아카이브 요약
이 페이지의 역할
명동콤비치과의원의 네이버 블로그 원문을 보존한 아카이브 페이지입니다. 치아스토리♡ 카테고리의 앞니 틀어짐 교정 방법 이럴때는 좀더 간단해요 글을 통해 병원의 한국어 정보 제공 방식과 진료 관련 안내 톤을 확인할 수 있습니다.
원문 검증
필요하면 원문 블로그와 병원 프로필로 바로 이동해 문맥을 다시 확인할 수 있습니다.
출처 아카이브 열기아카이브된 블로그 글
명동콤비치과의원 · Naver Blog
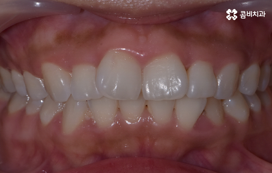
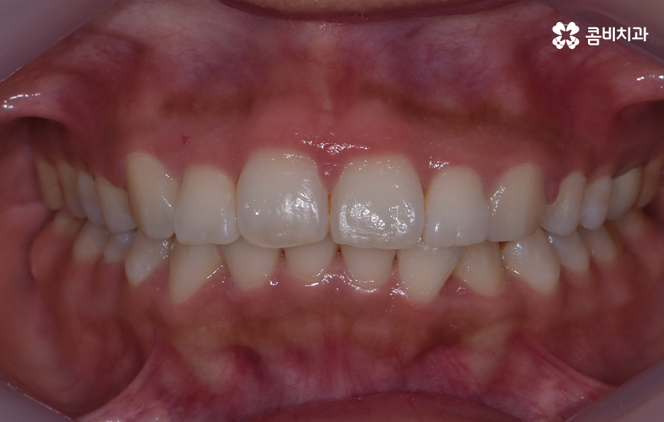
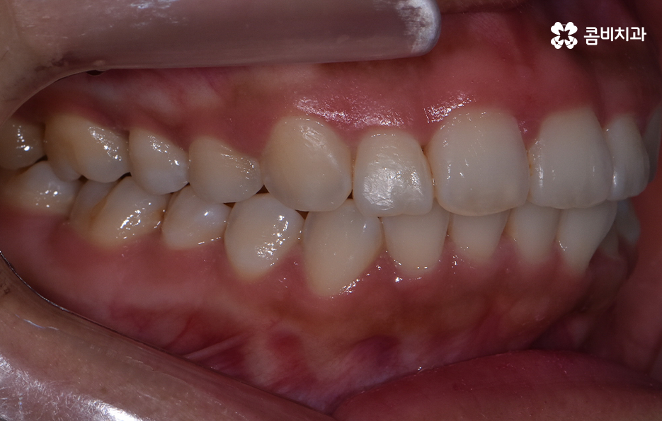
앞니가 살짝 틀어져 있다는 사실은 이미 전부터 알고 있었어요 하지만 그때는 이 정도면 괜찮겠지, 사람마다 치열이 완벽하게 곧을 필요는 없겠지 하며 대수롭지 않게 넘겼어요 거울을 볼 때 조금만 입술을 다물어도 크게 티가 나지 않는 것 같아 굳이 치료를 생각하지 않고 지냈어요 그런데 어느 순간부터 누군가와 마주...
게시일
2026년 1월 18일
원문 기준으로 확인된 발행일입니다.
카테고리
치아스토리♡
원문 블로그 카테고리를 정리해 함께 표시합니다.
이미지 수
32
현재 아카이브에 연결된 이미지 수입니다.
아카이브 요약
명동콤비치과의원의 네이버 블로그 원문을 보존한 아카이브 페이지입니다. 치아스토리♡ 카테고리의 앞니 틀어짐 교정 방법 이럴때는 좀더 간단해요 글을 통해 병원의 한국어 정보 제공 방식과 진료 관련 안내 톤을 확인할 수 있습니다.
원문 검증
필요하면 원문 블로그와 병원 프로필로 바로 이동해 문맥을 다시 확인할 수 있습니다.
출처 아카이브 열기
앞니가 살짝 틀어져 있다는 사실은 이미 전부터 알고 있었어요 하지만 그때는 이 정도면 괜찮겠지, 사람마다 치열이 완벽하게 곧을 필요는 없겠지 하며 대수롭지 않게 넘겼어요 거울을 볼 때 조금만 입술을 다물어도 크게 티가 나지 않는 것 같아 굳이 치료를 생각하지 않고 지냈어요
