아카이브 요약
이 페이지의 역할
명동콤비치과의원의 네이버 블로그 원문을 보존한 아카이브 페이지입니다. 치아스토리♡ 카테고리의 완전매복사랑니 발치 대학병원 꼭 가야하나요 글을 통해 병원의 한국어 정보 제공 방식과 진료 관련 안내 톤을 확인할 수 있습니다.
원문 검증
필요하면 원문 블로그와 병원 프로필로 바로 이동해 문맥을 다시 확인할 수 있습니다.
출처 아카이브 열기아카이브된 블로그 글
명동콤비치과의원 · 콤비덴탈 치과의사 황용인
완전매복사랑니라는 단어 자체가 참 낯설게 느껴졌어요, 처음에는 그게 무슨 말인지조차 몰랐고, 단순히 사랑니라는 건 그냥 어금니 맨 끝에 나중에 나오는 이 정도로만 알고 있었어요 누구나 한 번쯤은 뽑는 거니까 나한테도 언젠간 그런 일이 생기겠지 하면서도, 사실 딱히 깊이 고민해본 적은 없었어요, 그런데 어느 날 왼쪽...
게시일
2025년 11월 7일
원문 기준으로 확인된 발행일입니다.
카테고리
치아스토리♡
원문 블로그 카테고리를 정리해 함께 표시합니다.
이미지 수
48
현재 아카이브에 연결된 이미지 수입니다.
아카이브 요약
명동콤비치과의원의 네이버 블로그 원문을 보존한 아카이브 페이지입니다. 치아스토리♡ 카테고리의 완전매복사랑니 발치 대학병원 꼭 가야하나요 글을 통해 병원의 한국어 정보 제공 방식과 진료 관련 안내 톤을 확인할 수 있습니다.
원문 검증
필요하면 원문 블로그와 병원 프로필로 바로 이동해 문맥을 다시 확인할 수 있습니다.
출처 아카이브 열기완전매복사랑니라는 단어 자체가 참 낯설게 느껴졌어요, 처음에는 그게 무슨 말인지조차 몰랐고, 단순히 사랑니라는 건 그냥 어금니 맨 끝에 나중에 나오는 이 정도로만 알고 있었어요 누구나 한 번쯤은 뽑는 거니까 나한테도 언젠간 그런 일이 생기겠지 하면서도, 사실 딱히 깊이 고민해본 적은 없었어요, 그런데 어느 날 왼쪽 아래 턱 깊숙한 곳이 묘하게 욱신거리고, 무언가 불편한 느낌이 계속되더라고요, 딱히 부어오르거나 겉으로 드러난 문제는 아닌데, 먹을 때마다 이상하게 한쪽으로는 씹기 싫고, 가만히 있을 때도 잇몸 깊은 곳에서 묵직한 압력이 느껴지는 기분이었어요, 그게 몇 주째 반복되니까 이제는 그냥 넘길 수 없겠다는 생각이 들어서 치과에 가게 됐어요. 진료를 받고, 엑스레이를 찍고, 설명을 듣는데, 그제야 알게 된 게 바로 완전매복사랑니라는 이름이었어요, 내 사랑니는 겉으로는 전혀 드러나지 않았지만, 잇몸과 뼈 안쪽 깊숙이 누운 채로 누워 있었고, 그것도 똑바로 난 게 아니라 옆 어금니 방향을 향해 비스듬히 자라고 있다는 것이었죠. 문제는 사랑니 발치도 까다로울 수 있고 주변 치아나 잇몸에도 영향을 줄 수 있다는 점이었어요
이처럼 사랑니 발치에 대해서는 언젠가 정도로 생각하시는 분들이 많지만 막상 통증이 느껴질 즈음이 되면 발치에 대한 막막함을 느끼게 되는 경우가 많으며 특히 완전매복사랑니 발치 같이 다소 고난도의 발치 케이스에 해당한다면 당장 대학병원부터 예약해야 할지 지켜봐야 할지 걱정하시는 분들이 많이 있는데요
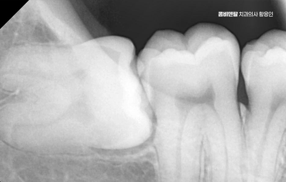
완전 매복사랑니는 말 그대로 잇몸 속에 완전히 묻혀 있는 사랑니를 말하며 겉으로 보이질 않기 때문에 문제가 없는 것처럼 느껴지기도 하지만 실제로는 겉으로 안 보인다는 이유만으로 안심할 수 없으며 오히려 잇몸 속 깊숙이 들어가 있기 때문에 문제가 생겼을 때 더 큰 통증이나 합병증으로 이어질 수 있는 게 바로 완전 매복사랑니의 특징이라 할 수 있었어요


