아카이브 요약
이 페이지의 역할
유펜바른치과의원의 네이버 블로그 원문을 보존한 아카이브 페이지입니다. 일반치과 치료 이야기 카테고리의 잠실새내역임플란트 잠실새내역치과 유펜바른치과에서 전체임플란트치료 ( 잠실임플란트후기 임플란트기간 전체임플란트) 글을 통해 병원의 한국어 정보 제공 방식과 진료 관련 안내 톤을 확인할 수 있습니다.
원문 검증
필요하면 원문 블로그와 병원 프로필로 바로 이동해 문맥을 다시 확인할 수 있습니다.
출처 아카이브 열기아카이브된 블로그 글
유펜바른치과의원 · Naver Blog
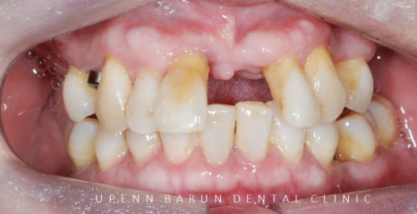
총 치료기간 1년4개월 (22/3/28~23/7/17) 안녕하세요 ^^ 잠실새내 임플란치과 유펜바른치과 입니다. 작년 3월경 60세 여성분께서 잠실새내역임플란트 유펜바른치과에 내원해주셨어요. 위에 치아들이 너무 많이 흔들리고 식사가 어려운데 틀니 말고 임플란트 가능한가요? 초진 정면사진 환자분께서는 현재 식사하기가 힘드...
게시일
2023년 7월 29일
원문 기준으로 확인된 발행일입니다.
카테고리
일반치과 치료 이야기
원문 블로그 카테고리를 정리해 함께 표시합니다.
이미지 수
17
현재 아카이브에 연결된 이미지 수입니다.
아카이브 요약
유펜바른치과의원의 네이버 블로그 원문을 보존한 아카이브 페이지입니다. 일반치과 치료 이야기 카테고리의 잠실새내역임플란트 잠실새내역치과 유펜바른치과에서 전체임플란트치료 ( 잠실임플란트후기 임플란트기간 전체임플란트) 글을 통해 병원의 한국어 정보 제공 방식과 진료 관련 안내 톤을 확인할 수 있습니다.
원문 검증
필요하면 원문 블로그와 병원 프로필로 바로 이동해 문맥을 다시 확인할 수 있습니다.
출처 아카이브 열기


총 치료기간 1년4개월 (22/3/28~23/7/17)
안녕하세요 ^^
잠실새내 임플란치과
유펜바른치과 입니다.
작년 3월경
60세 여성분께서
잠실새내역임플란트
유펜바른치과에 내원해주셨어요.
위에 치아들이 너무 많이 흔들리고
식사가 어려운데 틀니 말고
임플란트 가능한가요?

초진 정면사진
환자분께서는
현재 식사하기가 힘드신 상태로
윗니를 전체 임플란트를 하셔야 하는 상황인데다가
잠실과 해외를 왔다갔다 하시는
분이셨습니다.
내원횟수와 시간을 단축시켜 드리기 위해
전체 임플란트를 효율적으로 계획해야 했는데요 ^^


오른쪽 : 초진 파노라마
엑스레이와 함께 초진을 해보니
흔들리는 치아가 많이 있었으며
치주염으로 인해 치아들이 많이 정출되어 있었고,
어금니쪽에서 지지를 해 주지 못해
앞니끼리도 과도하게 맞물리고 있는 상태였습니다.
환자분이 경험하는 첫 임플란트 수술인데다가
적응기간없이 처음부터 치아를 여러개 발치하고
임플란트를 하면
환자분께서 무섭고 힘들것 같다고 하셔서
먼저 임플란트 2개를 식립하고
해외를 다녀오시고 나서 나머지
전체임플란트를 진행하기로 했습니다.


임플란트 2개 식립 후 구내사진
먼저 오른쪽 위, 왼쪽 아래에 총2개의 임플란트를
식립하셨습니다 ^^
16년 이상의 풍부한 임플란트 경험과
전체 임플란트 케이스 경험이 많으신 Dr. Kim께서는
수술 전 3D CT를 찍어 뼈의 높이, 두께, 각도 등을 체크하며
수술을 진행하십니다.

Periapical x-ray #14
유펜바른치과는
임플란트의 위치, 높이, 간격을 고려해
수술 중과 수술 후에도 작은 엑스레이를 통해
확인합니다 ^^
이처럼 더 안전하게 더 정확하게 잠실새내임플란트를 진행하고 있는데요
교정뿐만 아니라 임플란트도 유펜바른치과에서 해야하는 이유
눈치채셨나요? ㅎㅎ
한달뒤!!
드디어
환자분의 전체임플란트를 더 진행하기 위해
남아있는 흔들리는 치아들을 발치하고
추가로 상악에 임플란트를 6개 더 식립하였습니다 ^^
원장님께서는
잔존뼈를 활용하고 뼈이식을 최소화 하기 위해
수술 전, 중간 3D CT를 통해 임플란트를 하기 전
뼈의 두께가 안정적이고 식립하기에 가장 이상적인 위치를 확인합니다
임플란트 식립 후 파노라마 엑스레이를 찍어보니
안전하고 정확하게 식립이 되었고
3개월전 식립한 임플란트도 잘 되어있었습니다.



총 치료기간 1년4개월 (22/3/28~23/7/17)
1년뒤인 23년 7월
잘 고정된 임플란트의 본을 뜨고, 최종 보철물이 완성된 사진입니다.
교합이 무너져 있었던 이전과 달리
맞물리는 치아가 생기며 환자분께서
식사를 잘 하실 수 있게 되셨어요 ㅎㅎ
(오른쪽 아래 치아의 경우 상악 임플란트가 적응되는대로 곧이어 치료를 진행하시기로 하셨습니다^^)


총 치료기간 1년4개월 (22/3/28~23/7/17)
상악에 총 7개 임플란트를 통해
총 12개의 치아를 만들어 드렸는데요~!
임플란트를 효율적이고 정확한 위치에 심게 되면
치아의 갯수대로 전체 임플란트를 하지 않아도
임플란트끼리 연결하여 인공치아를 만들어 사용하실 수 있습니다.
환자분마다, 위치마다 뼈의 두께가 다르기 때문에
3D CT를 통해 정밀하게 판단 후에
어느 부위에 식립하는지에 따라서도
임플란트 성공에 중요한 요소중 하나입니다.

상악 전체 임플란트 완료 후 구외사진
16년 이상의 풍부한 임플란트 임상 경험과
풀케이스 환자 경험이 많은 잠실새내임플란트 유펜바른치과에서
저작기능을 회복하고
아름다운 미소를 선물해드렸습니다.
긴 여정임에도 힘든티 내지 않으시고
저희 치과를 믿고 맡겨주신
환자분과 보호자님께
다시 한번 감사드립니다!!!
UPenn Barun Dental Clinic
Where Every Smile is Beautiful
유펜바른치과에서는 치아교정, 인비절라인교정, 일반진료, 임플란트, 보존과전문의 및 소아치과 전문의의 협진으로 어린이 진료까지 가능합니다.
잠실새내역치과
유펜바른치과에서
아름다운 미소와 함께
건강한 치아를
되찾아 보세요 :)

