UPenn Barun Dental Clinic - English-speaking U.S. Orthodontist & Dentist for Braces and Invisalign
해외거주 중인데 발치교정도 인비절라인으로 가능한가요?
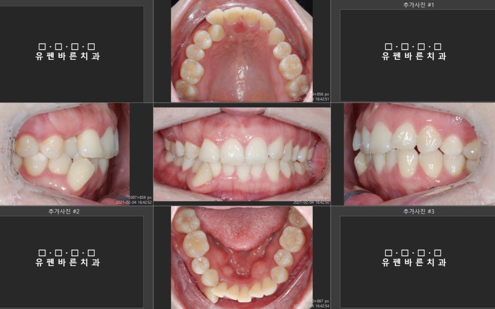
안녕하세요 ^^ 유펜바른치과입니다. '발치교정도 인비절라인으로 가능한가요?' 인비절라인에 대해 두번째로 문의를 많이 주시는 질문인데요ㅎㅎ 정답은 YES! 입니다. 궁금해 하실테니 바로 환자분 사진을 통해 설명드릴게요 :) 이 환자분은 삐뚤빼뚤한 치아와 오른쪽 위아래 덧니 해결을 위해 내원하...
아카이브 요약
이 페이지의 역할
UPenn Barun Dental Clinic - English-speaking U.S. Orthodontist & Dentist for Braces and Invisalign의 네이버 블로그 원문을 보존한 아카이브 페이지입니다. 치아교정 이야기 카테고리의 해외거주 중인데 발치교정도 인비절라인으로 가능한가요? 글을 통해 병원의 한국어 정보 제공 방식과 진료 관련 안내 톤을 확인할 수 있습니다.
안녕하세요 ^^
유펜바른치과입니다.
'발치교정도
인비절라인으로 가능한가요?'
인비절라인에 대해
두번째로
문의를 많이 주시는
질문인데요ㅎㅎ
정답은
YES!
입니다.
궁금해 하실테니
바로 환자분 사진을 통해
설명드릴게요 :)

이 환자분은
삐뚤빼뚤한 치아와
오른쪽 위아래
덧니 해결을 위해
내원하셨어요.
현재
영국에 거주중 이셔서
잠시 한국에 계시는 동안
인비절라인을 시작하기로 하셨습니다.
인비절라인은
장치가 처음부터 끝까지
나와있기도 하고
장치교정에 비해
상대적으로 내원횟수가 적어
군대에 가시거나, 유학, 출장, 해외거주 등
잦은 내원이 힘드신 경우에도
적합한 교정장치 입니다.
간혹 6개월에 한번
내원하시는 경우도 있습니다.

엑스레이를 찍어보니
사진과같이
치아들이 겹쳐 보이는걸
확인하실 수 있습니다.
'삐뚤빼뚤한 치아와 덧니'가
고민이셧던 환자분의
치아 상태는
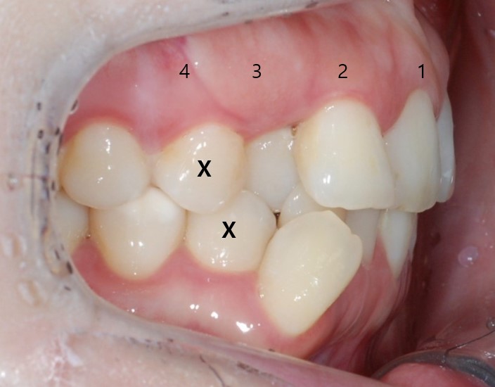
공간 확보를 위해
발치가 필요한 상황 이었답니다
인비절라인 발치 교정은
난이도가 상당히 있어
인비절라인 경험이 많으신
원장님께
상담해 보시는 것을
적극 추천드립니다!

환자분의 동의를 구하고
오른쪽 위, 아래
각 4번째 치아를
발치했습니다.
두근두근!!
9개월이 지난 지금
어떻게
변했을까요?

헉..
발치했던 공간
어디 갔나요..
원래 치아가 있었던것 맞죠???
잠실새내역인비절라인의
클린체크 예상대로
치아들이 아주 잘 움직였습니다.


Tracking ClinCheck
Unilateral 1st premolar extraction with Invisalign
역시 원장님..
인비절라인으로
가능하다고 하셨지만
이렇게 빨리 잘 될줄은 몰랐어요
ㅎㅎㅎㅎ
그렇다면
위 아래
사진도 같이 보실게요




9개월 전에 비해
확연히 가지런해진
모습을
확인해보실수 있습니다 :)

엑스레이
전, 후 사진을 보니
치아 뿌리 상태와
잇몸 상태는
여전히 좋습니다!!
오히려
치아 사이가
삐뚤빼뚤한 상태보다
관리하기가 훨씬 쉬워져
충치예방, 잇몸 관리에도
많은 도움이 되겠죠??!!
환자분께서는
인비절라인의 Comprehensive Package로
5년동안 추가 비용 없이
재스캔하여
인비절라인의 추가제작이
가능하시답니다.
추가적으로
한세트를 더 제작하여
마무리 할 예정이에요 :)


일반적으로 2년
정도로 예상되었던
발치 교정이
단 9개월 만에
발치 공간도 거의 다 닫히고,
이제는 추가 스캔으로
교정치료의 마무리 단계로
들어갑니다.
인비절라인이 일반 철사교정보다
시간이 더 많이 걸리지 않나요?
정답은
꼭 그렇지 않다.
입니다.
구체적인 사례에 따라 다르지만
위 환자분의 경우
인비절라인을 선택했기 때문에
해외에서도 잦은 치과 방문 없이
교정치료를 빠르게
진행할 수 있었답니다.
현재
부정교합이 있거나
삐뚤빼뚤한 치아가
고민이시라면
잠실새내역인비절라인
유펜바른치과에서
아름다운 미소를
되찾아 보세요!!! ㅎㅎ

더 보기
이 병원의 공개 콘텐츠를 계속 살펴보세요
출처 아카이브로 돌아가 더 많은 글을 보거나, 병원 프로필로 이동해 다른 공개 채널도 함께 비교해보세요.