아카이브 요약
이 페이지의 역할
명동콤비치과의원의 네이버 블로그 원문을 보존한 아카이브 페이지입니다. 치아스토리♡ 카테고리의 과개교합 교정 후 얼굴형 얼마나 바뀌나요 글을 통해 병원의 한국어 정보 제공 방식과 진료 관련 안내 톤을 확인할 수 있습니다.
원문 검증
필요하면 원문 블로그와 병원 프로필로 바로 이동해 문맥을 다시 확인할 수 있습니다.
출처 아카이브 열기아카이브된 블로그 글
명동콤비치과의원 · Naver Blog
어릴 때부터 이를 다물면 윗니가 아랫니를 많이 덮는다는 말을 가끔 듣기는 했어요, 하지만 그게 특별히 문제라고 생각해본 적은 없었고, 그냥 제 얼굴의 특징 중 하나라고 여겼어요, 겉으로 보기에는 크게 티나게 느껴지지 않았고, 일상생활에 불편함도 크지 않았기 때문에 굳이 교정까지 고민할 필요는 없다고 생각해왔어요...
게시일
2026년 3월 12일
원문 기준으로 확인된 발행일입니다.
카테고리
치아스토리♡
원문 블로그 카테고리를 정리해 함께 표시합니다.
이미지 수
29
현재 아카이브에 연결된 이미지 수입니다.
아카이브 요약
명동콤비치과의원의 네이버 블로그 원문을 보존한 아카이브 페이지입니다. 치아스토리♡ 카테고리의 과개교합 교정 후 얼굴형 얼마나 바뀌나요 글을 통해 병원의 한국어 정보 제공 방식과 진료 관련 안내 톤을 확인할 수 있습니다.
원문 검증
필요하면 원문 블로그와 병원 프로필로 바로 이동해 문맥을 다시 확인할 수 있습니다.
출처 아카이브 열기
어릴 때부터 이를 다물면 윗니가 아랫니를 많이 덮는다는 말을 가끔 듣기는 했어요, 하지만 그게 특별히 문제라고 생각해본 적은 없었고, 그냥 제 얼굴의 특징 중 하나라고 여겼어요, 겉으로 보기에는 크게 티나게 느껴지지 않았고, 일상생활에 불편함도 크지 않았기 때문에 굳이 교정까지 고민할 필요는 없다고 생각해왔어요.
그런데 시간이 지나면서 과개교합이라는 말이 단순한 치아 배열의 문제가 아니라는 걸 조금씩 알게 됐어요, 웃을 때 아랫니가 거의 보이지 않는다는 점이 사진 속에서 유독 도드라져 보였고, 말할 때 턱에 힘이 들어가는 느낌이 자주 들었어요
특히 피곤한 날에는 턱이 묘하게 뻐근했고, 이를 꽉 다물고 있는 시간이 길어졌다는 걸 스스로도 느끼게 됐어요.
처음에는 단순히 스트레스 때문이라고 생각했어요, 일이 많아서 그런가 보다 하고 넘겼는데, 점점 턱의 피로감이 일상처럼 따라다녔어요, 음식을 씹을 때도 어금니 쪽이 유난히 빨리 닳는 느낌이 들었고, 앞니 쪽은 제대로 닿지 않는다는 설명을 들었을 때 그제야 이게 구조적인 문제일 수도 있겠다는 생각이 들었어요.
과개교합이라는 말을 처음 정확히 듣고 나서는 괜히 그 단어가 계속 머릿속에 남았어요, 단순히 미용적인 문제가 아니라 치아 마모나 턱관절에도 영향을 줄 수 있다는 설명을 들으니 더 이상 가볍게 넘길 수 없겠다는 생각이 들었어요, 그동안은 불편함을 크게 느끼지 못했지만, 그건 제가 익숙해져 있었기 때문이었을지도 모른다는 생각이 들었어요.
치아교정을 떠올리게 된 건 단순히 외관 때문만은 아니었어요, 양치를 할 때 아랫니 안쪽이 잘 닦이지 않는 느낌이 있었고, 음식물이 끼는 위치도 일정했어요, 구조적인 문제라면 시간이 지날수록 더 큰 문제로 이어질 수도 있다는 말을 들으면서, 지금이라도 방향을 잡아야 하는 건 아닐지 고민하게 됐어요.
하지만 성인이 된 이후에 교정을 시작한다는 건 생각보다 많은 용기가 필요했어요, 교정 장치를 착용한 채 일상을 보내야 한다는 점이 부담이었고, 몇 년이라는 시간을 투자해야 한다는 사실도 쉽게 받아들여지지 않았어요, 지금 당장은 큰 통증이 없는 상태에서 굳이 그 과정을 겪어야 하는지 계속 스스로에게 묻게 됐어요.
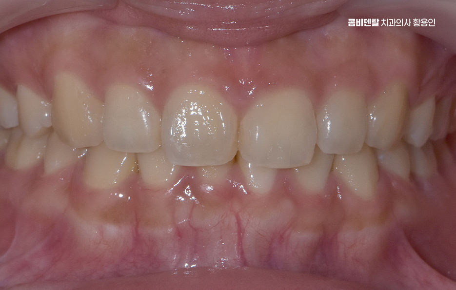
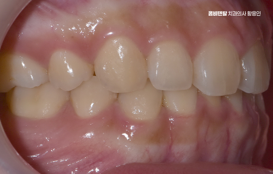
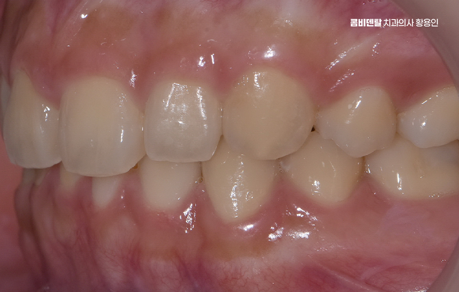
이처럼 과개교합은 위앞니가 아래앞니를 과도하게 덮고 있는 상태를 말하며 정상적인 교합에서도 어느 정도 겹침은 있는데 그 정도가 지나치게 깊어 아래앞니가 거의 보이지 않거나, 심한 경우에는 아래앞니가 위잇몸에 닿을 정도라면 과개교합으로 볼 수 있어요.
겉으로 보기에는 치아가 가지런해 보여서 문제를 크게 느끼지 못하는 경우도 있지만, 기능적으로는 여러 부담이 숨어 있을 수 있어요.



