UPenn Barun Dental Clinic - English-speaking U.S. Orthodontist & Dentist for Braces and Invisalign
아이가 반대교합(주걱턱)인데 1차교정을 꼭해야 하나요?
안녕하세요 ^^ 잠실새내치과 유펜바른치과입니다. 아이가 만 6세인데 앞니가 반대로 물려요 1차교정을 꼭 해야 하나요? 영유아 구강검진에서 반대교합이 있다는 얘기를 듣기도 하시고, 턱이 점점 나오는것 같다고 느끼셔서 어머님께서 걱정이 되셨는지 만6세 남아의 반대교합을 개선하기 위해 1차교정을 시작하...
아카이브 요약
이 페이지의 역할
UPenn Barun Dental Clinic - English-speaking U.S. Orthodontist & Dentist for Braces and Invisalign의 네이버 블로그 원문을 보존한 아카이브 페이지입니다. 유펜바른치과 이야기 카테고리의 아이가 반대교합(주걱턱)인데 1차교정을 꼭해야 하나요? 글을 통해 병원의 한국어 정보 제공 방식과 진료 관련 안내 톤을 확인할 수 있습니다.

안녕하세요 ^^
잠실새내치과
유펜바른치과입니다.
아이가 만 6세인데 앞니가 반대로 물려요
1차교정을 꼭 해야 하나요?


영유아 구강검진에서
반대교합이 있다는 얘기를 듣기도 하시고,
턱이 점점 나오는것 같다고 느끼셔서
어머님께서 걱정이 되셨는지
만6세 남아의
반대교합을 개선하기 위해
1차교정을 시작하셨어요 :)

먼저 교정 시작을 위해
옆모습 엑스레이를 찍어보니
위, 아랫니의 앞니와
안쪽에 6세 어금니가
반대로 교합이 되는 상황 이었습니다
'앞니2개만 앞으로 밀어내면 되는것 아닌가요?'
궁금해 하시는 부모님들도 많이 계시지만
어린이 반대교합(주걱턱) 교정치료에서
고려해야 할것이
몇가지 있습니다.
-
골격적으로 위턱과 아래턱의 불균형이 있을때
-
턱위치는 정상이나 치아의 배열이나 위치에 문제가 있을때
-
습관적으로 혀를 앞으로 내밀거나, 구호흡, 아래턱을 내미는 습관등이 있는 경우
등을 고려 하여 1차교정을
시작하시는것이 좋은데요 :)

주걱턱 경향이 있는 이 친구처럼
골격적으로 문제가 있다면
1차교정을 통해
상대적으로 좁은 위턱을
확장시켜 위아래 턱의 조화를
이루게 하는것이 중요합니다.
반대교합은
- 치아 및 주위 치조골 2) 턱관절 기능
3)잇몸에도
좋지 않은 영향을 줄 수 있으므로,
우리 아이의 올바른 성장을
유도하기 위해
발견 즉시
교정 치료를 통해
반대교합을 개선
시켜 주는것이 무엇보다
중요합니다!
그렇지 않으면
성인이 된 후 교정 치료만으로
개선하기 어려워
양악 수술까지 고려해야 하는
상황까지 올 수 있어요.
그렇다면 소아 교정은 어떻게 진행이 될까요?
반대교합이 있는 이 6세 남아의 경우에는
양쪽 어금니에
악궁확장장치를 고정시키고
앞니 4개, 어금니 2개에만 브라켓을 붙여
교정하는 방식으로 진행 되었습니다.


또한
이 아이의 경우
오른쪽 위의 첫번째 영구치가
앞 유치에 걸려
맹출이 잘 되지 못하고 있었는데요,
halterman 이라는 장치를 통해
어금니의 올바른 맹출을
함께 유도해 주었습니다 :)



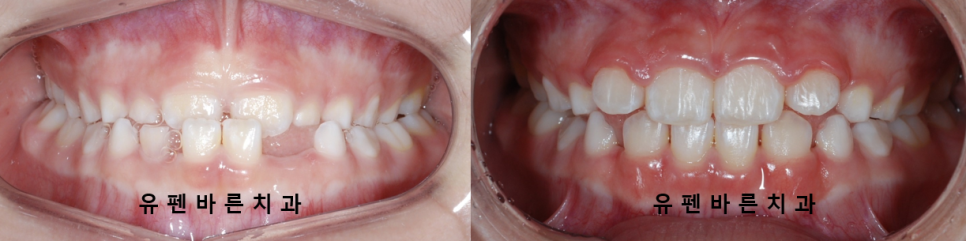
1차 교정 (소아교정)을 통해
반대교합을 해결하여
올바른 성장과 함께
안모 또한 개선된 모습을
확인 해 보실 수 있습니다 :)
이처럼
어린이 반대 교합이 있거나
유치에 걸려 영구치가 올바르게 맹출되지 못하고 있는 경우
잠실교정치과
유펜바른치과에서
교정을 시작해보세요 :)

더 보기
이 병원의 공개 콘텐츠를 계속 살펴보세요
출처 아카이브로 돌아가 더 많은 글을 보거나, 병원 프로필로 이동해 다른 공개 채널도 함께 비교해보세요.