아카이브 요약
이 페이지의 역할
유펜바른치과의원의 네이버 블로그 원문을 보존한 아카이브 페이지입니다. 치아교정 이야기 카테고리의 앞니끼리 맞물리지 않는데 인비절라인으로 교정 가능한가요? 글을 통해 병원의 한국어 정보 제공 방식과 진료 관련 안내 톤을 확인할 수 있습니다.
원문 검증
필요하면 원문 블로그와 병원 프로필로 바로 이동해 문맥을 다시 확인할 수 있습니다.
출처 아카이브 열기아카이브된 블로그 글
유펜바른치과의원 · Naver Blog
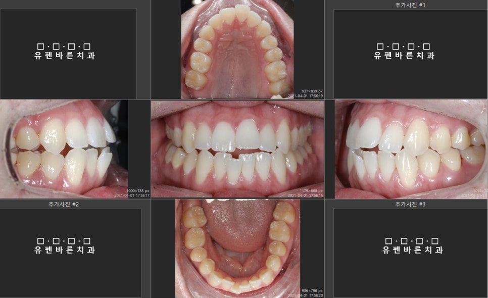
What would you choose? 안녕하세요 ^^ 유펜바른치과입니다. 때는 올해 4월경! 유펜바른치과에 미국 뉴욕에서 오신 외국인 환자분께서 잠실새내역교정 상담을 위해 방문해 주셨어요. 먼저 정확한 교정진단을 위해 구강내 사진을 찍어보았습니다 :) 어금니를 끝까지 다무신것 같은데.. 위...
게시일
2021년 12월 29일
원문 기준으로 확인된 발행일입니다.
카테고리
치아교정 이야기
원문 블로그 카테고리를 정리해 함께 표시합니다.
이미지 수
9
현재 아카이브에 연결된 이미지 수입니다.
아카이브 요약
유펜바른치과의원의 네이버 블로그 원문을 보존한 아카이브 페이지입니다. 치아교정 이야기 카테고리의 앞니끼리 맞물리지 않는데 인비절라인으로 교정 가능한가요? 글을 통해 병원의 한국어 정보 제공 방식과 진료 관련 안내 톤을 확인할 수 있습니다.
원문 검증
필요하면 원문 블로그와 병원 프로필로 바로 이동해 문맥을 다시 확인할 수 있습니다.
출처 아카이브 열기
What would you choose?
안녕하세요 ^^
유펜바른치과입니다.
때는
올해 4월경!
유펜바른치과에
미국 뉴욕에서 오신
외국인 환자분께서
잠실새내역교정 상담을 위해
방문해 주셨어요.
먼저
정확한 교정진단을 위해
구강내 사진을
찍어보았습니다 :)

어금니를 끝까지
다무신것 같은데..
위, 아랫니 사이의 공간
보이시나요?

진단을 해보니
외국인 환자분의
치아 상태는
앞니끼리 물리지 않는
'개방교합(Open Bite)'
상태셨어요 ㅠ_ㅠ
사실
정상교합은
윗니가 아랫니를
2-3mm정도
덮고 있어야 하는데 말이죠..

또한
환자분은
악궁이 좁아
어금니에 반대교합도 있어서
동시에 악궁확장이
필요했습니다.
그럼,
인비절라인으로
성인의 어금니 반대교합도
고칠수 있을까요???
물론
가능합니다!
그리하여
악궁확장,
개방교합 개선과
가지런한 치아 배열교정이
모두 동시에 가능한
인비절라인으로
하기로 하셨습니다 :)
올해 5월에
인비절라인을 시작하고
어느날..
환자분께서
사진 한장을
보내주셨어요
.

dr seung은 바로
원장님 이신데요
ㅎㅎ
미국에서는 가끔
어린 어린이 교정환자들이
알아듣기 쉽게
Dr 뒤에 길고 어려운 "성"을 붙이기보다
Dr. Mary 처럼
쉽고 친근감있게 "이름"을 붙여
쓰기도 한답니다. ^^**
환자분께서 친구분과
즐겁게 나누는 대화에서
만족해 하시는게
느껴집니다.
"He's the best!"
TMI 를 드리자면..
저희 병원은
소개로 오시는 환자분들이
상당히 많습니다. ^^
그만큼
dr seung의 치료에 대한
만족도가 높기 때문에
소개를 많이 해주시는것 같아서
환자분들께
항상 감사드립니다 :)
그럼 이제
TMI를 뒤로 하고
개방교합 개선을 위한
미국인 환자분의
치아 이동 시뮬레이션
함께 보실게요 ㅎㅎ
Correcting anterior open bite only with Invisalign
과연!!
클린체크의 예상대로
치아이동이
잘 되고 있을지!!

치료 5개월 진행중
wow!!
앞니의 개방교합이 닫혔어요!
그리고 삐뚤어진 앞니들도
인비절라인교정을 통해
많이 가지런해진 것을
볼수 있네요!!!
정중앙선 맞춤과
어금니쪽의 교합은
원장님의 노하우와
추가적인 인비절라인 장치를 통해
고칠 예정이랍니다. :)

잠실새내역인비절라인의
클린체크 예상대로
치아들이 아주 잘 움직였습니다.
ㅎㅎ
인비절라인은
치과 진료중에
환자분들의
만족도가 매우 높은
치료중의 하나 인데요,,

첫번째 사진은 4번째 인비절라인 착용중인 사진이고,
두번째 사진은 20번째 인비절라인 착용전의 사진 입니다.
사진 찍어달라는
말씀은 안드렸지만 .
이렇게 환자분께서
사진 찍어서
기록도
남겨주시고
감사할 따름입니다 ㅎㅎ
환자분께서는
인비절라인의 Comprehensive Package로
5년동안 추가 비용 없이
재스캔하여
인비절라인의 추가제작이
가능하시답니다.
추가적으로
1~2세트를 더 제작하여
마무리 할 예정이에요 :)

현재
윗니 아랫니가 닿지 않거나
삐뚤빼뚤한 치아가
고민이시라면
잠실새내역인비절라인
유펜바른치과에서
아름다운 미소를
되찾아 보세요!!! ㅎㅎ