아카이브 요약
이 페이지의 역할
명동콤비치과의원의 네이버 블로그 원문을 보존한 아카이브 페이지입니다. 치아스토리♡ 카테고리의 앞니 틀어짐 부분교정 얼마나 걸릴까 글을 통해 병원의 한국어 정보 제공 방식과 진료 관련 안내 톤을 확인할 수 있습니다.
원문 검증
필요하면 원문 블로그와 병원 프로필로 바로 이동해 문맥을 다시 확인할 수 있습니다.
출처 아카이브 열기아카이브된 블로그 글
명동콤비치과의원 · Naver Blog
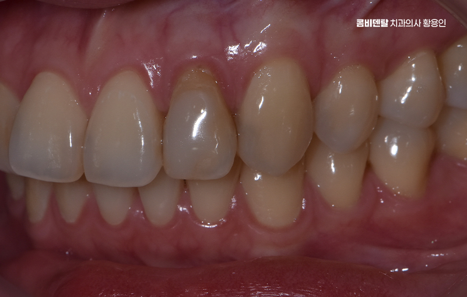
거울을 보면서 자꾸 시선이 앞니로 향하게 되는 시기가 있었어요, 앞니 두 개 중 하나가 아주 살짝, 미묘하게 다른 방향으로 기울어져 있다는 걸 처음 인식하게 된 순간부터였는데, 그게 눈에 띄기 시작하니까 더는 못 본 척하고 넘어갈 수 없었어요, 예전엔 아무렇지도 않게 활짝 웃던 장면들이 점점 조심스럽게 바뀌고, 괜...
게시일
2025년 10월 25일
원문 기준으로 확인된 발행일입니다.
카테고리
치아스토리♡
원문 블로그 카테고리를 정리해 함께 표시합니다.
이미지 수
50
현재 아카이브에 연결된 이미지 수입니다.
아카이브 요약
명동콤비치과의원의 네이버 블로그 원문을 보존한 아카이브 페이지입니다. 치아스토리♡ 카테고리의 앞니 틀어짐 부분교정 얼마나 걸릴까 글을 통해 병원의 한국어 정보 제공 방식과 진료 관련 안내 톤을 확인할 수 있습니다.
원문 검증
필요하면 원문 블로그와 병원 프로필로 바로 이동해 문맥을 다시 확인할 수 있습니다.
출처 아카이브 열기거울을 보면서 자꾸 시선이 앞니로 향하게 되는 시기가 있었어요, 앞니 두 개 중 하나가 아주 살짝, 미묘하게 다른 방향으로 기울어져 있다는 걸 처음 인식하게 된 순간부터였는데, 그게 눈에 띄기 시작하니까 더는 못 본 척하고 넘어갈 수 없었어요, 예전엔 아무렇지도 않게 활짝 웃던 장면들이 점점 조심스럽게 바뀌고, 괜히 더 신경쓰이는게 습관처럼 굳어지기 시작했어요, 나 자신은 분명히 느끼고 있는데, 다른 사람들은 잘 모르겠다고 할 정도로 틀어짐인데도 자꾸 신경이 쓰였어요 하지만 생각해보면 앞니는 얼굴 정면에 있으니까 약간의 문제라도 더 크게 느껴지는 것도 사실이었어요 특히 이게 나이가 들면서 조금씩 생각이 달라지더라고요, 그래도 전체 교정을 할 정도로 심각한 상태는 아니니까, 자연스럽게 ‘부분교정’이라는 선택지가 고민되기 시작했어요
이처럼 치아교정을 결심하게 되는 계기는 다양하지만 특히 앞니에 있어서 만큼은 벌어지거나 살짝 틀어져도 인상에 영향을 주고 신경 쓰이다 보니 교정에 대해서도 고민하게 되는 분들이 많이 있는데요
치아교정하면 보통 전체교정을 떠올리게 되지만 앞니가 조금 틀어져 있다고 해서 무조건 전체 치아교정을 해야 하는 건 아니며 틀어짐이 심하지 않고 국소적인 문제일 때는 앞니 틀어짐 부분교정 이라는 선택지도 있는 거예요.



