아카이브 요약
이 페이지의 역할
유펜바른치과의원의 네이버 블로그 원문을 보존한 아카이브 페이지입니다. 치아교정 이야기 카테고리의 저도 친구들이 많이 하는 인비절라인교정 하고싶어요! 글을 통해 병원의 한국어 정보 제공 방식과 진료 관련 안내 톤을 확인할 수 있습니다.
원문 검증
필요하면 원문 블로그와 병원 프로필로 바로 이동해 문맥을 다시 확인할 수 있습니다.
출처 아카이브 열기아카이브된 블로그 글
유펜바른치과의원 · Naver Blog
HELLO ^^0 #잠실새내치과 #잠실새내교정치과 유펜바른치과입니다 :) 요즘 날씨가 엄청 추운데 따뜻한 연말 잘 보내고 계신가요? 지난주에 아이가 넘어졌는데 치아가 앞으로 많이 튀어나와 있어서 앞니가 부러졌어요.. 깨진 앞니를 일단 레진으로 떼우기는 했는데.. 치아 자체가 앞으로 튀어나와 있어서 걱정이 되신다며...
게시일
2022년 12월 16일
원문 기준으로 확인된 발행일입니다.
카테고리
치아교정 이야기
원문 블로그 카테고리를 정리해 함께 표시합니다.
이미지 수
14
현재 아카이브에 연결된 이미지 수입니다.
아카이브 요약
유펜바른치과의원의 네이버 블로그 원문을 보존한 아카이브 페이지입니다. 치아교정 이야기 카테고리의 저도 친구들이 많이 하는 인비절라인교정 하고싶어요! 글을 통해 병원의 한국어 정보 제공 방식과 진료 관련 안내 톤을 확인할 수 있습니다.
원문 검증
필요하면 원문 블로그와 병원 프로필로 바로 이동해 문맥을 다시 확인할 수 있습니다.
출처 아카이브 열기
HELLO ^^0
#잠실새내치과
#잠실새내교정치과
유펜바른치과입니다 :)
요즘 날씨가 엄청 추운데
따뜻한 연말 잘 보내고
계신가요?
지난주에 아이가 넘어졌는데
치아가 앞으로 많이 튀어나와 있어서
앞니가 부러졌어요..
깨진 앞니를
일단 레진으로 떼우기는 했는데..
치아 자체가 앞으로 튀어나와 있어서
걱정이 되신다며
만8세 여아와 어머니께서 함께
교정상담을 받으러
내원해주셨어요

정밀진단을 해보니
윗니와 아랫니 사이의
간격이 매우 큰
과도한 수평피개 교합과
치아가 너무 깊게 물리는 과개교합
상태였습니다
앞니가 유독 많이 나와 있어서
넘어지면 다치기 쉬운 상태였어요 ㅠ_ㅠ
수평피개 교합이란?
윗니와 아랫니 사이의 거리를 뜻하며
정상은 2~3mm이고,
4~5mm 이상이 되면
개방교합이나 돌출입일 가능성이 높고
외상에 의해 치아가 손상될 확률이
현저히 높아지게 됩니다.

정밀교정진단결과
만8세 여아의
수평피개는 수치로 8.58mm이며
정상2~3mm에 비해 상당히 컸습니다.

아랫니가
윗니의 치아가 아닌
입.천.장.과 닿고있는 상태였죠.
지난번 다룬
'과개 교합'과 마찬가지로
앞니가 많이 튀어나와 있기때문에
정상교합이 힘들고
잇몸퇴축, 뿌리 흡수 등
치아 수명이 단축
될수 있습니다.
그래서
유펜바른치과에서
#투명교정장치
#인비절라인퍼스트 로
#인비절라인소아교정 을
진행하게 되었는데요

인비절라인퍼스트 (=인비절라인1차교정)란
성장과정에 있는 6-10세 아이들에 특화된
인비절라인 장치입니다.
아이들의 유치와 영구치에
딱! 맞게 제작되어
탈착이 가능하여 양치가 용이해 충치 가능성이 비교적 낮습니다.
격한 움직임이나 운동에도 위험이 적고 세척이 쉬워 관리가 용이 합니다.
5일~7일에 한번씩 새로운 장치를 착용하게 되므로 위생적입니다.
(다만 식사를 할때나 양치를 할때는 제외하고 착용해 주셔야합니다.)
혼합치열기에 성장 부조화로 생긴 부정교합을 개선시킬 수 있습니다
성인이 되었을때 2차교정의 가능성을 낮춥니다
영구치 맹출 공간을 확보 할수 있을뿐만 아니라
악궁을 확장시켜 발치 가능성을 낮출 수 있습니다.


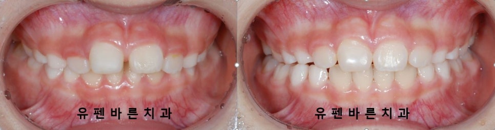
치료기간 4개월
인비절라인퍼스트를 통해
앞으로 튀어나온 윗니의 각도를 개선시키고
적은 통증과 적은 이물감으로
상하악 교합관계를 올바르게 유도해주며


tx time 4 months
클린체크 를 보시면
윗니가 뒤로 들어가면서
윗니와 아랫니의 간격이
점점 줄어드는
모습을 확인해 볼 수 있습니다.
아랫니도 살짝 함입되면서
깊게 물리던 앞니들도
많이 개선되었네요. :)
정면과 측면 모두
클린체크의 예상대로
치아들이 바르게
자리잡았어요♡
치아교정의 본고장 미국에서
ABO 미국 치과교정과전문의를
취득하신 김승우 원장님께서는
다양한 환자분들의 증례를
환자분들 개개인의 치아상태에 맞게
customize 합니다

유독
튀어 나와있어
외상을 입기 쉬운
구조였던 치아가
#인비절라인1차교정 을 통해
바르게 자리 잡고

Making difference in 4 months
입을 편하게 다물었을때도
튀어나와 있던 앞니가 들어가면서
자연스럽고
입술을 편하게 다물수 있는 입모습을
되찾았습니다.

추운겨울,
아이들에게
인비절라인과 함께
따듯한 미소를 선물해주는건
어떠실까요?
김승우 대표원장은
미국 아이비리그 명문 UPenn 치대 졸업,
뉴욕 Albert Einstein 의대 부속병원
몬테피오레 메디컬 센터(Montefiore Medical Center)에서
3년간 정식 교정과 수련을 마친
ABO 미국 치과교정과 전문의 (Diplomate of the American Board of Orthodontics, ABO) 입니다.
ABO는 국내 단 13명 (2022년 2월 기준)으로, 유펜바른치과에서 그 치료를 경험해 보실 수 있습니다.
유펜바른치과에서는 치아교정, 인비절라인교정, 일반진료, 임플란트 및 소아치과 전문의의 협진으로 어린이 진료까지 가능합니다.
유펜바른치과에서
아름다운 미소를
되찾아보세요 :)

