아카이브 요약
이 페이지의 역할
명동콤비치과의원의 네이버 블로그 원문을 보존한 아카이브 페이지입니다. 치아스토리♡ 카테고리의 앞니 틀어짐 교정 조화롭게 마무리하려면 글을 통해 병원의 한국어 정보 제공 방식과 진료 관련 안내 톤을 확인할 수 있습니다.
원문 검증
필요하면 원문 블로그와 병원 프로필로 바로 이동해 문맥을 다시 확인할 수 있습니다.
출처 아카이브 열기아카이브된 블로그 글
명동콤비치과의원 · Naver Blog
거울을 보다 보면 늘 시선이 먼저 가는 게 앞니였어요, 남들이 보기엔 별로 티 안 나는 거라고 생각하기도 했지만 항상 앞니가 조금 틀어져 있다는 걸 의식하게 됐고, 사진 찍을 때도 살짝 미소만 짓게 되는 이유가 그거였어요, 사실 예전부터 교정을 해야겠다는 생각은 있었지만 앞니만 살짝 신경 쓰이는 정도라서 큰 결심까...
게시일
2025년 8월 10일
원문 기준으로 확인된 발행일입니다.
카테고리
치아스토리♡
원문 블로그 카테고리를 정리해 함께 표시합니다.
이미지 수
48
현재 아카이브에 연결된 이미지 수입니다.
아카이브 요약
명동콤비치과의원의 네이버 블로그 원문을 보존한 아카이브 페이지입니다. 치아스토리♡ 카테고리의 앞니 틀어짐 교정 조화롭게 마무리하려면 글을 통해 병원의 한국어 정보 제공 방식과 진료 관련 안내 톤을 확인할 수 있습니다.
원문 검증
필요하면 원문 블로그와 병원 프로필로 바로 이동해 문맥을 다시 확인할 수 있습니다.
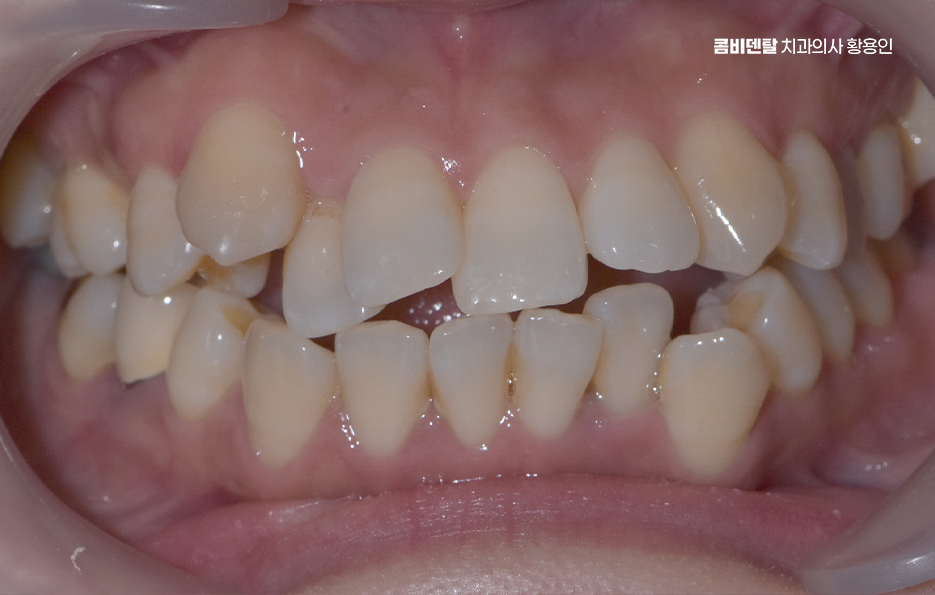
출처 아카이브 열기거울을 보다 보면 늘 시선이 먼저 가는 게 앞니였어요, 남들이 보기엔 별로 티 안 나는 거라고 생각하기도 했지만 항상 앞니가 조금 틀어져 있다는 걸 의식하게 됐고, 사진 찍을 때도 살짝 미소만 짓게 되는 이유가 그거였어요, 사실 예전부터 교정을 해야겠다는 생각은 있었지만 앞니만 살짝 신경 쓰이는 정도라서 큰 결심까지는 안 갔었고, 그냥 참고 살면 되지 뭐 이런 식으로 넘기곤 했는데, 어느 날 치과에 전반적인 치열이 생각보다 안 좋은 편이라고 말씀하시는 걸 듣고는 좀 충격을 받았어요, 제 눈에는 앞니만 문제였지 전체적인 교합이 그렇게 문제인 줄은 몰랐거든요. 정확한 상태를 알기 위해 정밀 검사를 받았는데, 앞니가 살짝 겹쳐 있는 건 물론이고 아래쪽 어금니는 바깥쪽으로 기울어져 있어서 씹는 힘이 한쪽으로만 가고 있고, 전반적으로 치아 배열이 삐뚤빼뚤하게 늘어선 상태라 기능적인 문제도 고민할 수 밖에 없었어요
이처럼 치아교정을 결심하게 되는 계기에는 유독 눈에 띄는 앞니 위주로 치료를 원하게 되는 경우도 많지만 디테일한 치료 계획을 세워보면 부정교합이나 얼굴형 변화 등에서도 생각보다 깊이 있게 신경써야 하는 경우도 많이 있는데요
치아가 가지런하지 않다는 건 단순히 보기 좋지 않다는 의미를 넘어서, 실제로는 씹는 기능, 발음, 턱관절, 그리고 구강 위생까지 다양한 부분에 영향을 주는 문제인데 이럴 때는 단순히 앞니 틀어짐 교정을 앞니만 고친다고 해결되는 게 아니고, 전체적인 치아 배열과 교합을 고려한 치아교정 계획이 필요할 수 있었어요


