아카이브 요약
이 페이지의 역할
명동콤비치과의원의 네이버 블로그 원문을 보존한 아카이브 페이지입니다. 치아스토리♡ 카테고리의 치과 치아미백 효과 어떤식으로 나타날까 글을 통해 병원의 한국어 정보 제공 방식과 진료 관련 안내 톤을 확인할 수 있습니다.
원문 검증
필요하면 원문 블로그와 병원 프로필로 바로 이동해 문맥을 다시 확인할 수 있습니다.
출처 아카이브 열기아카이브된 블로그 글
명동콤비치과의원 · 콤비덴탈 치과의사 황용인
어릴 때는 전혀 몰랐어요. 내 치아가 얼마나 밝았는지, 혹은 남들이 내 치아를 어떻게 보고 있었는지에 대해서는 관심도 없었고, 오히려 그저 기능적인 도구처럼만 여겼어요. 씹고, 말하고, 웃는 데 문제없으면 됐지 뭐, 라는 생각이었고, 양치도 하루에 한두 번 정도면 충분하다고 여겼어요, 커피를 마시고 나서 물로 헹군...
게시일
2025년 12월 13일
원문 기준으로 확인된 발행일입니다.
카테고리
치아스토리♡
원문 블로그 카테고리를 정리해 함께 표시합니다.
이미지 수
43
현재 아카이브에 연결된 이미지 수입니다.
아카이브 요약
명동콤비치과의원의 네이버 블로그 원문을 보존한 아카이브 페이지입니다. 치아스토리♡ 카테고리의 치과 치아미백 효과 어떤식으로 나타날까 글을 통해 병원의 한국어 정보 제공 방식과 진료 관련 안내 톤을 확인할 수 있습니다.
원문 검증
필요하면 원문 블로그와 병원 프로필로 바로 이동해 문맥을 다시 확인할 수 있습니다.
출처 아카이브 열기어릴 때는 전혀 몰랐어요. 내 치아가 얼마나 밝았는지, 혹은 남들이 내 치아를 어떻게 보고 있었는지에 대해서는 관심도 없었고, 오히려 그저 기능적인 도구처럼만 여겼어요. 씹고, 말하고, 웃는 데 문제없으면 됐지 뭐, 라는 생각이었고, 양치도 하루에 한두 번 정도면 충분하다고 여겼어요, 커피를 마시고 나서 물로 헹군다거나 치간칫솔을 쓰는 건 너무 철저한 사람들의 이야기인 줄 알았어요. 그런데 이상하게도 30대에 들어서면서 거울 앞에 섰을 때, 예전과는 뭔가 다른 얼굴이 보이기 시작했어요. 주름이 늘었다거나 피부 톤이 바뀌었다거나 하는 눈에 띄는 변화는 아니었는데, 전체적으로 인상이 무겁고 칙칙하게 느껴졌고, 웃을 때 더 이상 환해 보이지 않았어요. 그렇게 찬찬히 나 자신을 들여다보다가, 어느 날 문득 깨달았어요. 내 치아가 예전만큼 하얗지 않다는 걸, 아니, 생각보다 많이 누렇게 변해 있었다는 걸요. 처음엔 조명 탓이라고 넘겼어요. 형광등 아래에선 원래 좀 더 누렇게 보일 수 있고, 거울 자체가 오래된 거라 색감이 이상할 수도 있고, 핸드폰 카메라도 각도에 따라 왜곡될 수 있으니까요. 하지만 실제로 누구나 30대 이후에 치아가 점점 누렇게 변한다는 사실에 대해 인정할 수 밖에 없었고 그때 부터 조금씩 치아 미백에 대한 관심이 늘기 시작했어요
이처럼 치아의 노화 증상 중에서는 치아가 점점 누렇게 변색되어 심미적으로 고민하게 되는 경우도 많은데 아무래도 치아 색은 서서히 변색을 거듭하다보니 30살 전후에 치과 치아미백 효과에 대해 좀더 관심을 갖게 되는 경우가 많고 결혼식과 같은 특별한 행사를 앞두고 알아보시는 분들도 많이 있는데요
치아미백이라고 하면 단순히 겉에 묻은 착색을 닦아내는 수준이라고 생각하기 쉬운데 실제로 치과에서 시행하는 미백 치료는 그보다 깊이 있는 방식으로 단순히 하얗게 보이도록 코팅을 해주는 게 아니고, 치아 내부에 침투된 색소를 분해하는 화학적 작용을 통해 원래 치아 본연의 밝기를 끌어올리는 치료인 거예요.


