

안녕하세요
잠실투명교정치과
유펜바른치과입니다
모두 잘 지내셨나요?
치아 사이에 틈이 있어요
라미네이트 해야 한다던데.. 다른방법 없을까요?
오늘은 위의 주소로 내원해주신 환자분 케이스를
소개해드리려고 해요^^


환자분께서는
언제부턴가 지인에게 치아사이에 틈이 있다는 소리를 두세번 들으시고는
틈이 신경쓰여 타치과에 내원하셨다가
라미네이트를 해야 한다는 얘기를 듣고
저희 유펜바른치과에 내원해주셨는데요.

치료기간 2021.8 ~ 2021.10 (2개월)
저희 유펜바른치과에서
치아사이의 공간을 닫으면서
치아를 보존적으로 치료할 수 있고
앞니를 올바르게 배열해 줄 수있는
인비절라인을 진행하기로 하셨습니다.
환자분께서는
인비절라인 종류중에서 Invisalign Comprehensive, Lite 케이스에 비해
치아의 비뚤어짐이 심하지 않아 비교적 빨리 끝낼수 있는
'Invisalign Express' 로 진행하셨습니다.
Invisalign Express는
미세한 치아사이공간 닫기 등
간단한 앞니교정에 적합하며
약 7주에서 14주안에 치료가 완료되어
빠르고 경제적인 것이 특징입니다.
인비절라인의 종류가 궁금하시다면 아래 링크를 클릭해보세요 ^^
▼▼▼▼▼▼▼▼▼▼▼▼


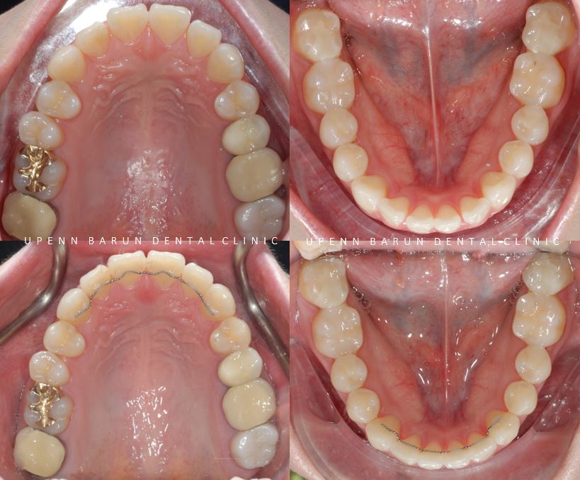
치료기간 2021.8 ~ 2021.10 (2개월)
인비절라인 Express에 해당되는
총 7개 + 7개= 14개의 장치로
클린체크대로 공간이 닫히며 교정이 마무리 되었습니다.
환자분께서는 20대 여성분으로
웃으실때 자신감이 없으셨던 이전과는 달리
교정 후 언제 어디서든 밝게 웃으실 수 있어
매우 만족해 하셨는데요 ^^
인비절라인은
-
투명한 소재로 일상생활에 지장을 주지 않고
-
자주 내원하지 않아도 되며
-
일주일에 한번씩 새로운 장치를 착용하게 되므로 위생적인것이 특징입니다.

사실
앞니끼리 오랫동안 바르지 못한 교합으로 맞물리게 되면
치아의 뿌리가 흡수되거나
혹은 치아가 벌어지거나
틀어질 수 있는데요,
앞니끼리 맞닿아 빨간 spot으로 찍혀있었던 교정 전과는 달리
교정 후 앞니가 바르게 배열되면서
앞니의 외상을 줄여주고
치아사이의 공간을 닫을 뿐만 아니라
위, 아랫니의 교합관계도 개선이 되었습니다.

치료기간 2021.8 ~ 2021.10 (2달)
치아의 크기가 다른 치아에 비해 현저히 작은경우
레진이나 라미네이트를 고려해볼 수 있었으나
환자분처럼
치아의 크기가 정상적인 경우엔 보존적으로
인비절라인교정을 통해 치아 사이의 틈을 메꿔줄 수 있습니다^^
미국 뉴욕에서 ABO 미국 치과교정과전문의를 취득한
김승우 원장님은
치아교정, 충치치료, 임플란트등 모든 치료를
환자 개개인의 맞는 섬세한 치료계획을 토대로
진행 해 주십니다.

치료기간 2021.8 ~ 2021.10 (2달)
인비절라인의 경우
의사의 숙련도에 따라 결과가 달라질 수 있기때문에
인비절라인의 다양한 경험과
수많은 증례를 경험한
ABO 미국치과교정과 전문의 인지
알아보고 시작하시는것이 중요합니다!!!

치료기간 2021.8 ~ 2021.10 (2달)
인비절라인 Express교정을 마치고
치아가 틀어지지 않도록
앞니 유지장치로 마무리 해드렸습니다.
2022년 인비절라인 플래티넘 등급
2023년 인비절라인 플래티넘 엘리트 등급을
달성한 유펜바른치과
앞니사이의 틈이 고민이시라면
유펜바른치과에서
밝은미소를 되찾아보세요 ^^
김승우 대표원장은
미국 아이비리그 명문 UPenn 치대 졸업,
뉴욕 Albert Einstein 의대 부속병원
몬테피오레 메디컬 센터(Montefiore Medical Center)에서
3년간 정식 교정과 수련을 마친
ABO 미국 치과교정과 전문의 (Diplomate of the American Board of Orthodontics, ABO) 입니다.
ABO는 국내 단 13명 (2022년 2월 기준)으로, 유펜바른치과에서 그 치료를 경험해 보실 수 있습니다.
유펜바른치과에서는 치아교정, 인비절라인교정, 일반진료, 임플란트 및 소아치과 전문의의 협진으로 어린이 진료까지 가능합니다.

