UPenn Barun Dental Clinic - English-speaking U.S. Orthodontist & Dentist for Braces and Invisalign
인비절라인의 4가지 종류에 대해 알고 계시나요?
안녕하세요! 오늘은 인비절라인교정의 종류에 대해 간단히 얘기해 보려고 합니다. 인비절라인은, Invisalign Express Invisalign Lite Invisalign Comprehensive Invisalign First 이렇게 네 종류로 나누어 집니다. 불과 얼마전까지만 해도 Invisalign Compre...
아카이브 요약
이 페이지의 역할
UPenn Barun Dental Clinic - English-speaking U.S. Orthodontist & Dentist for Braces and Invisalign의 네이버 블로그 원문을 보존한 아카이브 페이지입니다. 치아교정 이야기 카테고리의 인비절라인의 4가지 종류에 대해 알고 계시나요? 글을 통해 병원의 한국어 정보 제공 방식과 진료 관련 안내 톤을 확인할 수 있습니다.
안녕하세요! 오늘은 인비절라인교정의 종류에 대해 간단히 얘기해 보려고 합니다.
인비절라인은,
-
Invisalign Express
-
Invisalign Lite
-
Invisalign Comprehensive
-
Invisalign First
이렇게 네 종류로 나누어 집니다. 불과 얼마전까지만 해도 Invisalign Comprehensive 밖에 없었는데요, 미국 인비절라인을 개발한 Align Technology사에서 환자분들의 다양한 부정교합에 맞춰 여러 옵션들을 추가했답니다. 그럼 각각 어떻게 다른지 말씀 드려 볼게요.
- Invisalign Express

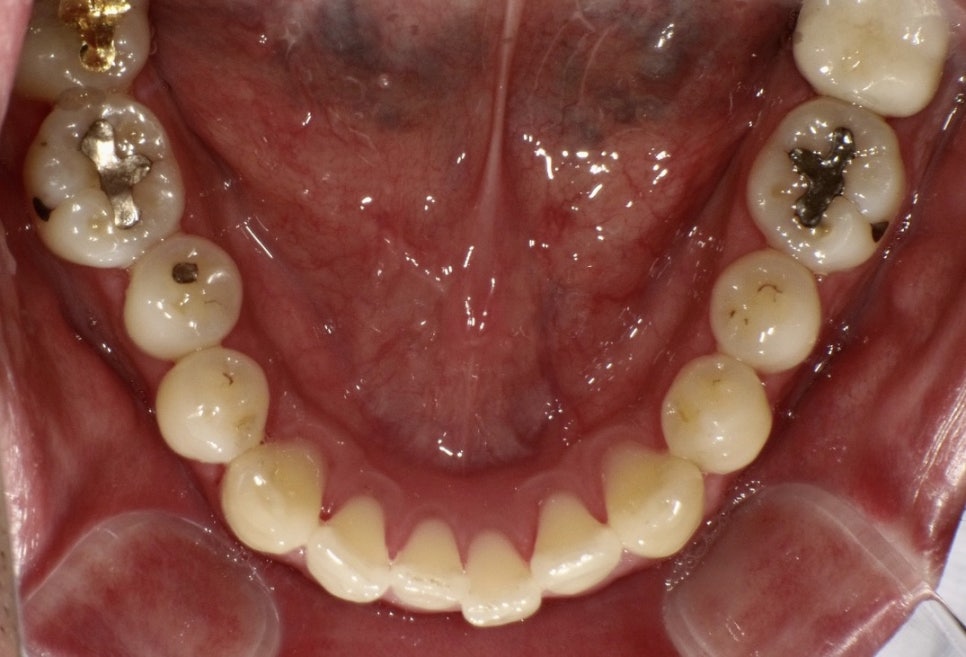
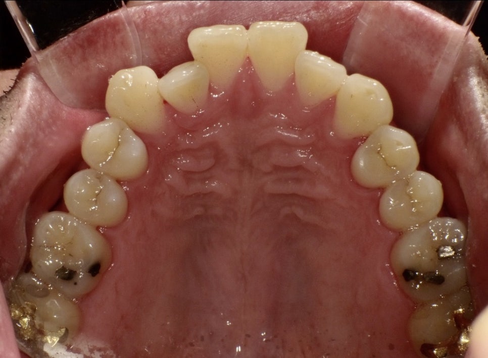
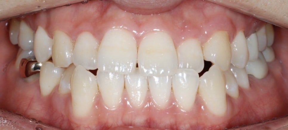
인비절라인 익스프레스는 말 그대로 치아의 삐뚤어짐이 심하지 않아 비교적 교정을 빨리 끝낼수 있는 케이스에 적용이 가능한데요, 단 7개의 인비절라인 장치로 교정치료를 마무리 할 수 있는 케이스에 적용할 수 있어요. 예를 들어, 위 사진과 같이 예전에 교정치료를 했다가 다시 틀어진 경우나 앞니 사이사이가 벌어진 경우 그 공간들을 교정적으로 닫고 싶을때 아주 유용하게 적용됩니다. 장치가 많이 필요하지 않는 만큼 비용도 가장 저렴합니다.😆
- Invisalign Lite

