UPenn Barun Dental Clinic - English-speaking U.S. Orthodontist & Dentist for Braces and Invisalign
'웃을때 입을 자꾸 가려요' 활짝 웃은 중학생 비발치 인비절라인후기 (잠실새내인비절라인 청소년인비절라인 잠실교정치과)
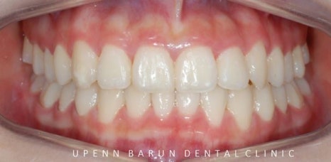
안녕하세요 유펜바른치과입니다 잘 지내셨나요? 오늘은 만14세 여중생의 인비절라인 전, 후 사례를 소개해 드리려고 해요^^ 치아건강과 배열은 외적인 요소에 큰 영향을 끼칩니다. 삐뚤빼뚤한 치열로 웃을때 고민이 많은 청소년기에 인비절라인은 어떤 변화를 보여줄까요? 치료기간 2022.2 ~ 2023.6 인비절라인 교...
아카이브 요약
이 페이지의 역할
UPenn Barun Dental Clinic - English-speaking U.S. Orthodontist & Dentist for Braces and Invisalign의 네이버 블로그 원문을 보존한 아카이브 페이지입니다. 치아교정 이야기 카테고리의 '웃을때 입을 자꾸 가려요' 활짝 웃은 중학생 비발치 인비절라인후기 (잠실새내인비절라인 청소년인비절라인 잠실교정치과) 글을 통해 병원의 한국어 정보 제공 방식과 진료 관련 안내 톤을 확인할 수 있습니다.


안녕하세요
유펜바른치과입니다
잘 지내셨나요?

오늘은 만14세 여중생의 인비절라인 전, 후 사례를 소개해 드리려고 해요^^
치아건강과 배열은
외적인 요소에 큰 영향을 끼칩니다.
삐뚤빼뚤한 치열로 웃을때 고민이 많은 청소년기에
인비절라인은
어떤 변화를 보여줄까요?

치료기간 2022.2 ~ 2023.6
인비절라인 교정을 통해
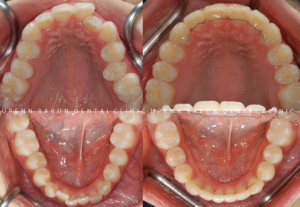
치축이 틀어지고 반대교합이 있던
앞니가 제 위치를 찾고
치열이 가지런해진 모습을 확인해볼 수 있습니다.
인비절라인은
지난 20여년간 눈부신 발전으로
반대교합의 개선, 발치교정, 비발치교정, 과개교합, 개방교합, 수술교정 등
다양한 복합케이스에 적용이 가능하도록 설계 되었습니다.
'치아 교정을 통한 심리적인 영향은
청소년기에
다양한 측면에서 긍정적인 결과를 나타낸다고 합니다. '


삐뚤빼뚤했던 치아들을
발치 하지 않고 가지런히 할 수 있었던 인비절라인의 특징은 무엇일까요?
바로 '악궁확장' 기능을 통해
앞니와 어금니 모두 제 위치를 찾으며 올바르게 배열되었습니다.
교합면끼리 이은 선이 안쪽으로, 혹은 바깥쪽으로
뻐드러져 있었는데요.
특수강화 플라스틱 재질인 인비절라인은
치아를 안쪽과 바깥쪽에서 적은 힘으로 지속적으로
잡아주기 때문에
통증없이 악궁을 확장시켜
치아이동을 수월하게 도와줍니다.


치료기간 2022.2 ~ 2023.6
인비절라인은 클린체크 프로그램을 통해
초기 상태부터 치료를 마친 최종 상태까지
모든치료 단계를 시뮬레이션하고
치아의 미세한 움직임까지 3D컨트롤 할수 있으며
원장님의 진단 내용을 치아 이동에 바로 반영할 수 있도록 하며
교정 순서, 방향, 속도, 장치 갯수 등 원장님의 치료과정을 컨트롤할 수 있습니다.
인비절라인은 누가 어떻게 디자인을 하느냐에
따라
교정치료 후 다른 결과물이 나올 수 있으므로
높은 숙련도와 경험이 많은 잠실교정치과 유펜바른치과에서 시작하는 것이 무엇보다 중요합니다.