그런데 어느 순간부터 누군가와 마주보고 웃을 때, 사진을 찍을 때, 말을 할 때조차 그 작은 틀어짐이 내 시선의 중심에 자꾸 걸리기 시작했어요
내가 생각하는 나의 이미지와 거울 속 모습 사이의 미묘한 차이가 점점 더 크게 느껴졌어요 처음엔 가벼운 걸림이었지만 시간이 갈수록 그것이 확실한 고민으로 바뀌어 갔어요 특히 사진을 찍을 때마다 그 불편함이 더 선명하게 다가왔어요
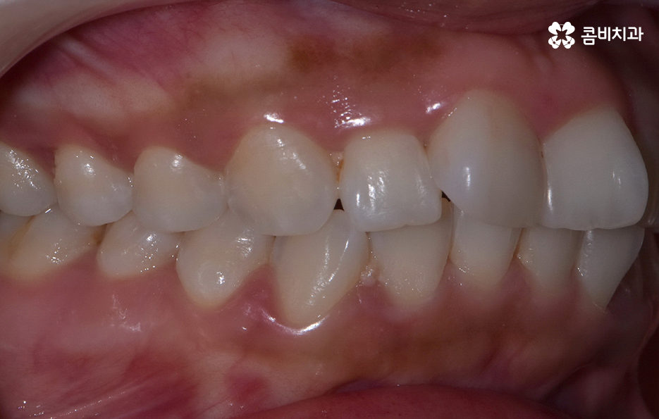
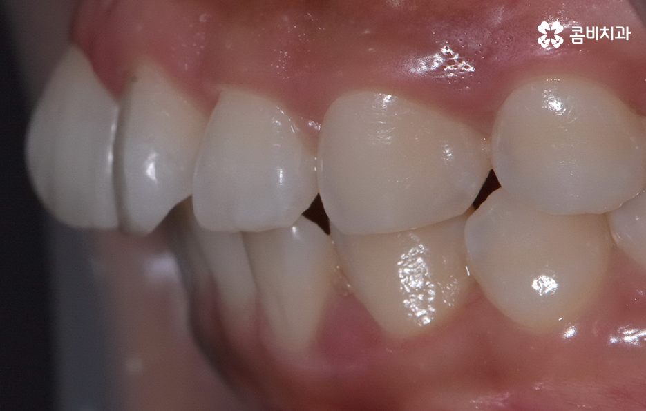
친구들과 함께 찍은 평범한 사진에서도 내 앞니가 살짝 돌아가 있는 모습이 먼저 눈에 들어왔어요 남들이 보기엔 별게 아닐 수도 있지만 정작 본인에게는 그 작은 비대칭이 너무 크게 느껴지는 순간들이 있었어요 이 불편함이 점점 일상 속 행동까지 바꾸기 시작하면서 드디어 교정을 고민하게 되었어요
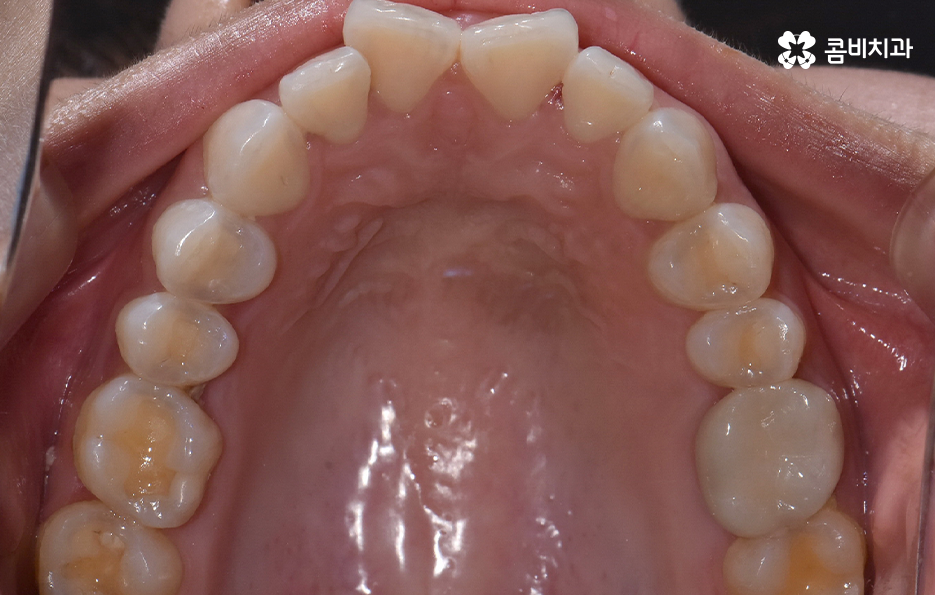
그런데 막상 교정을 생각하고 나니 고민의 방향은 또 다른 문제로 확장되기 시작했어요 앞니만 살짝 틀어졌다고 해도 전체적인 교합을 고려해야 한다고 하고 단순히 한두 치아만 바로잡는 게 의외로 어려울 수 있다는 이야기를 듣고 나니 교정을 하는게 맞는걸까 하는 망설임도 들었어요
이처럼 교정을 결심하게 되는 계기는 다양한데 그 중에서도 앞니 틀어짐 교정 방법은 그 정도에 따라서 치료 방법이 다양하다 보니 어떤 분들은 비교적 간단한 치료가 가능하고 어떤 분들은 전체교정을 해야 하다보니 치료 방법의 갭차이를 크게 느끼시는 분들도 많이 있는데요
특히 앞니는 사람의 첫인상과 발음을 결정짓는 중요한 치아라 조금만 틀어져도 눈에 잘 띄고, 스스로도 불편함을 크게 느끼게 되는데 앞니 틀어짐 교정 방법의 차이는 기본적으로는 치열의 복잡성이나 치아가 이동해야 하는 정도, 교합 등의 차이에서 나타나기 때문에 치료 방법을 구체적으로 이해하기 위해서는 앞니가 틀어지는 원인과 치아교정의 원리를 알아가는 것이 도움이 될 거예요


