아카이브 요약
이 페이지의 역할
유펜바른치과의원의 네이버 블로그 원문을 보존한 아카이브 페이지입니다. 치아교정 이야기 카테고리의 비발치 세라믹교정 후기 (앞니교정 잠실부분교정 잠실교정치과 잠실새내교정치과) 글을 통해 병원의 한국어 정보 제공 방식과 진료 관련 안내 톤을 확인할 수 있습니다.
원문 검증
필요하면 원문 블로그와 병원 프로필로 바로 이동해 문맥을 다시 확인할 수 있습니다.
출처 아카이브 열기아카이브된 블로그 글
유펜바른치과의원 · Naver Blog
안녕하세요 유펜바른치과입니다 잘지내셨나요? ㅎㅎ 교정 하고 싶은데 .. 1년후 즈음에 해외로 나가요. 교정을 시작할 수 있을까요? 치료기간 2023.1 ~ 2023.7 오늘 소개해드릴 환자분은 교정기간을 1년~1년6개월 로 예상했으나 환자분께서 생각보다 빨리 해외로 출국하게되어 환자분 요청으로 유펜바른치과에서 6개월만...
게시일
2023년 9월 16일
원문 기준으로 확인된 발행일입니다.
카테고리
치아교정 이야기
원문 블로그 카테고리를 정리해 함께 표시합니다.
이미지 수
14
현재 아카이브에 연결된 이미지 수입니다.
아카이브 요약
유펜바른치과의원의 네이버 블로그 원문을 보존한 아카이브 페이지입니다. 치아교정 이야기 카테고리의 비발치 세라믹교정 후기 (앞니교정 잠실부분교정 잠실교정치과 잠실새내교정치과) 글을 통해 병원의 한국어 정보 제공 방식과 진료 관련 안내 톤을 확인할 수 있습니다.
원문 검증
필요하면 원문 블로그와 병원 프로필로 바로 이동해 문맥을 다시 확인할 수 있습니다.
출처 아카이브 열기

안녕하세요
유펜바른치과입니다
잘지내셨나요?
ㅎㅎ

교정 하고 싶은데 .. 1년후 즈음에 해외로 나가요.
교정을 시작할 수 있을까요?

치료기간 2023.1 ~ 2023.7
오늘 소개해드릴 환자분은
교정기간을 1년~1년6개월 로 예상했으나
환자분께서 생각보다 빨리 해외로 출국하게되어
환자분 요청으로
유펜바른치과에서 6개월만에 비발치 세라믹교정을 끝내드린 케이스입니다.

치료기간 2023.1 ~ 2023.7
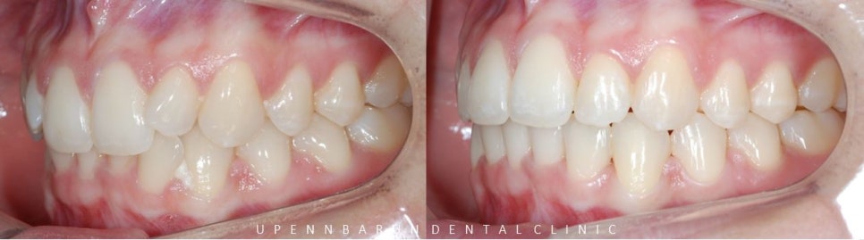
정상적인 교합의 경우 오른쪽 사진과 같이
윗니가 아랫니를 1/4정도 덮고 있는것이 일반적이지만
왼쪽 사진처럼 반 이상 과도하게 덮고 있는경우를
'과개교합'(Deep Bite) 라고 합니다.
과개교합이 심한경우
정면에서 바라볼 때 아랫니가 잘 보이지 않습니다.
또 아랫니가 윗쪽 잇몸을 누르며
통증이 유발되거나 잇몸 퇴축이 일어날 수 있습니다.
또한 앞니끼리 면을 끊거나 자르는게 쉽지 않고
턱관절에도 좋지 않은 영향을 줄 수 있습니다.


치료기간 2023.1 ~ 2023.7
유펜바른치과 김승우 원장님은
치아교정의 본고장
미국 뉴욕에서 ABO 미국치과교정과전문의를 취득하고
많은 경험과 증례를 통해
환자 개개인의 맞는 섬세한 치료계획을 토대로
교정치료를 진행 해 주십니다.
과개교합의 경우
교정을 통해 치열개선뿐만 아니라
윗니, 아랫니의 맞물리는 위치를 이동시켜
치아의 기능과 심미적인 부분을 개선시킬 수 있습니다.
간혹
환자분들중 단순히 앞니만 교정하면 되지 않는지
문의주시는 분들이 많이 계신데요,
과개교합의 경우
치아의 전체적인 교합을 고려하여
앞니의 배열 뿐만 아니라
앞니, 어금니의 수직이동 등 전방위적인 교정이 필요합니다.

치료기간 2023.1 ~ 2023.7

치료기간 2023.1 ~ 2023.7
비발치 세라믹교정을 통해
솟아올라 있던 아래 앞니를 함입시켜
전반적으로 완만한 아치형태를 만들고
삐뚤빼뚤했던 치열이 고르게 교정되고
악궁또한 바른 U자 모양으로 개선되었습니다.
위, 아래 앞니 안쪽에는
치아가 돌아오는것을 예방하기 위해
유지장치를 붙여 마무리해드렸습니다 ^^
이처럼
3D CT, i-tero 구강스캐너 등
다양한 진단 장비를 갖춘 유펜바른치과에서
교정을 시작하신다면
환자분 치아 상태에 적합한 치료 계획을 통해 교정을 마무리 하실 수 있습니다.

치료기간 2023.1 ~ 2023.7
교정기간을 1년~1년6개월로 예상했지만
환자분 요청으로
6개월만에 교정을 마무리해드렸는데요
김승우 원장님의 섬세한 치료와 환자분의 협조도로
좋은 결과를 만들어낼 수 있었습니다^^
얼굴 사진을 보시면 교정이 마무리 되고
틀어져 있던 앞니의 치열이 가지런해졌을 뿐만 아니라
보다 정돈되고 예쁜 미소로 변화되었습니다 ^^
치아교정부터 충치치료, 임플란트 등 사후 관리까지
같은 원장님께 진료를 받을 수 있는 유펜바른치과에서
자신있는 미소를 되찾아보세요!
김승우 대표원장은
미국 아이비리그 명문 UPenn 치대 졸업,
뉴욕 Albert Einstein 의대 부속병원
몬테피오레 메디컬 센터(Montefiore Medical Center)에서
3년간 정식 교정과 수련을 마친
ABO 미국 치과교정과 전문의 (Diplomate of the American Board of Orthodontics, ABO) 입니다.
ABO는 국내 단 13명 (2022년 2월 기준)으로, 유펜바른치과에서 그 치료를 경험해 보실 수 있습니다.
유펜바른치과에서는 치아교정, 인비절라인교정, 일반진료, 임플란트 및 보존과 전문의와 소아치과 전문의의 협진으로 어린이 진료까지 가능합니다.




Previous image Next image