과개교합은 단순히 배열만의 문제가 아니며 위아래 턱의 수직적 관계와 치아의 위치, 근육의 균형이 함께 영향을 주는 상태로 어떤 경우에는 위턱이 상대적으로 길거나 아래턱이 짧아서 발생하기도 하고, 치아가 과도하게 위아래로 길게 자라서 생기기도 해서 치료 필요성을 판단할 때는 단순히 겹침 정도만 보는 것이 아니라 턱뼈 구조와 얼굴 비율까지 함께 고려해야 할 필요가 있어요
과개교합을 그대로 두면 어떤 문제가 생길 수 있을까 알아보면 흔한 문제는 앞니 마모로 위아래 앞니가 지나치게 깊게 맞물리면 씹을 때마다 앞니에 강한 힘이 반복적으로 가해질 수 있으며 시간이 지나면 치아 끝이 닳거나 금이 가는 경우도 있고 심한 경우에는 아래앞니가 위잇몸을 자극해 염증이 생기기도 하는데 잇몸에 지속적인 자극이 가해지면 통증이나 출혈이 생길 수 있어요.



턱관절에도 부담이 갈 수 있으며 과개교합은 턱의 움직임 범위를 제한할 수 있는데 입을 벌릴 때 자연스러운 경로가 방해받으면서 관절에 스트레스가 쌓일 수 있고 모든 과개교합이 턱관절 문제로 이어지는 것은 아니지만, 교합이 깊을수록 근육 긴장이 높아질 가능성은 있었어요.
그래서 교정 필요성은 기능적 안정성과 장기적인 치아 보호 측면에서 고려되기도 하며 단순히 치열만의 교정 목적이 아니라, 위아래 치아의 수직 관계를 적절히 조정하는 것이 중요하며 치료 계획은 개인의 골격 구조에 따라 달라질 수 있어요
치성 과개교합이라면 교정 장치를 이용해 앞니를 적절히 들어 올리거나, 어금니를 약간 세워 수직 높이를 조정할 수 있는 반면 골격성 요인이 크다면 성장기에는 기능성 장치를 활용해 턱 성장을 유도할 수 있고, 성인에서는 교정만으로 한계가 있는 경우도 있었어요.


교정 과정에서는 앞니의 과도한 겹침을 줄이고, 위아래 치아의 접촉점을 재배치하며 어금니의 높이를 조정하면서 전체 교합을 균형 있게 만드는 것이 중요하고 단순히 앞니만 움직이면 다시 깊어질 수 있기 때문에, 전체 교합을 함께 고려해야 할 필요가 있었어요
그렇다면 과개교합 교정 후 얼굴형 변화는 어떻게 예상할 수 있을까 알아보면 과개교합이 개선되면서 아래치아 노출이 자연스러워지고, 웃을 때 입매가 부드러워 보일 수 있었어요.
과개교합 교정 후 얼굴형 변화는 수직적 비율이 조정되면서 턱선이 조금 더 또렷해 보이는 경우도 있고 입술이 과도하게 덮여 있던 느낌이 완화되면서 표정이 편안해 보일 수 있어요.


하지만 모든 경우에 극적인 변화가 생기는 것은 아니며 과개교합 교정 후 얼굴형 변화는 치아 이동만으로 결정되는 것이 아니라, 뼈 구조와 연조직 특성에 따라 달라지기 때문에 종합적인 관점에서 바라볼 필요가 있었어요
교정은 성형 수술이 아니기 때문에 뼈 자체의 길이를 크게 바꾸지는 못하는데 다만 치아 위치 변화에 따라 입술 지지와 표정 균형이 달라질 수 있으며 특히 과개교합이 심했던 경우에는 교정 후 인상이 더 또렷해졌다고 느끼는 경우가 많고 입을 다물었을 때 긴장감이 줄어들고, 턱 주변 근육 사용이 균형을 찾으면서 자연스러운 표정이 만들어질 수 있으며 정확하게는 각 개인에게 맞는 1:1 맞춤형 치료 계획이 중요하기 때문에 경험 많은 교정 전문의와 충분히 상의하여 나에게 맞는 치료 계획 및 예상을 조율하는 것이 중요할 수 있었어요
정리하면 과개교합은 단순히 치열만의 문제가 아닌 기능과 심미가 함께 얽혀 있는 상태로 교정의 필요성은 단기적인 외모 개선이 아니라, 장기적인 치아 보호와 교합 안정성에 있으며 얼굴형 변화는 개인차가 있지만, 균형이 맞춰지면서 자연스러운 인상 변화를 기대할 수 있는 경우가 많기 때문에 나에게 맞는 치료 계획을 차근차근 잘 따져보시길 바라고 있어요





Previous image Next image





Previous image Next image




Previous image Next image




Previous image Next image