아카이브 요약
이 페이지의 역할
유펜바른치과의원의 네이버 블로그 원문을 보존한 아카이브 페이지입니다. 치아교정 이야기 카테고리의 나스닥에 상장한 인비절라인, 잠실투명교정 잠실인비절라인 후기와 치아미백이 궁금하다면? 글을 통해 병원의 한국어 정보 제공 방식과 진료 관련 안내 톤을 확인할 수 있습니다.
원문 검증
필요하면 원문 블로그와 병원 프로필로 바로 이동해 문맥을 다시 확인할 수 있습니다.
출처 아카이브 열기아카이브된 블로그 글
유펜바른치과의원 · Naver Blog
HELLO ^^ #잠실새내치과 #잠실새내교정치과 #잠실새내인비절라인 Upenn Barun Dental Clinic Where Every Smile is Beautiful 유펜바른치과입니다 :) 3급 부정교합, 앞니 반대교합, 치아총생, 외상성교합 이것 알고 계셨나요? 이전에 교정치료를 받은 경험이 없는 18-30세의...
게시일
2023년 1월 28일
원문 기준으로 확인된 발행일입니다.
카테고리
치아교정 이야기
원문 블로그 카테고리를 정리해 함께 표시합니다.
이미지 수
21
현재 아카이브에 연결된 이미지 수입니다.
아카이브 요약
유펜바른치과의원의 네이버 블로그 원문을 보존한 아카이브 페이지입니다. 치아교정 이야기 카테고리의 나스닥에 상장한 인비절라인, 잠실투명교정 잠실인비절라인 후기와 치아미백이 궁금하다면? 글을 통해 병원의 한국어 정보 제공 방식과 진료 관련 안내 톤을 확인할 수 있습니다.
원문 검증
필요하면 원문 블로그와 병원 프로필로 바로 이동해 문맥을 다시 확인할 수 있습니다.
출처 아카이브 열기
HELLO ^^
#잠실새내치과
#잠실새내교정치과
#잠실새내인비절라인
Upenn Barun Dental Clinic
Where Every Smile is Beautiful
유펜바른치과입니다 :)

3급 부정교합, 앞니 반대교합, 치아총생, 외상성교합
이것 알고 계셨나요?
이전에 교정치료를 받은 경험이 없는
18-30세의 한국인을 대상으로 진행된 연구 결과,
본인의 치아가
심미적으로 만족스러운가요?
연구결과 출처: 인비절라인
라는 질문에 대해 No 라고 대답한 비율은
64.3% 나 된다고 합니다.
치아교정은 치열의 부조화를 기능적, 심미적으로 개선하기 위한 치료로서,
치아건강과 배열은 외적인 요소에 큰 영향을 끼칩니다.

그렇다면
삐뚤빼뚤한 나의 치아를
가지런하게 하고 활짝 웃게 해주는
최첨단 글로벌 투명교정장치 인비절라인은
어떠한 변화를 보여줄까요?

Treatment Time 2020.11 - 2022.5
사진의 환자분께서는 해외 출장이 많으셔서
매달 내원할 필요 없이 스케줄에 맞추어 내원이 가능한 인비절라인으로 진행하셨습니다. 진행중에는 통증이 적고 위생적이면서도 심미적으로도 뛰어나 굉장히 만족해 하셨고 결국 따님에게도 인비절라인을 추천해주셔서 따님도 인비절라인을 같이 진행하고계십니다 ㅎㅎ
(현재는 따님의 친구분도 인비절라인으로 교정 진행중이랍니다 ♥ 소개가 유독 많은 치과는 이유가 있겠죠?? ^^)
환자분께서는
인비절라인 중에서도
부정교합이 비교적 심해 보다 많은 인비절라인 장치가 필요한 경우에 적용되는
Comprehensive option 을 선택한 환자분으로 세번의 클린체크를 통해
약 1년 6개월동안 교정치료를 진행하셨습니다.
첫번째 클린체크

초진 정면 사진


1st ClinCheck
클린체크란?
치아를 스캔하고난 후 예측되는 치아의 이동을 여러 단계에 걸쳐 나타내는
시뮬레이션 입니다.
첫번째 클린체크는 총 23개의 장치로
악궁이 점점 확장되면서 삐뚤빼뚤했던 치열들이 가지런하게 배열되고,
윗니 아랫니 사이의 공간이 점점 닫히며,
반대교합이 개선되면서 정상적인 교합으로
변하고 있는 모습을 확인해 보실 수 있습니다 ^^
두번째 클린체크

23개의 인비절라인 장치 완료 후 치아상태, 치료기간 6개월


위 사진은 처음 23개의 장치를 모두 마친후의 사진인데요.
환자분께서는 첫번째 클린체크를 마치고 너무 만족해하셔서 여기서 교정 끝내도 될것 같다고 하셨어요 ㅎㅎ
But!!
완벽함을 추구하는 유펜바른치과 김승우 원장님께서는
보다 세심한 마무리를 위해 한번 더 클린체크를 진행해주셨습니다 ㅎㅎ
인비절라인의 효과는 저희가 봐도 정말 놀라울때가 많습니다.
처음 저희병원에 내원해 주셨을때보다 눈에 띄게 부정교합이 개선되고
웃으실때 도드라져 보이던 덧니도
제 위치를 찾으며 자연스러운 미소를 지어주셨어요. :)
마지막 클린체크