치과 치아미백 효과 주된 원리는 과산화수소 같은 미백제가 사용되는데 이 물질이 치아 내부로 스며들면서 색소와 만나면 산화 반응이 일어나며 이 산화 과정에서 색소가 무색 또는 연한 색으로 변하면서 눈에 보이는 밝기가 확연히 달라지며 보통 치과에서는 농도가 높은 미백제를 사용하기 때문에, 집에서 하는 셀프 미백보다 훨씬 빠르고 강력한 효과를 볼 수 있었어요.
미백제의 침투력을 높이기 위해 사용하는 게 바로 특수 광선이나 레이저로서 치과에서 흔히 보는 미백 장비는 LED나 플라즈마 광선을 치아에 쏘아주는 방식인데 치과 치아미백 효과의 차이가 나타나는 이 광선은 미백제의 활성화를 도와주고, 치아 내부까지 빠르게 작용할 수 있도록 도와주는 역할을 하며 단독으로 광선만 쐬는 건 아니고, 미백제를 바른 뒤 일정 시간 동안 광선을 비춰서 화학 반응이 더 빠르고 균일하게 일어나도록 유도하는 거예요.


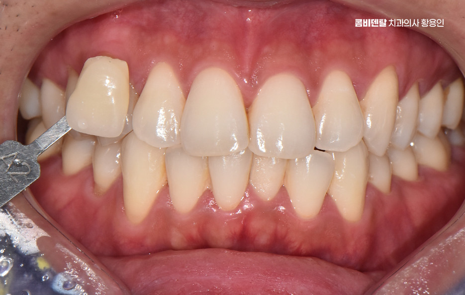
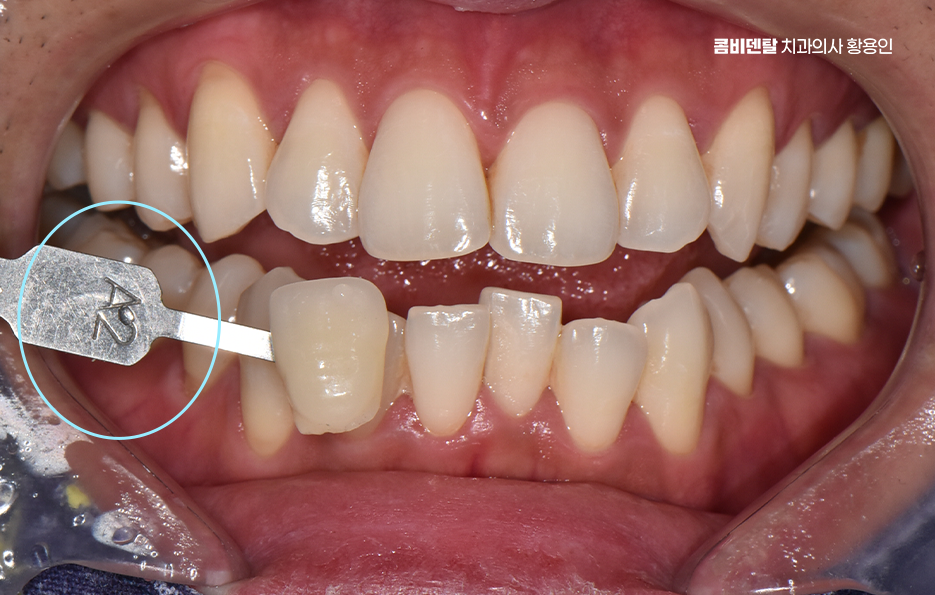
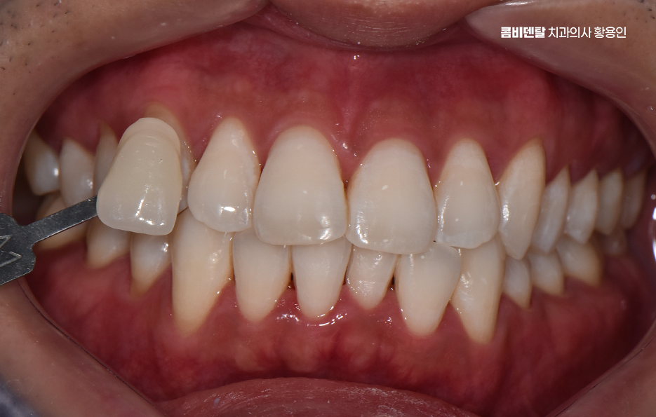
치과 치아미백 효과의 경우 생각보다 즉각적으로 나타나는데 한 번 시술로도 톤이 확 올라가는 게 보일 수 있고 사람에 따라 23회만에 기존보다 24단계 이상 밝아지는 경우도 흔하지만 치아 상태에 따라 개인차가 있어요.
예를 들어 노란 빛을 띄는 치아는 미백 효과가 좋은 반면, 회색이나 갈색 계열로 변색된 치아는 효과가 제한적인 경우가 있는데 특히 테트라사이클린 같은 약물에 의한 변색은 일반적인 미백으로는 충분히 개선되지 않아서, 다른 방법(예: 라미네이트)이 필요할 수 있었어요.


