UPenn Barun Dental Clinic - English-speaking U.S. Orthodontist & Dentist for Braces and Invisalign
치과위생사의 인비절라인 두번째 이야기
안녕하세요 ^^ 유펜바른치과 입니다. ‘장치교정이 아닌데도.... 이 플라스틱으로 교정이 잘 되나요?’ 지난번 많이 궁금해 하셨던 질문에 대한 답을 드리고자 치과위생사의 잠실인비절라인 두번째 이야기로 돌아왔습니다. 6개월전.. 평소에 교정에 관심이 있었고, 부정교합이 있는 저의 최측근인 바로 남편...
아카이브 요약
이 페이지의 역할
UPenn Barun Dental Clinic - English-speaking U.S. Orthodontist & Dentist for Braces and Invisalign의 네이버 블로그 원문을 보존한 아카이브 페이지입니다. 치아교정 이야기 카테고리의 치과위생사의 인비절라인 두번째 이야기 글을 통해 병원의 한국어 정보 제공 방식과 진료 관련 안내 톤을 확인할 수 있습니다.
안녕하세요 ^^
유펜바른치과 입니다.
‘장치교정이 아닌데도....
이 플라스틱으로 교정이 잘 되나요?’
지난번
많이 궁금해 하셨던
질문에 대한
답을 드리고자
치과위생사의
잠실인비절라인 두번째 이야기로
돌아왔습니다.
6개월전..
평소에 교정에 관심이 있었고,
부정교합이 있는 저의 최측근인
바로 남편을 설득하여!!!
인비절라인을 시작했었는데요,,
6개월이 지난 지금
남편은 46단계중
25번째 장치를 착용중 입니다.
드디어..!!!
절반을 넘어섰습니다
먼저
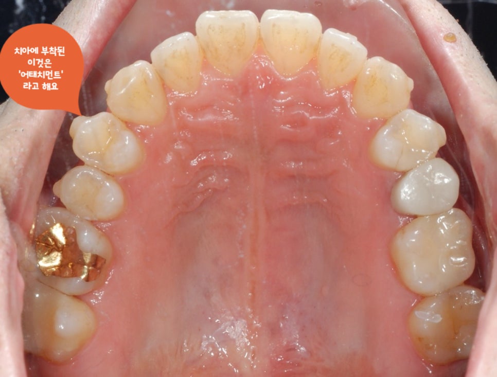
아래의 사진을 보시면
치아 표면에 쌀알처럼 붙어있는
것은 무엇일까요??

어태치먼트란
보통 충치를 때우는 레진을 치아에 부착해서
치아의 이동을 원하는 위치로
올바르게
배열시켜 주는
인비절라인에서 없어서는 안될
필수 요소입니다.
치아의 회전이나, 이동, 높이, 각도 등을
조절할 수 있는 장치이므로
잠실인비절라인에서 어태치먼트의 역할은
매우 중요합니다.
보통 인비절라인 환자분들의 치아상태를
아이테로 스캔해서
해외 인비절라인사로 보내게 되면
이런 어태치먼트들이 자동으로 부착되어 오는데,
그것을 오는 그대로
붙이게 되면
종종 치아 이동이
잘 되지 않을때가 있습니다.
그래서,
원장님께서는
항상 정교하게 다시
환자분들 개개인의 치아상태에 맞게
어태치먼트를 customize 하시더라고요.
하단의
오른쪽 사진을 보시면
치아에 부탁된
어태치먼트를 확인하실 수 있습니다 :)

교정을 시작한지
6개월이 지나
중간점검차
사진을 찍어보았는데요
오른쪽 사진의 틈 보이시나요?
틈!!
어금니 사이에 공간이 생겼어요!!
남편은 비발치 인비절라인 교정으로,
우측 아래 치아 전체를
뒤로 미는 교정을 하고 있습니다.
큰 어금니들이 먼저 뒤로 밀리면서
저렇게 틈이 생기고
저 틈을 이용해 앞니들 또한
뒤로 미는 방법입니다.
지난 20년간 엄청난 기술 발전을 한
잠실새내역인비절라인은,
플라스틱만으로도
난이도 있는 교정이 가능하다는 것을
입증하고 있습니다!

인비절라인 클린체크 25번
오른쪽 사진은
46단계중 25단계에
해당되는
인비절라인 클린체크 사진인데요
클린체크의
예상대로
치아의 이동이
잘 되고 있습니다!!!

윗니들도
악궁이 확장되면서
더욱 더 가지런해진 모습을
확인 해 보실 수 있습니다!!
남편은
벌써 이가 가지런해 져서
교정을,,
끝내도 될것 같다고 하는데요

아직 한박스가 더
남았다는 사실!!
중간확인 차원에서
사진을 찍어봤는데
잠실인비절라인으로
어금니의 이동이
잘 되고 있는걸
확인 해 보실 수 있습니다 :)
현재
부정교합이 있거나
앞니가 삐뚤배뚤하거나
앞니가 벌어져 있는 경우,
비발치 교정에 관심이 있으신 분들은
인비절라인을 통해
아름다운 미소를
되찾아보세요 :)

더 보기
이 병원의 공개 콘텐츠를 계속 살펴보세요
출처 아카이브로 돌아가 더 많은 글을 보거나, 병원 프로필로 이동해 다른 공개 채널도 함께 비교해보세요.