UPenn Barun Dental Clinic - English-speaking U.S. Orthodontist & Dentist for Braces and Invisalign
해보니까 임플란트가 편해요!!!
안녕하세요 ^^ 잠실새내 치과 유펜바른치과 입니다. 어느새 따스한 바람이 불어오는 '가정의달' 5월이 성큼 찾아왔습니다. 아직은 일교차가 크니 모두 감기 조심하세요 :) '현재 위에 부분 틀니 사용중인데 .. 전체를 임플란트로 대체 할수 있나요?? 아래는 너무 편한데.. Initial Panorama 환...
아카이브 요약
이 페이지의 역할
UPenn Barun Dental Clinic - English-speaking U.S. Orthodontist & Dentist for Braces and Invisalign의 네이버 블로그 원문을 보존한 아카이브 페이지입니다. 일반치과 치료 이야기 카테고리의 해보니까 임플란트가 편해요!!! 글을 통해 병원의 한국어 정보 제공 방식과 진료 관련 안내 톤을 확인할 수 있습니다.
안녕하세요 ^^
잠실새내 치과
유펜바른치과 입니다.
어느새
따스한 바람이 불어오는
'가정의달' 5월이 성큼 찾아왔습니다.
아직은
일교차가 크니
모두 감기 조심하세요 :)
'현재 위에 부분 틀니 사용중인데 ..
전체를 임플란트로 대체 할수 있나요??
아래는 너무 편한데..

Initial Panorama
환자분께서는
기존 틀니의 고정력이 떨어져
식사 하기가 불편하셔서
아래 임플란트 하신것처럼
윗니를 전체 임플란트로 대체하고 싶어 하셨어요.
-
틀니를 오랜기간 사용 하셨고
-
뼈 높이가 일정하지 않은데다가
-
혈액관련 복용중인 약이 있으시면서
-
고령이셔서
쉽지 않은 시작이었습니다 ㅠ.ㅠ
그러나
원장님께서는
3차원적으로
뼈두께, 위치, 각도등을
확인할수 있는
CT 를 찍어보더시니
전체 잠실새내임플란트 치료가
가능하다고 하셨어요!
Yay~~~!!!

Initial EO Photo
환자분께서는
평소에
위에 틀니가 불편하셔서
착용을 잘 안하셨다고 해요.
ㅠ.ㅠ
얼른 위아래 활짝 웃는 모습을
선물해드리고 싶었어요.
15년 이상의
풍부한 임플란트 경험과
특히 난이도 높은 수술 경험이 많으신 원장님께서는
뼈의 높이, 잔존량, 두께등을
체크 하시면서
상악동 거상술을 병행하여
수술을 진행하셨습니다.


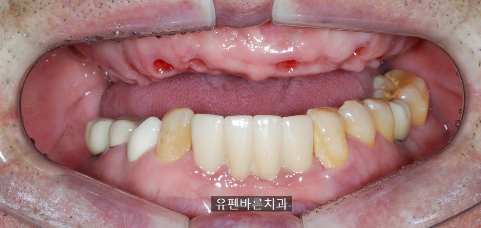
Before & After IO Photo
wow!!
2021년 10월에
첫 임플란트 수술이 시작되어
2022년 4월에
고정식 임플란트 치아들이 들어가면서
단 6개월만에
틀니를 뺐다 꼈다해야 하는 번거로움이
없어지셨어요. :)
임플란트의 식립 위치, 간격
잇몸 상태 등
수술은 성공적으로 마무리가 되었습니다
ㅎㅎ
역시 원장님!


Before & After IO Photos
위 아랫니의
보철이 모두 올라갔는데요,
활짝 웃으시는 모습 또한 기대가 됩니다!
두근두근

Extra-oral Photos at Rest

Extra-oral Smile Photos
상악 전체
잠실새내임플란트를 통해
저작기능을 완벽히 회복하시고,
입주변의 꺼진 근육도
되살아 나고
주름 또한 펴지면서
훨씬 더 젋어보이시는
모습입니다. :)
현재 잠실새내치과
유펜바른치과에서는
코로나 예방을 위해
환자분의 동선을 최소화 하고
지속적인 환기를 통해
코로나 방역에 힘쓰고 있습니다.



1인1기구및 블루 테입을 통한 교차 감염 방지 시스템
코로나로 걱정이 많으신 분들
환기되는 치과를 찾으시는 분들은
잠실새내치과
유펜바른치과에서
아름다움 미소와 함께
건강한 치아를 되찾아보세요 :)
더 보기
이 병원의 공개 콘텐츠를 계속 살펴보세요
출처 아카이브로 돌아가 더 많은 글을 보거나, 병원 프로필로 이동해 다른 공개 채널도 함께 비교해보세요.