아카이브 요약
이 페이지의 역할
유펜바른치과의원의 네이버 블로그 원문을 보존한 아카이브 페이지입니다. 유펜바른치과 이야기 카테고리의 주걱턱교정, 수술교정, 양악수술도 잠실교정치과 유펜바른치과에서 글을 통해 병원의 한국어 정보 제공 방식과 진료 관련 안내 톤을 확인할 수 있습니다.
원문 검증
필요하면 원문 블로그와 병원 프로필로 바로 이동해 문맥을 다시 확인할 수 있습니다.
출처 아카이브 열기아카이브된 블로그 글
유펜바른치과의원 · Naver Blog
안녕하세요 잠실교정치과 유펜바른치과입니다 ^^ 지난주 인비절라인데이 플래티넘 시상식을 다녀오고 바쁜한주를 보냈어요 ^^ 잘 지내셨나요? 오늘은 주걱턱 환자분의 수술교정 실제 사례를 소개해드리려고 해요 :) 전후 사진과 함께 비발치 수술교정과정 함께 확인해 보실까요? 저 주걱턱을 고치고 싶은데 타치...
게시일
2023년 2월 27일
원문 기준으로 확인된 발행일입니다.
카테고리
유펜바른치과 이야기
원문 블로그 카테고리를 정리해 함께 표시합니다.
이미지 수
18
현재 아카이브에 연결된 이미지 수입니다.
아카이브 요약
유펜바른치과의원의 네이버 블로그 원문을 보존한 아카이브 페이지입니다. 유펜바른치과 이야기 카테고리의 주걱턱교정, 수술교정, 양악수술도 잠실교정치과 유펜바른치과에서 글을 통해 병원의 한국어 정보 제공 방식과 진료 관련 안내 톤을 확인할 수 있습니다.
원문 검증
필요하면 원문 블로그와 병원 프로필로 바로 이동해 문맥을 다시 확인할 수 있습니다.
출처 아카이브 열기
안녕하세요
잠실교정치과
유펜바른치과입니다 ^^
지난주 인비절라인데이 플래티넘 시상식을 다녀오고
바쁜한주를 보냈어요 ^^
잘 지내셨나요?
오늘은 주걱턱 환자분의 수술교정 실제 사례를 소개해드리려고 해요 :)
전후 사진과 함께 비발치 수술교정과정 함께 확인해 보실까요?
저 주걱턱을 고치고 싶은데
타치과에서는 양악수술이 필요하다고 했어요.
교정이랑 수술 같이 할수 있나요?
주걱턱이 정확히 무엇인가요?


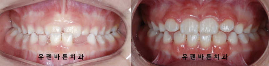
치료전 사진 (Severe Mandibular Prognathism)
주걱턱이란?
부정교합의 정도가 심해
아랫턱이 윗턱보다 상대적으로 앞으로 많이 나와있을때 불리는 말입니다.
부정교합은 크게
원인이 치아에 있을경우
골격적으로 악골의 형태나 위치 이상에 있는 경우
이렇게 두가지로 분류할수 있습니다.
▶원인이 치아에 있는 경우에는
턱의 위치는 양호하나 치아의 크기이상, 형태의 이상, 치아 자체가 제 위치에서 벗어난 경우로
대체적으로 교정치료로 개선시킬 수 있습니다.

치아에 원인이 있는경우 (치료기간 1년6개월)
▶원인이 골격에 있는 경우에는
위턱과 아래턱의 관계에 부조화가 있어 그 정도가 심한 경우, 교정치료와 함께 양악수술과 같은
외과적 수술을 병행해야 좋은 결과를 얻을 수 있습니다.
주로 주걱턱, 무턱, 안면비대칭이 이에 해당됩니다.

주걱턱은 꼭 수술을 해야 하나요?

어린이 반대교합의 경우
성장을 활용하여 발달하지 못한 부분은 성장을, 과도하게 발달한 부분은 억제를 도와주는 교정장치를 통해 반대교합을 개선시킬 수 있습니다.
어린이 반대교합교정 (1차교정) 을 시작하기에 앞서 아래와 같은 사항을 먼저 고려해보시는 것이 좋습니다.
골격적으로 위턱과 아래턱의 불균형이 있을때
턱의 위치는 정상이나 치아의 배열이나 위치에 문제가 있을때
습관적으로 혀를 앞으로 내밀거나, 구호흡, 아래턱을 내미는 습관 등이 있는 경우
어린이 1차교정 반대교합 교정 후기가 궁금하다면 아래 링크를 참고해주세요 :)
↓↓↓↓↓↓↓↓↓↓↓↓↓↓↓↓↓↓↓↓↓↓↓↓↓↓↓↓↓↓↓↓
하.지.만,
성인의 반대교합의 경우 턱뼈의 균형이 틀어진 골격적인 문제로 부정교합이 발생했을때
단순히 치아교정만으로는 원하는 결과를 얻기 어려울 수 있습니다.
얼굴 뼈 모양이 주걱턱인 경우 아래턱이 과도하게 자란 형태로 교정만으로는 뼈의 형태나 모양을 바꾸기 힘들기 때문에 아래턱 수술 또는 위턱과 아래턱을 같이 하는 양악 수술이 필요할 수도 있게 됩니다.