요즘은 진단과 장치가 워낙 발달해서 다양한 치료 방법들이 있으며 특히 치열 중에서 부분적인 개선이 필요할 때 부분교정은 비교적 짧은 기간, 낮은 통증, 합리적인 비용으로 결과를 얻을 수 있는 방법으로 많이 선택되고 있으며 특히 성인들이 미용적인 이유로 교정을 고민할 때, 부담을 줄일 수 있는 대안이 될 수 있어요
앞니 틀어짐 부분교정은 단어 그대로 전체 치열이 아니라 일부 치아만을 대상으로 정렬을 개선하는 치료로 특히 앞니 약 6개 내외 정도가 대상이 되는 경우가 많은데 치료 범위가 작기 때문에 장치를 부착하는 범위도 좁고, 이동량이 많지 않아서 통증도 덜하고 기간도 짧은 편으로 평균적으로 3개월에서 6개월 정도면 결과를 볼 수 있어서 바쁜 직장인, 결혼 준비 중인 분들, 방송이나 사람을 많이 만나는 직종에 종사하는 분들에게 인기가 많은 편이라 할 수 있었어요



앞니 틀어짐 부분교정이 가능한 대표적인 케이스가 있는데 첫 번째는 ‘앞니 사이 공간이 벌어진 경우’로 흔히 말하는 치간 이개 상태인데 이러한 경우는 다소 흔한 편으로 특히 유전적인 영향과 혀로 앞니를 밀어내는 습관 등이 있던 경우, 나이가 들면서 잇몸이 약해진 경우 등에서 앞니 사이가 벌어지는 일이 자주 있으며 이런 경우는 전체 치열에는 문제가 없기 때문에 앞니 몇 개만 이동시키는 부분교정으로 해결이 가능한 케이스가 있어요
두 번째는 ‘앞니가 살짝 겹쳐져 있는 경우’로 교합에는 큰 이상이 없지만 웃을 때 앞니가 비뚤게 보이거나 겹쳐진 모습이 신경 쓰이는 경우가 있으며 이런 경우는 심미적인 목적이 크기 때문에 굳이 전체 교정을 할 필요 없이 앞니 배열만 교정하는 부분교정으로도 충분한 경우가 있으며 치아 자체는 건강하고, 치조골도 양호한 상태라면 짧은 기간 안에 치료가 마무리 되는 경우가 많이 있었어요



세 번째는 ‘기존 교정 후 다시 틀어진 경우’로 흔히 재교정 사례인데 예전에 전체 교정을 받았는데 유지장치를 제대로 착용하지 않아서 치아가 다시 원래 자리로 돌아가는 경우로 특히 앞니는 유지력이 약해서 다시 틀어지는 경우가 많고 이런 경우에는 전체 교정을 다시 할 필요는 없고, 틀어진 앞니만 부분교정으로 재정렬하면 되는 거예요.
하지만 이러한 부분교정이 간편하고 장점으로 느껴져서 치료를 원한다고 해도 모든 사람에게 적용되는 건 아니며 틀어짐이 심하거나, 아래위 치아의 교합에 문제가 있는 경우, 턱뼈의 위치나 크기에서 문제가 있는 경우에는 전체 교정이 필요한 경우가 대부분이기 때문에 부분교정이 가능하다고 판단되기 위해선 꼭 교정 전문의의 정밀한 진단이 선행되어야 하며 단순히 앞니만 보고 결정하는 것이 아니라 골격, 교합, 얼굴형 등을 종합적으로 판단할 필요가 있었어요
정리하면 요즘은 특히 결혼을 앞둔 예비신랑신부, 면접 준비 중인 취업준비생, 유튜브나 방송 활동하는 등 여러 방면에서 앞니 부분교정을 많이 찾고 있는데 전체 교정보다 빠르고 덜 부담스럽기 때문에 ‘가볍게 교정 시작해볼까?’ 하는 분들에게 접근성 부분에서 좋은 부분도 많지만 어디까지나 의료진의 정확한 진단 하에 이뤄져야 가능한 이야기로 이러한 치료 방법에 대한 접근을 하기 전에 나는 어떤 치료가 적합한지는 정확한 검진과 경험 많은 교정 전문의와 먼저 충분히 상의하여 체계적이고 장기적인 안목으로 판단하시길 바라고 있어요











Previous image Next image










Previous image Next image










Previous image Next image










Previous image Next image