인비절라인 라이트는 총 14개의 인비절라인 교정장치로 교정을 마무리할 수 있는 케이스에 적용할 수 있어요. 인비절라인 익스프레스로 치료를 끝내기에는 다소 부족하고, 인비절라인 컴프레헨시브까지 할 필요는 없는 케이스에 선택할 수 있는데요, 비용은 인비절라인 익스프레스보다는 조금 높고, 인비절라인 컴프레헨시브보다는 다소 저렴합니다.
- Invisalign Comprehensive

다음은 인비절라인 컴프레헨시브인데요, 부정교합이 비교적 심해 보다 많은 인비절라인 장치가 필요한 경우에 적용됩니다. 장점으로는 인비절라인 장치 갯수 주문에 제한이 없어 원하는만큼 장치를 받아 교정치료를 할 수 있고, 5년안에 다시 치아가 틀어진 경우 추가비용 없이 다시 장치를 받아 재교정을 하실 수 있습니다. 비용은 인비절라인의 종류중에서 가장 높습니다.
- Invisalign First

마지막으로는 인비절라인 퍼스트입니다. 즉, 인비절라인으로 성장하는 아이들의 1차교정 또는 소아교정을 진행할 수 있는데요, 위에 말씀드린 다른 인비절라인 종류들과 마찬가지로 일주일에서 열흘에 한번씩 새 장치로 바꿔 끼는 방식이라 그 어떤 장치보다 위생적이고 무엇보다 아이들이 장난감 같이 느껴 재미있어 한답니다.
오늘은 인비절라인의 네가지 종류에 대해 간단히 말씀드려 보았는데요, 나의 부정교합이 인비절라인 익스프레스 또는 라이트로 치료가 가능한지 아니면 컴프레헨시브로 해야할지는 경험이 풍부한 의료진과 직접 상담을 해 보시면 좋을 것 같아요.
다음에는 각각의 종류에 대해 더 심도있게 말씀드려 볼게요.
오늘 글도 조금 이나마 도움이 되셨음 합니다. 감사합니다!
#인비절라인 #인비절라인익스프레스 #인비절라인라이트 #인비절라인컴프레헨시브 #잠실인비절라인 #송파인비절라인 #잠실새내역인비절라인 #인비절라인후기 #인비절라인가격 #인비절라인비용 #인비절라인장점 #인비절라인단점 #선릉인비절라인 #삼성역인비절라인 #잠실새내역치아교정 #잠실새내역치과
더 보기
이 병원의 공개 콘텐츠를 계속 살펴보세요
출처 아카이브로 돌아가 더 많은 글을 보거나, 병원 프로필로 이동해 다른 공개 채널도 함께 비교해보세요.