좀더 섬세한 작업을 통해 정중선이 일치하도록 마무리를 해드렸습니다 ^^
전체적으로 위 아랫니들이 제 위치를 찾으며 정리가 된것 같습니다.
클린체크의 예상대로 교정 마무리가 잘 되었어요^^
그리고 치아가 한층더 밝아진것 보이시나요??
세번째 클린체크를 완료하고 나서는 미백치료와 함께 마무리되었습니다 ><
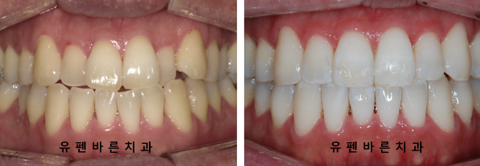
전 후 사진 함께 감상해보세요~!

Treatment Time 2020.11 - 2022.5
WOW~!
윗니와 아랫니 사이의 틈이 사라지고,
윗니를 덮고 있던 아랫니들이 제 위치를 찾으며 부정교합이 개선되었을 뿐만 아니라
정중앙선이 일치하도록 마무리 해드렸습니다 :)
교정완료 후엔 전문가미백치료로 치아들이 한층 더 밝아진 모습입니다.
(유펜바른치과가 미백맛집이기도 합니다 헤헤^^)


Treatment Time 2020.11 - 2022.5
윗니 아랫니의 교합면 전,후 사진입니다.
악궁이 좁아 삐뚤빼뚤했던 치열이 인비절라인을 통해 악궁이 확장되면서 제위치를 찾아갔어요. 외상성 교합이 있던 앞니들도 심미적, 기능적으로도 개선이 되었는데요.
치아는 심미적인 부분에서도 중요한 역할을 하지만 음식물 저작과 발음에도 중요한 영향을 미칩니다. 인비절라인으로 교정 후 앞니 사이에 틈이 줄어들면서 발음이 개선되고 구강 내 각자의 역할을 조화롭게 도와드려 기능적인 부분을 회복 하실 수 있었어요 :)
특히 환자분께서는 가지런해진 치아들도 만족하지만,
교정치료전 오른쪽으로만 씹던 저작습관이
이제 오른쪽과 왼쪽 양쪽으로 편하게 씹을 수 있게 된 것에 대해
더욱 만족한다고 말씀해 주셨어요!
인비절라인은 스마트 테크놀로지로 치아이동의 예측성을 높일 수 있는 기술력을 개발하여,
반대교합의 개선, 발치교정, 비발치교정, 과개교합, 개방교합, 수술교정 등 다양한 복합케이스에 적용이 가능하도록 설계 되었습니다.

Treatment Time 2020.11 - 2022.5
교정 전 후의 극명한 차이 보이시나요?
인비절라인을 통해 초기 임상 상태부터 치료를 마친 최종 교합상태까지 모든 치료단계를 시뮬레이션 하고, 0.1mm의 미세한 움직임까지 3D로 컨트롤이 가능한 인비절라인으로 세번의 클린체크를 거쳐 마무리를 해드렸습니다.
교정이 마무리 된 후에는 치아의 틀어짐을 방지하고 최상의 교정상태를 유지하도록 안쪽에 고정성 유지장치도 붙여드렸어요 :)

교정전의 환자분께서는 3급 부정교합으로 아래쪽 치열들에 의해 아랫입술이 윗입술에 비해 튀어나와 있었는데요,
교정후에는 교합이 바르게 개선되면서 아랫입술이 제 위치를 찾고, 보다 균형적인 안모를 확인해 보실 수 있습니다.

치아 교정을 통한 심리적인 영향은 다양한 측면에서 긍정적인 결과를 나타낸다고 합니다.
2022년 인비절라인 플래티넘등급을 받은 유펜바른치과에서는 환자분들의 아름다운 미소를 함께 되찾아드리기 위해 노력합니다. 2022년 기준 인비절라인 플래티넘등급 이상을 달성한 치과는 수많은 강남구, 송파구 치과를 통틀어 단 15곳에 불과합니다. 앞으로도 Invisalign Platinum Provider에 걸맞은 전문적인 교정치료를 위해 연구하고 노력하겠습니다.
김승우 대표원장은
미국 아이비리그 명문 UPenn 치대 졸업,
뉴욕 Albert Einstein 의대 부속병원
몬테피오레 메디컬 센터(Montefiore Medical Center)에서
3년간 정식 교정과 수련을 마친
ABO 미국 치과교정과 전문의 (Diplomate of the American Board of Orthodontics, ABO) 입니다.
ABO는 국내 단 13명 (2022년 2월 기준)으로, 유펜바른치과에서 그 치료를 경험해 보실 수 있습니다.
유펜바른치과에서는 치아교정, 인비절라인교정, 일반진료, 임플란트 및 소아치과 전문의의 협진으로 어린이 진료까지 가능합니다.


위 사진들은 환자분의 동의하에 포스팅을 진행하였습니다