앞니 틀어짐 교정 앞니가 틀어져 있다는 건 그 앞니에만 문제가 있는 게 아니라는 걸 의미할 수 있는데 대부분은 전체적인 부정교합 속에 앞니 틀어짐이 같이 포함되어 있는 거예요.
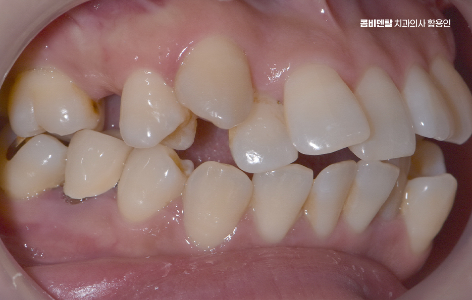
예를 들어 송곳니가 제자리를 찾지 못해 앞으로 튀어나와 있거나, 소구치가 비틀어져 있으면 그 힘이 앞니로 전달되면서 앞니가 서로 겹치고 밀리는 형태가 되는데 즉, 보이는 앞니가 문제처럼 보일 뿐, 실은 그 뿌리를 뒤에서 밀어내는 힘들이 원인이 될 수 있기 때문에 앞니만 간단히 밀어넣는 식의 교정은 일시적인 변화만 줄 수 있고 전체 치열을 다 잡아줘야 안정적인 결과를 만들 수 있었어요.


전체적인 부정교합을 교정하려면 먼저 교합 상태, 즉 위아래 치아가 어떻게 맞물리는지를 확인해야 하는데 위턱과 아래턱이 서로 자연스럽게 맞물리지 않고, 삐뚤거나 앞니가 부딪치거나, 아래턱이 더 튀어나와 있는 경우가 많이 있었어요
또 턱의 비대칭이나 턱관절 이상이 있는지까지 함께 체크해야 하는데 이런 부분을 모두 포함해서 앞니 틀어짐 교정 치료 계획이 세워져야 하며 얼굴의 중심선과 턱의 위치까지 고려한 계획이 필요한 거예요.


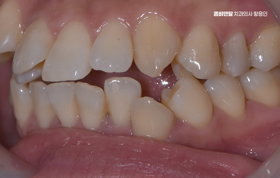
앞니 틀어짐 교정 앞니가 많이 틀어져 있는 경우에 발치가 필요한 경우도 있는데 공간이 부족한 상태에서 억지로 밀어넣으면 교정은 되지만 얼굴형이 부자연스러워지거나, 입이 오히려 더 튀어나와 보일 수 있어서 위아래 소구치를 발치해서 공간을 만들고, 그 공간을 활용해 전체 치아를 재배열하는 방식이 흔히 사용되고 있어요
물론 발치 여부는 개인의 얼굴형, 입술 돌출 정도, 잇몸뼈 두께 등 다양한 요소를 고려해서 결정하는 것이며 비발치적인 방법인 치간삭제, 어금니 후방이동, 악궁확장과 같은 방법으로 치아 이동 공간을 확보하여 비발치 치아교정이 가능한 경우도 있었어요

교정을 고민할 때 많이 듣는 말이 “이제 와서 해도 되나?” “지금 시작해도 늦은 건 아닐까?”라는 말인데 실제로는 치열 상태가 더 흐트러지기 전에 시작하는 게 유리하며 나이가 들수록 뼈가 단단해지고, 치아 이동도 느려지기 때문에 치료 기간이 길어지고 턱관절에 무리도 더 갈 수 있기 때문에 앞니 틀어짐 교정에 대해 고민한다면 단순히 나이 보다는 현재 불편함을 느끼는 정도나 치료의 니즈가 크다면 정확한 검진부터 받아보시고 경험 많은 교정 전문의에게 충분히 조언을 받아보시길 바라고 있었어요
정리하면 전체적인 부정교합과 앞니의 틀어짐은 보기 좋지 않다는 단순한 문제로 끝나는 게 아니라 저작 기능, 턱관절, 발음, 심지어 얼굴의 균형까지 흔들 수 있는 문제여서 제대로 된 진단을 바탕으로 나에게 적합한 치료 계획을 맞춤형으로 잘 세워보시길 바라며 처음 진단과 치료 계획도 중요하지만 마무리 그리고 유지관리까지 함께할 오래 믿을 수 있는 치과를 잘 따져보시길 바라고 있어요











Previous image Next image










Previous image Next image










Previous image Next image










Previous image Next image