치료기간 2022.2 ~ 2023.6
치아는 심미적인 부분에서도 중요한 역할을 하지만
음식물 저작과 발음에도 중요한 영향을 미칩니다.
잠실인비절라인으로 교정 후
반대교합이 있던 앞니가 제 위치를 찾으며
구강 내 각자의 역할을 조화롭게 도와드려
기능적인 부분도 회복할 수 있었습니다.
환자분께서는 인비절라인 중에서도
부정교합이 비교적 심해서
보다 많은 인비절라인 장치가 필요한 경우에 적용되는
Invisalign Comprehensive
옵션으로 인비절라인 장치 갯수 주문에 제한없이
5년동안 원하는만큼 장치를 받아 교정치료를 할 수 있습니다.



2nd ClinCheck , Final
첫번째 클린체크를 마치고
완벽함을 추구하는 김승우 원장님께서는
두번째엔 좀더 세심한 디자인을 통해
정중선이 일치하도록 마무리 해드렸습니다.
청소년인비절라인 두번째 클린체크 에서는
첫번째 클린체크와는 어태치먼트의 모양과 위치가
달라져
이전의 클린체크를 보완해 교정치료의 완성도를 높여 줍니다.
인비절라인은
초기 임상 상태부터 치료를 마친 최종 교합상태까지
모든 치료단계를 시뮬레이션 하고, 0.1mm의 미세한 움직임까지 3D로 컨트롤이 가능합니다.

치료기간 2022.2 ~ 2023.6
웃을때 치열이 고르지 않아
송곳니가 도드라져 보였던 이전과는 달리,
청소년기 인비절라인 교정 후 정중선이 맞아지고 치열이 가지런해지면서
보다 자연스러운 미소를 지어주었습니다.
바쁜 학원과 학교생활에
잦은 치과 방문이 고민이시라면
인비절라인은 정해진 날짜에 장치를 바꾸어 교정하는 방식으로
8주 간격, 길게는 3-4개월 간격으로 내원이 가능합니다.
해외거주자도 가능한 인비절라인은 시간적으로 여유가 없는 청소년, 직장인분들의 경우에 특히 더 적합한 교정장치입니다.
인비절라인은 철사교정에 비해 심미적이며 비교적 통증이 적고 이물감이 덜해
청소년기에 가장 선호하는 교정장치 중 하나이기도 합니다.
ABO 미국치과교정과전문의의
높은 숙련도와 많은 경험을 토대로
2022년 인비절라인 플래티넘등급,
2023년 인비절라인 플래티넘 ‘엘리트’ 등급을 달성한
유펜바른치과에서 당신의 예쁜 미소를 위해
인비절라인을 시작해 보시는건 어떠실까요?
김승우 대표원장은
미국 아이비리그 명문 UPenn 치대 졸업,
뉴욕 Albert Einstein 의대 부속병원
몬테피오레 메디컬 센터
(Montefiore Medical Center)에서
3년간 정식 교정과 수련을 마친
ABO 미국 치과교정과 전문의 (Diplomate of the American Board of Orthodontics, ABO) 입니다.
ABO는 국내 단 13명 (2022년 2월 기준)으로, 유펜바른치과에서 그 치료를 경험해 보실 수 있습니다.
유펜바른치과에서는 치아교정, 인비절라인교정, 일반진료, 임플란트 및 보존과 전문의, 소아치과 전문의의 협진으로 어린이 진료까지 가능합니다.



더 보기
이 병원의 공개 콘텐츠를 계속 살펴보세요
출처 아카이브로 돌아가 더 많은 글을 보거나, 병원 프로필로 이동해 다른 공개 채널도 함께 비교해보세요.