아카이브 요약
이 페이지의 역할
유펜바른치과의원의 네이버 블로그 원문을 보존한 아카이브 페이지입니다. 일반치과 치료 이야기 카테고리의 연세가 엄청 많으신데도 전체 임플란트 수술이 가능하다구요? 글을 통해 병원의 한국어 정보 제공 방식과 진료 관련 안내 톤을 확인할 수 있습니다.
원문 검증
필요하면 원문 블로그와 병원 프로필로 바로 이동해 문맥을 다시 확인할 수 있습니다.
출처 아카이브 열기아카이브된 블로그 글
유펜바른치과의원 · Naver Blog
안녕하세요 ^^ 유펜바른치과입니다. 작년 2월경 연세가 85세 되시는 어르신께서 잠실새내역치과 바로 저희 유펜바른치과에 방문해주셨어요. '현재 사용중인 틀니가 너무 아픈데 임플란트로 할 수 없나요?' 연세가 여든이 넘으셨기에 현재 구강상태에서 여러개의 임플란트로 대체 하기는 쉽지 않았습니다. ㅠㅠ 엑스레이...
게시일
2022년 1월 18일
원문 기준으로 확인된 발행일입니다.
카테고리
일반치과 치료 이야기
원문 블로그 카테고리를 정리해 함께 표시합니다.
이미지 수
9
현재 아카이브에 연결된 이미지 수입니다.
아카이브 요약
유펜바른치과의원의 네이버 블로그 원문을 보존한 아카이브 페이지입니다. 일반치과 치료 이야기 카테고리의 연세가 엄청 많으신데도 전체 임플란트 수술이 가능하다구요? 글을 통해 병원의 한국어 정보 제공 방식과 진료 관련 안내 톤을 확인할 수 있습니다.
원문 검증
필요하면 원문 블로그와 병원 프로필로 바로 이동해 문맥을 다시 확인할 수 있습니다.
출처 아카이브 열기안녕하세요 ^^
유펜바른치과입니다.
작년 2월경
연세가 85세 되시는
어르신께서
잠실새내역치과
바로 저희 유펜바른치과에
방문해주셨어요.
'현재 사용중인 틀니가 너무 아픈데
임플란트로 할 수 없나요?'
연세가 여든이
넘으셨기에
현재 구강상태에서
여러개의
임플란트로 대체 하기는
쉽지 않았습니다.
ㅠㅠ

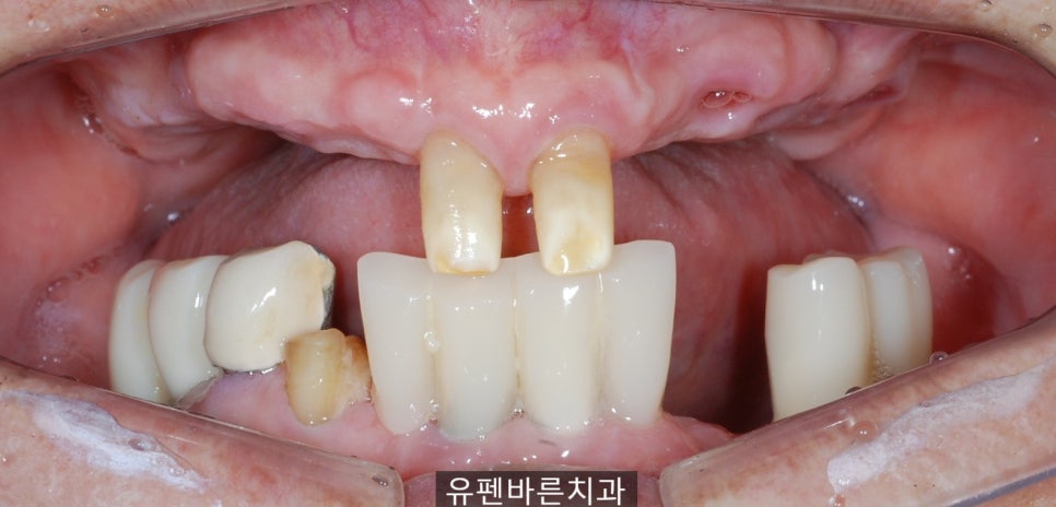
엑스레이 촬영 결과
교합이 맞지 않고,
왼쪽위의 브릿지는
흔들거리고
치아들이 정출되어
위 앞니가 내려와
아래 잇몸에 닿고 있는
상태셨어요,,,
남아있는 치아들 마저
보철물 안쪽으로
충치가 심해
발치를 해야 하는
상황이었습니다..
고령이신 데다가
임플란트를 여러개 하시기는
쉽지 않았는데요,,,

15년 이상의
풍부한 임플란트 경험과
특히 난이도 높은 수술 경험이 많으신
원장님께서는
환자분의 건강상태만
괜찮으시다면
충분히 가능하다고 하셨어요!
그리하여
현재 복용중이신 약과 전신병력등을
환자분의 내과주치의와
꼼꼼히 체크하고,
보호자분과 환자분의 동의를 구해
임플란트 수술을
시작하게
되었습니다 :)
먼저
잇몸 절개 후
뼈 상태가 양호한 곳에
임플란트 위치를 잡고
수술을 시작하셨는데요,
10개월에 걸쳐 진행된
임플란트
수술인 만큼
다들 궁금해 하실테니
전후 사진
바로 보여 드릴게요 :)


WOW~!!!
어메이징~!!!
상악에 6개, 하악에 8개
총 14개의
임플란트 수술을
잘 마쳤습니다.
임플란트들이
아주 예쁘게
잘 심어진 것 같죠?




잇몸에 닿았던 앞니가..
맞물리는 치아가 생기고,
무너져 있던 교합이
바로잡아지면서
환자분께서
식사를 잘 하실 수 있게
되셨어요 .
보호자분께서
오실때마다
커피도 사다 주시고..
항상 감사하다고 말씀해 주셨는데요,
긴 시간동안
저희를 믿고
긴 여정임에도 힘든티 내지 않으시고
내원해주신
환자분과 보호자님께
저희가 더더더 감사했습니다!!!
♥
잠실새내역임플란트
유펜바른치과 임플란트는
15년 이상의 대표원장님께서
풍부한 임상 노하우로
안전하고 정확한
임플란트 시술을 진행하고 있습니다.
잠실새내역치과
유펜바른치과에서
아름다운 미소와 함께
건강한 치아를
되찾아 보세요 :)