그래서 이 사랑니를 어떻게 관리하고, 어떤 타이밍에 발치를 해야 하는지 잘 이해하는 게 중요하고 발치 자체도 일반적인 발치보다 복잡한 경우가 많기 때문에, 미리 전략을 잘 세우는 게 중요할 수 있어요
완전 매복사랑니는 보통 아래턱, 즉 하악의 뒤쪽에서 자주 발견되는데 위턱보다는 아래턱 뼈가 더 단단하고 구조적으로 복잡해서 발치 난이도가 더 높을 수 있으며 이 매복된 사랑니는 위치나 각도에 따라서도 발치의 난이도가 달라질 수 있었어요
매복된 사랑니는 겉으로 보이지 않기 때문에 대부분의 경우 증상이 없다고 생각하기 쉬운데 매복된 사랑니 주변은 세균이 쉽게 모이고 염증이 생기기 쉬운 구조로서 완전히 뼈 속에 묻혀 있어도 턱 안쪽에서 염증 반응이 시작되면 얼굴 붓기, 통증, 구취, 심할 경우 턱관절이나 림프절까지 부어오르는 일이 생길 수 있어요.


여기에 더해서 신경과의 거리도 문제로 아래턱에는 하치조신경이라는 굵은 감각신경이 지나가는데 완전 매복사랑니의 뿌리가 이 신경과 가까이 위치해 있는 경우가 많아서 만약 발치 중 이 신경을 건드리거나 손상이 생기면, 입술이나 턱 끝 부위에 감각 이상이 생길 수 있어요.
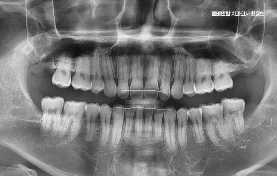
완전매복사랑니 발치 그래서 무조건 바로 뽑는다고 되는 게 아니라, 사전에 정밀한 진단과 영상검사가 꼭 필요하며 일반적인 파노라마 사진 외에도 CT 촬영을 통해 신경과의 거리, 뿌리의 형태, 턱뼈의 두께 등을 정밀하게 확인해야 발치 계획을 안전하게 세울 수 있었어요.
따라서 이렇게 다소 복잡하고 정밀한 치료가 중요하다는 점에서 완전매복사랑니 발치 대학병원에 가야한다고 알려진 경우가 많고 실제로도 수개월 전부터 대학병원에 예약을 하는 경우도 많이 있는데요


완전매복사랑니 발치라고 해서 무조건 대학병원에 가야하는 것은 아니지만 앞서 설명드린 것처럼 철저한 준비과정과 사랑니 발치 경험이 많은 치과의사를 잘 만나는 것이 중요할 수 있어요
그리고 언제 발치를 하는 게 가장 좋은 시점이냐면, 아직 사랑니가 문제를 일으키기 전, 특히 20대 중반 전에 예방적으로 발치하는 게 좋은데 이 시기에는 뼈가 덜 단단하고 회복도 빠르기 때문에 발치 후 회복도 수월한 시기라고 할 수 있었어요

나이가 들수록 턱뼈가 더 단단해지고, 사랑니 뿌리가 더 길게 자라면서 발치 난이도가 올라가게 되며 특히 30대 이후에는 수술 후 붓기, 통증, 회복 시간이 길어져서 아무 증상이 없더라도 완전 매복사랑니가 발견됐다면, 예방 발치에 대해 진지하게 고려해보는 것도 필요한 거예요
요즘은 디지털 기반의 정밀 검진을 통해서 치료 전부터 철저한 준비가 가능하며 발치를 아무리 정교하더라도 개개인의 회복력이나 건강 상태에 따라 차이가 생길 수 있기 때문에, 사전 진단과 수술 후 관리까지 철저하게 준비해야 안전한 발치가 가능하다는 점에 대해서 잘 알고 계획하는 것이 중요하며 정리해서 완전 매복사랑니는 겉으로는 보이지 않지만 내부에서 다양한 문제를 유발할 수 있고, 특히 신경과 가깝거나 뼈에 깊이 박혀 있는 경우 발치가 어렵고 위험할 수도 있어서 문제를 일으키기 전에 미리 진단을 받고, 정기적인 검진을 통해서 보다 현명하게 치료 계획을 세워보시길 바라고 있어요











Previous image Next image










Previous image Next image










Previous image Next image










Previous image Next image