저희병원에 내원해 주신 환자분께서는 만 20세로
'위아래 앞니가 맞물리지 않아요' '턱이 틀어진것 같아요' '주걱턱이 있어요' 등의 고민으로 내원해주셨고,
타치과에서 '양악수술' 이 필요하다는 소견을 듣고 오셨고 교정치료시 수술적 방법을 충분히 고려하고 계신 상태였습니다.
결과적으로 잠실교정치과 유펜바른치과에서는 교정치료만으로 골격적인 문제를 해결하기 어렵다는 판단을 하였고
환자분의 동의하에 발치를 하지 않고 술전 교정을 1년 진행한 후 양악수술을 하는 계획으로 진행해드렸습니다.
양악수술과 교정은 어떻게 병행할 수 있나요?

치료기간 총 1년 4개월
선교정 후수술법은 전통적인 방법으로,
수술하기 전 교정치료을 통해 치아들을 수술하기에 적합한 위치로 먼저 이동시키고, 수술을 통해 턱뼈를 이동시켜서 골격의 부조화를 해결하는 방법입니다.

선 교정 후 수술법은 전통적인 방법으로 치아의 교합뿐만 아니라, 수술 후에는 턱관절의 이상적인 위치까지 충분히 고려하여 고정을 시켜주어야 합니다.
수술 후에는 환자분께서 회복이 충분히 된 후 마무리 교정치료에 들어갑니다.

유펜바른치과의 환자분께서는 교정을 시작하고 약 1년정도 후 양악수술을 진행하셨고 이후 술후 교정치료까지 치료기간은 총 1년 4개월 소요되셨습니다.
수술전의 교정치료는 수술 후 안정적으로 교합관계를 확보할 수 있을뿐만 아니라 턱뼈를 정확하게 이동시킬 수 있는 공간을 확보할 수 있는 장점이 있습니다. 수술 후 재 위치된 턱뼈와 치아간의 교합을 더욱 세밀하게 완성시켜주어 정상적인 저작기능을 회복할 수 있습니다.



총치료기간 1년 4개월

잠실양악수술 유펜바른치과는 경험이 풍부한 구강악안면외과 전문의들과 협진하여 이상적인 수술교정 방법과 최적의 수술시기를 판단합니다.

치료기간 총 1년 4개월

총 치료기간 1년4개월
양악수술의 필요 여부는 정확한 진단이 필요합니다. 주걱턱 등의 심한 골격적인 부조화가 있다면 수술을 통해 안모를 크게 개선시킬 수 있고 교정치료와 병행하여 부정교합을 개선하고 저작기능을 개선시켜줍니다.
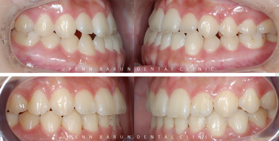
양악수술 및 교정 후 주걱턱이 크게 개선되었을 뿐만 아니라, 코 아래부터 턱끝까지의 길이가 짧아지면서 하안부에 시선이 집중되었던 이전과는 달리 전체적으로 조화로운 비율과 함께 비교적 동안 얼굴형으로 바뀌었습니다. 또한 턱끝이 다소 좌측으로 치우친 안면 비대칭도 있으셨는데 수술교정 후 전체적으로 대칭적으로 개선되었습니다.
환자분께서는 아래턱 전돌증으로 위와 아랫니가 맞물리지 않아 앞니로 식사하기가 힘들었던 이전과는 달리, 교정치료와 양악수술을 통해 심미적인 부분 뿐만 아니라 기능적으로 개선이 되어 환자분께서 굉장히 만족해 하셨습니다. ^^
환자분들을 보며 가장 뿌듯한 순간은 환자분의 고민을 덜어드리고 치아 건강과 함께 아름다운 미소까지 드릴수 있을때가 아닌가 싶습니다. ㅎㅎ^^
잠실교정치과
잠실교정잘하는치과
유펜바른치과에서
자신있는 미소를
되찾아 보세요 :)
UPenn Barun Dental Clinic
Where Every Smile is Beautiful
김승우 대표원장은
미국 아이비리그 명문 UPenn 치대 졸업,
뉴욕 Albert Einstein 의대 부속병원
몬테피오레 메디컬 센터(Montefiore Medical Center)에서
3년간 정식 교정과 수련을 마친
ABO 미국 치과교정과 전문의 (Diplomate of the American Board of Orthodontics, ABO) 입니다.
ABO는 국내 단 13명 (2022년 2월 기준)으로, 유펜바른치과에서 그 치료를 경험해 보실 수 있습니다.
유펜바른치과에서는 치아교정, 인비절라인교정, 일반진료, 임플란트 및 소아치과 전문의의 협진으로 어린이 진료까지 가능합니다.

