UPenn Barun Dental Clinic - English-speaking U.S. Orthodontist & Dentist for Braces and Invisalign
미니튜브를 이용한 MTA 교정 (앞니 부분 교정)
안녕하세요! 바른쌤? 김승우 원장입니다. ^^ 오늘은 많은 분들께서 관심을 가지고 계시는 앞니 부분 교정에 대해 이야기 해볼까 합니다. 앞니 부분 교정에도 선택할 수 있는 여러가지 치료 옵션이 있겠지만 오늘은 그 중 미니튜브를 이용한 MTA 교정에 대해 알아볼게요! MTA는 Mini-Tube Appliance의 약자로,...
아카이브 요약
이 페이지의 역할
UPenn Barun Dental Clinic - English-speaking U.S. Orthodontist & Dentist for Braces and Invisalign의 네이버 블로그 원문을 보존한 아카이브 페이지입니다. 유펜바른치과 이야기 카테고리의 미니튜브를 이용한 MTA 교정 (앞니 부분 교정) 글을 통해 병원의 한국어 정보 제공 방식과 진료 관련 안내 톤을 확인할 수 있습니다.
안녕하세요! 바른쌤? 김승우 원장입니다. ^^
오늘은 많은 분들께서 관심을 가지고 계시는 앞니
부분 교정에 대해 이야기 해볼까 합니다. 앞니
부분 교정에도 선택할 수 있는 여러가지 치료 옵션이 있겠지만 오늘은 그 중 미니튜브를 이용한 MTA 교정에 대해 알아볼게요!

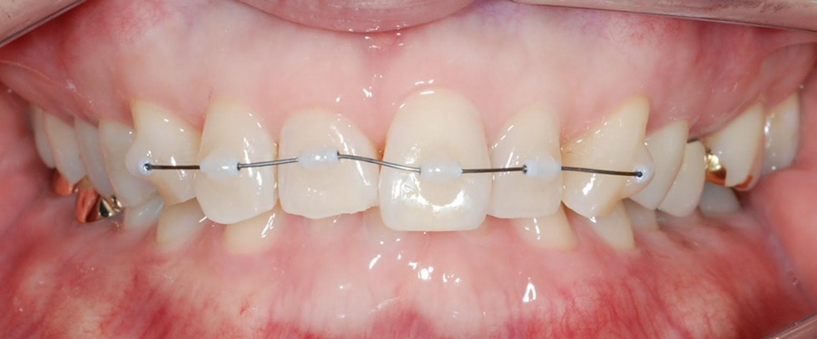
MTA는 Mini-Tube Appliance의 약자로, 하얀색 레진으로 만들어진 작은 튜브들을 앞니에 붙이고 교정용 와이어를 통과시켜 치열을 가지런히 하는 방법입니다.


MTA 미니튜브 교정은 단계적인 치간 삭제를 통해 공간을 얻고 아주 얇은 와이어 몇개로 교정을 마무리하기 때문에 비교적 통증이 적고, 살짝씩 삐뚤어진 앞니들을 가지런히 배열해 줄 수 있는 좋은 교정 방법입니다.
치아의 배열만을 목적으로 하는 교정 방법이기 때문에 단기간에 치료가 끝나는 장점은 있지만, 치아의 각도를 고쳐줘야 하는 등의 섬세한 치아이동에는 다소 한계가 있을 수 있어요.

오른쪽의 인비절라인에 비하면 눈에 띠긴 하지만, 왼쪽의 일반 세라믹 교정장치와 비교하면 교정장치의 크기도 작고 조금 더 심미적이라고 할 수 있을것 같네요.








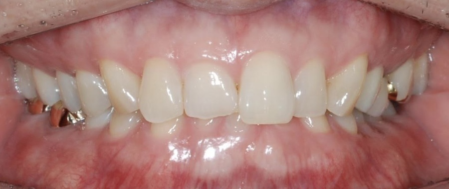
앞니의 높이가 맞지 않고 삐뚤삐뚤한 치아가 마음에
들지 않는 환자분의 6개월 후의 모습이 기대됩니다.
유펜바른치과의원
서울 송파구 올림픽로 119 파인애플상가 3층
#잠실새내치과 #잠실역치과 #잠실치과 #종합운동장역치과 #잠실새내역치아교정 #잠실새내역교정 #잠실인비절라인 #인비절라인장단점 #잠실투명교정 #부분교정 #미니튜브교정 #mta교정 #mta부분교정 #앞니교정 #잠실앞니교정 #잠실부분교정 #잠실역교정 #잠실역치아교정 #잠실역인비절라인 #잠실역교정전문의 #미국교정전문의 #깨끗한치과 #엘스상가치과 #파인애플상가치과 #코로나예방치과 #삼전역치아교정 #삼전역치과 #삼전역교정 #앞니부분교정 #앞니급속교정 #잠실급속교정
더 보기
이 병원의 공개 콘텐츠를 계속 살펴보세요
출처 아카이브로 돌아가 더 많은 글을 보거나, 병원 프로필로 이동해 다른 공개 채널도 함께 비교해보세요.