아카이브 요약
이 페이지의 역할
유펜바른치과의원의 네이버 블로그 원문을 보존한 아카이브 페이지입니다. 치아교정 이야기 카테고리의 예전에 교정했는데 앞니가 뻐드러져서 컴플렉스에요! ( 비발치교정 인비절라인으로 재교정 해볼까요?) 글을 통해 병원의 한국어 정보 제공 방식과 진료 관련 안내 톤을 확인할 수 있습니다.
원문 검증
필요하면 원문 블로그와 병원 프로필로 바로 이동해 문맥을 다시 확인할 수 있습니다.
출처 아카이브 열기아카이브된 블로그 글
유펜바른치과의원 · Naver Blog
안녕하세요^^ #잠실새내교정치과 #잠실인비절라인 #송파인비절라인 유펜바른치과입니다. "예전에 교정했는데 치아가 뻐드러져서 너무 스트레스에요. 재교정하고 싶어요. 타치과에서는 발치해야 될수도 있대요." 잠실새내교정치과 유펜바른치과에서는 먼저 교정치료의 정밀진단을 위해 최신 디지털 스캐너 아이테로로 3D 스캔을 진행해 보았어...
게시일
2023년 1월 31일
원문 기준으로 확인된 발행일입니다.
카테고리
치아교정 이야기
원문 블로그 카테고리를 정리해 함께 표시합니다.
이미지 수
14
현재 아카이브에 연결된 이미지 수입니다.
아카이브 요약
유펜바른치과의원의 네이버 블로그 원문을 보존한 아카이브 페이지입니다. 치아교정 이야기 카테고리의 예전에 교정했는데 앞니가 뻐드러져서 컴플렉스에요! ( 비발치교정 인비절라인으로 재교정 해볼까요?) 글을 통해 병원의 한국어 정보 제공 방식과 진료 관련 안내 톤을 확인할 수 있습니다.
원문 검증
필요하면 원문 블로그와 병원 프로필로 바로 이동해 문맥을 다시 확인할 수 있습니다.
출처 아카이브 열기
안녕하세요^^
#잠실새내교정치과
#잠실인비절라인
#송파인비절라인
유펜바른치과입니다.
"예전에 교정했는데 치아가 뻐드러져서 너무 스트레스에요.
재교정하고 싶어요.
타치과에서는 발치해야 될수도 있대요."

잠실새내교정치과 유펜바른치과에서는
먼저 교정치료의 정밀진단을 위해 최신 디지털 스캐너 아이테로로
3D 스캔을 진행해 보았어요.
스캔을 해보니
윗니가 아랫니에 비해 꽤 뻐드러져 있었는데요,

위 사진은 위 아래치아들이 교합되는 치아면을
spot 으로 표시해 확인해 볼수 있는 사진입니다.
( 빨간색 점은 특히나 더 많이 닿을때 나타나는 색입니다 )
Spot들을 살펴 보니
윗니와 아랫니의 일부분이
서로 과하게 맞닿고 있었습니다.


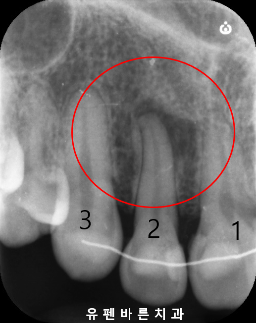
엑스레이를 찍어보니
특정적으로 많이 닿고 있는 부분에
뿌리 끝 염증이 생겨 있었어요 T_T
오른쪽 사진의 2번치아 보이시나요?
더 자세히 살펴보기 위해 작은 엑스레이를 찍어보았더니
눈에띄게 뿌리끝이 검은색 염증으로 둘러쌓여 있네요.

유펜바른치과에서는
염증을 없애기 위해 신경치료를 먼저 진행하고,
뻐드러진 앞니 치아와 맞닿는 부위를 인비절라인을 통해 개선할 수 있도록 진행해 드렸어요.
신경료를 마치고 나니
확연히 염증의 크기가 줄어들었습니다^^
교정뿐만 아니라 일반진료까지 완벽하게 하는 닥터킴의 능력은 대체 어디까지? ㅎㅎ
이제 염증도 줄이고 신경료를 마쳤으니
인비절라인라이트 옵션을 통해 각도를 개선시킬 일만 남았습니다!!
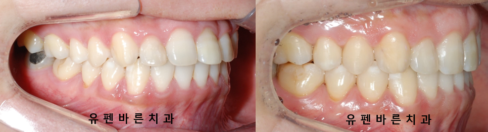
과연 어떻게 변화되었을까요?

WOW~!
인비절라인 라이트로 단 28개의 장치를 통해 앞니의 뻐드러진 각도가
많이 개선되었습니다!

좁았던 악궁이 점점 확장되면서
뻐드러져 있던 앞니들이 안쪽으로 들어가고
맞닿고 있던 위아래 치아들이 제 위치를 찾았을 뿐만 아니라
입이 살짝 들어가 보이는 효과까지 얻을 수 있었습니다.


인비절라인을 통해 앞니의 접촉면을 최소화 하면서
치아의 심미적인 요소 뿐만 아니라 기능적인 요소 또한 개선시킬 수 있었어요. :)
인비절라인라이트 (Invisalign Lite) 옵션은
인비절라인컴프리헨시브 (Invisalign Comprehensive)옵션까지
쓸 필요는 없는
"심하지 않은 부정교합"
증례에 쓸 수 있습니다.
총 14개 (+추가 14개)
총 28개의 장치를 통해
교정을 마무리 할수 있는
기간도 비교적 짧으며
비용도 다소 저렴한 것이
장점인 인비절라인 옵션입니다.
일반철사교정에서의
앞니부분교정으로 해결할 수 있는
대부분의 증례에서
인비절라인라이트 옵션은
정말 좋은 선택이 될 수 있습니다.

치료기간 2022.4 - 2022.12
치아가 튀어나와 보이고, 입이 다소 나와보이는것을 고민으로 내원해주셨던 환자분께서는
타치과에서 '발치를 해야 각도 개선이 가능하다'고 하셨는데요.
잠실새내인비절라인 유펜바른치과에서 ' 발치 없이 ' 인비절라인교정을 통해 치아의 기능적인 문제 뿐만 아니라 심미적인 고민까지 모두 해결하셨습니다 ^^

치료기간 2022.4 - 2022.12
2022년 플래티넘 등급을 받은 유펜바른치과에서
아름다운 미소와 함께
행복한 봄맞이를 시작해보시는건 어떠실까요?
Smile Is The Prettiest Thing You Can Wear
김승우 대표원장은
미국 아이비리그 명문 UPenn 치대 졸업,
뉴욕 Albert Einstein 의대 부속병원
몬테피오레 메디컬 센터(Montefiore Medical Center)에서
3년간 정식 교정과 수련을 마친
ABO 미국 치과교정과 전문의 (Diplomate of the American Board of Orthodontics, ABO) 입니다.
ABO는 국내 단 13명 (2022년 2월 기준)으로, 유펜바른치과에서 그 치료를 경험해 보실 수 있습니다.
유펜바른치과에서는 치아교정, 인비절라인교정, 일반진료, 임플란트 및 보존과 전문의와 소아치과 전문의의 협진으로 어린이 진료까지 가능합니다.