앞니 틀어짐이 경미한 단계라면 비교적 간단한 앞니 틀어짐 교정 방법으로 충분히 개선할 수 있지만, 원인을 정확히 이해하지 못하면 시간이 지나면서 틀어짐이 더 심해지는 경우도 많기 때문에 단순히 나는 앞니만 고치면 된다는 생각보다는 장기적인 유지까지 고려한 계획이 중요할 수 있었어요
앞니가 틀어지는 원인부터 살펴보면 대표적인 원인은 치열 공간의 부족으로 치아는 제자리에 가지런히 놓이기 위해 충분한 공간이 필요한데, 치아 크기는 정상인데 턱뼈가 작거나, 젖니가 너무 일찍 빠져 앞니가 원하는 방향으로 자리 잡지 못하면 틀어짐이 쉽게 나타날 수 있어요
특히 앞니는 치열에서 먼저 눈에 띄는 자리라 공간이 조금만 부족해도 서로 밀리며 비틀리거나, 한쪽으로 회전하는 형태로 틀어지는데 어린 시절 안좋은 습관이나 편작 습관이 있던 사람들도 턱뼈 성장 불균형이 나타나 치열 공간이 부족해지는 일이 나타날 수 있었어요


그리고 혀는 생각보다 강한 근육이라 치아 배열에 큰 영향을 줄 수 있는데 정상적인 혀 위치는 윗니 뒤쪽, 즉 구개에 가볍게 붙어 있는 상태지만 혀가 아래쪽에 위치하거나 앞쪽으로 밀려 나오는 습관이 있으면 앞니는 점점 밖으로 밀리게 되고 특히 수면 중 입을 벌리고 자는 사람, 말할 때 혀가 치아를 밀어내는 사람은 앞니 틀어짐이 나이가 들면서 더 심해지는 경우가 많이 있었어요
또한 나이가 들면서 앞니 주변 잇몸이 내려가고 뼈가 약해지면 치아를 잡아주는 힘이 줄어드는데 이때 앞니는 미세한 힘에도 쉽게 움직이기 시작해서 나이 들었더니 앞니가 벌어지기 시작했다라고 호소하는 경우가 많은데 이는 구조적 지지력이 떨어져 생기는 변화로 볼 수 있어요

