아카이브 요약
이 페이지의 역할
유펜바른치과의원의 네이버 블로그 원문을 보존한 아카이브 페이지입니다. 치아교정 이야기 카테고리의 치과위생사의 인비절라인 첫 번째 이야기 글을 통해 병원의 한국어 정보 제공 방식과 진료 관련 안내 톤을 확인할 수 있습니다.
원문 검증
필요하면 원문 블로그와 병원 프로필로 바로 이동해 문맥을 다시 확인할 수 있습니다.
출처 아카이브 열기아카이브된 블로그 글
유펜바른치과의원 · Naver Blog
안녕하세요 ^^ 유펜바른치과 치과위생사 최실장입니다. ‘장치교정이 아닌데도.... 이 플라스틱으로 교정이 잘 되나요?’ 환자분들께서 인비절라인에 대해 가장 많이 해주시는 질문인데요 :) 인비절라인이란 ?? 특수 강화 플라스틱으로 된 틀을 이용하여 치아를 교정하는 시술 입니다....
게시일
2021년 12월 2일
원문 기준으로 확인된 발행일입니다.
카테고리
치아교정 이야기
원문 블로그 카테고리를 정리해 함께 표시합니다.
이미지 수
4
현재 아카이브에 연결된 이미지 수입니다.
아카이브 요약
유펜바른치과의원의 네이버 블로그 원문을 보존한 아카이브 페이지입니다. 치아교정 이야기 카테고리의 치과위생사의 인비절라인 첫 번째 이야기 글을 통해 병원의 한국어 정보 제공 방식과 진료 관련 안내 톤을 확인할 수 있습니다.
원문 검증
필요하면 원문 블로그와 병원 프로필로 바로 이동해 문맥을 다시 확인할 수 있습니다.
출처 아카이브 열기안녕하세요 ^^
유펜바른치과 치과위생사
최실장입니다.
‘장치교정이 아닌데도....
이 플라스틱으로 교정이 잘 되나요?’
환자분들께서
인비절라인에 대해
가장 많이 해주시는 질문인데요 :)

인비절라인이란 ??
특수 강화 플라스틱으로 된 틀을 이용하여
치아를 교정하는 시술 입니다.
두께가 0.75mm 정도 라고 하니
입안에서도 이물감이 적겠죠??
또한,
눈에 띄지 않아 심미적이고
탈부착이 가능하며
처음부터 끝까지
교정장치가 나와있어
군대에 가시거나, 유학, 출장 등
잦은 내원이 힘드신 경우에도
적합한 교정장치 입니다.
(*인비절라인의 평균적인 내원주기는
6주~8주 간격이지만,
유학중에 계시거나 군대에 계시는 환자분들은
한번 내원 후
3~4개월 뒤에 오시기도 합니다^^)
제가 두 눈으로 직.접.
효과를 확인해야 환자분들께
와닿는 설명을 드릴 수 있을것 같아서
평소에 교정에 관심이 있었고,
부정교합이 있는 저의 최측근인
바로 남편을 설득하여!!!
인비절라인을 시켜주게 되었습니다.:)
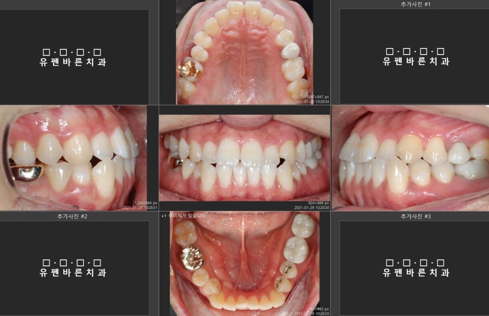
인비절라인을 시작하기전에
초진사진을 찍어보았어요

남편의 치열 상태는
윗니, 아랫니가 반대로 물리는
주걱턱 경향의 3급 부정교합 입니다.
그리고 보시다시피 상하 치아 정중앙선도
틀어져 있습니다. ㅠㅠ
부정교합이 있는줄은 알았지만
어금니 쪽을 보니
생각보다 공사가 크겠구나,,,
OMG..
원장님께 이런부정교합도 인비절라인교정으로
가능한지 여쭤보니,
원장님왈,
NO PROBLEM!
마음먹고 시작한
인비절라인!
내돈내산 인비절라인!
교정 후 모습이 궁금하시죠?
인비절라인은
구강내 3D 스캔으로
교정후의 모습을
시뮬레이션을 통해
정밀하게 예측할수 있습니다.
클린체크 영상 같이 확인해보실게요 :)
남편은 46단계에 거쳐서
교정을 진행하게 될 예정인데요.
이단계는
환자분의 치아 배열 상태에 따라
단계가 줄어들수도, 늘어날 수도 있답니다.


설레이는
파란박스를 받고
인비절라인을 시작한지
어느덧
6개월이 흘렀는데요,
변화된 모습이 궁금하시다면
다음 인비절라인 두번째 이야기를
확인해보세요!
긴 글 읽어주셔서
감사합니다 :)