보세요.