UPenn Barun Dental Clinic - English-speaking U.S. Orthodontist & Dentist for Braces and Invisalign
잠실데이몬교정, 비발치교정, 잠실덧니교정 (AKA Damon Smile)
2022년 유펜바른치과 인비절라인 플래티넘 프로바이더 획득! 안녕하세요 잠실새내교정치과 유펜바른치과 입니다 ^^ 예전에 때워놓은 앞니가 부러졌어요 . 씌우지 않고 교정치료 할 수 있을까요? 위의 주소로 내원해주신 환자분께서는 부러진 앞니치료와 함께 교정치료를 하고 싶어하셨는데요 교정치료 전 엑스레이 촬영 결과 앞니...
아카이브 요약
이 페이지의 역할
UPenn Barun Dental Clinic - English-speaking U.S. Orthodontist & Dentist for Braces and Invisalign의 네이버 블로그 원문을 보존한 아카이브 페이지입니다. 유펜바른치과 이야기 카테고리의 잠실데이몬교정, 비발치교정, 잠실덧니교정 (AKA Damon Smile) 글을 통해 병원의 한국어 정보 제공 방식과 진료 관련 안내 톤을 확인할 수 있습니다.

2022년 유펜바른치과 인비절라인 플래티넘 프로바이더 획득!

안녕하세요
잠실새내교정치과
유펜바른치과 입니다 ^^
예전에 때워놓은 앞니가 부러졌어요 .
씌우지 않고
교정치료 할 수 있을까요?

위의 주소로 내원해주신 환자분께서는 부러진 앞니치료와 함께 교정치료를 하고 싶어하셨는데요
교정치료 전 엑스레이 촬영 결과
앞니 사이사이에 충치가 있을뿐만 아니라
위앞니가 부러져 있는 상태였어요 ㅠㅠ
5년전에 떼웠던 부위 이기도 하고 범위가 워낙 커서
타치과에서는
'신경치료 후 씌워야 한다' 는 얘기를 듣고 오셨는데요 T^T

충치와 파절된 부위가 생각보다 커서
신경치료의 가능성이 높았지만
교정치료 전에
'신경치료를 하지 않고 ' 보존적으로 레진치료로 마무리 해드렸습니다.
교정치료뿐만 아니라 충치치료까지 세심하게 마무리 해주시는 닥터킴~!

교정치료전이나 치료중, 혹은 완료 후
충치치료가 필요할 경우 한 원장님께 진료를 받을 수 있는것이
유펜바른치과의 큰 장점입니다~!
유펜바른치과에서 평생 주치의를 만나야 하는 이유!!
눈치채셨나요??ㅎㅎ



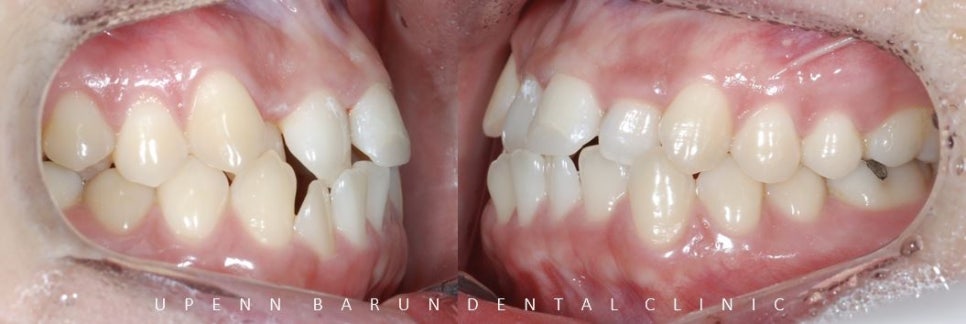
환자분께서는 앞니가 거꾸로 물리는 반대교합이 있고
앞니가 치아끼리 맞물려
구조적으로 앞니가 깨지기 쉬운 상태셨습니다 T^T
치아가 모두 고르게 펴질수 있는 공간이 협소해서
발치교정도 생각해 볼수 있었으나,
환자의 안모 등 여러가지 사안들을 고려해서
비발치 교정에 적합한 '데이몬교정장치' 로 잠실치아교정을 진행했습니다.
데이몬 클리어 교정장치는
교정장치로 워낙 유명한 미국 Ormco사의
'자가 결찰 방식' 으로 치아와의 마찰력이 적고 적은 힘이 일정하게 지속되어
비교적 통증이 적고 심미적인 것이 장점입니다.

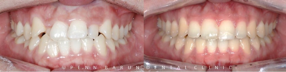
앞니 충치치료와 , 어금니 충치치료 후 교정치료가 완료된 사진입니다
악궁 확장 기능에 탁월한 데이몬 클리어 교정장치를 통해
발치를 하지 않고 비발치교정으로 약 1년 8개월의 기간동안 진행 해드렸습니다 ^^
위, 아래 앞니가 정확히 맞물리지 않았던 이전과는 달리
입천장쪽으로 쏙 들어가 있던 위앞니가 제 자리를 찾으며
치아들이 가지런히 펴졌는데요 ^^


앞니의 높이와 모양이 불규칙하고
잇몸선이 삐뚤삐뚤해 치아의 잇몸 라인이 고르지 못했던 이전과는 달리
통증이 적은 레이저를 이용한 간단한 잇몸 성형을 통해 과도한 치은의 노출을 개선시켜 웃을때 가지런하며 시원한 느낌을 받을 수 있습니다 ^^
윗 앞니들의 아랫부분을 연결한 곡선이 아랫입술의 곡선과 평행을 이루어
예쁜 Smile Arc를 그립니다. 이것이 웃을때 더 예쁜 데이몬교정의 특징, Damon Smile 입니다.
- 레이저 잇몸성형이란?
국소마취 하에 시술시간 10분 정도의 짧은 치료로 잇몸을 가볍게 정리하고 다듬는 정도라 통증은 거의 없는것이 장점입니다.
유펜바른치과 김승우 원장님께서는
치아교정의 본고장 미국 뉴욕에서 ABO 미국 치과교정과전문의를 취득하고 수많은 경험과 증례를 통해 환자 개개인의 맞는 섬세한 치료계획을 토대로 교정치료를 진행 해 주십니다.
환자분께서는 잠실새내교정치과 유펜바른치과 에서
충치치료와 교정치료를 통해 치아의 심미적인 문제 뿐만 아니라
기능적인 고민까지 모두 해결하셨습니다 ^^

그럼,
여러분들도
유펜바른치과에서
...
데이몬교정과 함께
아름다운 미소를
되찾아 보세요 ^^
Smile Is The Prettiest Thing You Can Wear
| |
김승우 대표원장은
미국 아이비리그 명문 UPenn 치대 졸업,
뉴욕 Albert Einstein 의대 부속병원
몬테피오레 메디컬 센터(Montefiore Medical Center)에서
3년간 정식 교정과 수련을 마친
ABO 미국 치과교정과 전문의 (Diplomate of the American Board of Orthodontics, ABO) 입니다.
ABO는 국내 단 13명 (2022년 2월 기준)으로, 유펜바른치과에서 그 치료를 경험해 보실 수 있습니다.
유펜바른치과에서는 치아교정, 인비절라인교정, 일반진료, 임플란트 및 소아치과 전문의의 협진으로 어린이 진료까지 가능합니다.

| | | |
더 보기
이 병원의 공개 콘텐츠를 계속 살펴보세요
출처 아카이브로 돌아가 더 많은 글을 보거나, 병원 프로필로 이동해 다른 공개 채널도 함께 비교해보세요.