이처럼 앞니 틀어짐은 다양한 원인에 의해 나타날 수 있는데 앞니 틀어짐이 경미한 수준일 때 어떤 교정 방법이 효과적인지 살펴보면 특히 앞니 틀어짐이 심하지 않을 때는 전체 교정보다 부담이 적고 기간도 짧은 경우가 많으며 중요한 건 원인을 정확히 잡고 그에 맞는 치료를 선택하는 것이라 할 수 있었어요
앞니 틀어짐 교정 방법 경미한 수준일 때는 부분 교정 방식은 치료 기간이나 방법 면에서 비교적 간단한 치료가 가능한데 앞니 6개 정도에만 브라켓을 부착해 미세한 틀어짐을 바로잡는 방식으로 치아가 크게 회전하지 않았거나 공간이 약간 부족한 정도라면 효과적이며 기간도 보통 3~6개월로 짧은 편으로 이 방식은 앞니 배열을 빠르게 정리하면서도 자연스러운 라인을 만들 수 있어요.

다만 부분교정 방식은 교합 문제까지 해결하기는 어렵기 때문에 교합이 안정적인 경우에 적합하기에 경미한 케이스에 적합하다고 한정 지을 수 있었어요
두 번째 방법은 투명 교정(인비절라인 등)으로 앞니만 틀어진 경우 투명 교정은 효율적이고 눈에 띄지 않아 일상생활도 편한데 경미한 앞니 틀어짐은 투명 교정이 자연스럽고 부담이 적은 방식으로 투명 교정으로 앞니를 조금씩 배열을 맞추는데, 특히 벌어짐이나 약한 회전 교정에 효과가 좋으며 이러한 방식은 투명교정 장치의 착용 시간이 중요하기 때문에 하루 20시간 정도 착용해야 원하는 속도, 결과가 나온다는 특징이 있어요.

부분교정과 투명교정 방식은 대표적으로 앞니 틀어짐이 경미한 수준일 때 적용하기 적합한 방식이지만 교합의 개선과 얼굴형의 변화를 목표로 해야하는 경우라면 환자 분들이 앞니만 고치는 것을 원한다고 해도 전체교정이 필요한 케이스도 많기 때문에 우선적으로 정밀검진을 통해서 나에게 적합한 치료 계획을 세우는 것이 중요하겠고 치아교정의 목적에는 치료 후의 지속성, 안정성 또한 함께 고려해야 한다는 점에서 앞니 틀어짐의 원인을 개선하여 재발을 방지하는 것까지도 잘 고려하실 필요가 있었어요
결론적으로 앞니가 틀어지는 이유는 생활습관, 구조적 문제, 뼈의 변화, 혀의 위치, 교합 등 다양하게 얽혀 있으며 특히 틀어짐이 경미할 때, 혹은 앞니의 변형이 시작되는 초기에는 비교적 간단한 교정 방법으로도 충분히 개선할 수 있고, 비교적 치료 기간도 짧아 부담이 적지만 중요한 것은 원인을 함께 해결해야 재발을 막을 수 있다는 점으로 무엇보다 나에게 적합한 치료 계획을 경험 많은 교정 전문의와 충분히 상의하여 판단하시길 바라고 있어요






Previous image Next image






Previous image Next image






Previous image Next image






Previous image Next image