그리고 치과 치아미백 효과의 경우 어디까지나 자연치아에만 적용되는 치료로서 예전에 레진이나 크라운으로 치료한 부분은 미백제가 작용하지 않아서 앞니에 레진, 라미네이트 같은 보철물이 들어가 있는 경우에는, 미백을 한 다음 색이 맞지 않게 되는 일이 생길 수 있어서 이런 경우는 미백 후 보철물 색상을 다시 맞추는 게 필요할 수도 있는 거예요.
미백을 하면 그만큼 치아가 약해지는 거 아니냐고 걱정하시는 분들도 있는데, 실제로 미백 후에는 일시적으로 시린 증상이 생길 수 있으며 그 이유는 미백제가 치아의 상아세관을 일시적으로 자극하기 때문으로 보통 24~48시간 이내에 사라지며 치과에서는 이걸 대비해서 후처리도 함께 진행하기 때문에 크게 걱정하진 않아도 된다고 할 수 있었어요


그리고 미백 치료 후에는 관리가 정말 중요한데 아무리 치아를 하얗게 만들었어도, 착색 물질을 다시 계속 섭취하거나 관리가 소홀해지면 금방 다시 누렇게 변할 수 있으므로 특히 미백 후 48시간은 치아 표면이 더 민감한 상태이기 때문에, 커피, 와인, 카레, 콜라 같은 색소 강한 음식은 피하는 게 좋으며 흡연도 미백 효과를 떨어뜨리는 주범이므로 이 기간에는 물이나 흰죽, 흰우유처럼 무색에 가까운 음식 위주로 먹는 게 안정적이라 할 수 있었어요
그리고 치아미백은 단순히 미용적인 목적을 넘어서서 자기 자신에 대한 자신감, 이미지 개선에도 큰 영향을 주기 때문에 누렇게 변한 치아는 아무리 관리 잘 해도 청결하지 않다는 인상을 줄 수 있고 웃을 때 눈에 띄는 하얀 치아는 상대방에게 더 긍정적인 인상을 남기기도 해서 인터뷰나 프레젠테이션, 결혼식, 취업 준비 같은 중요한 일정 전에는 치아미백을 찾는 분들이 많다는 점에서도 치아미백은 인상 변화 뿐 아니라 심리적인 변화, 미백을 계기로한 치아 건강 관리의 인식 변화에도 긍정적일 수 있다는 점에서 치과 치아미백 효과에 대해 관심이 있다면 자신의 치아 상태를 정확하게 진단하여 자신에게 적합한 치료 계획을 잘 세워보시길 바라고 있어요











Previous image Next image










Previous image Next image







Previous image Next image







Previous image Next image