

안녕하세요~!
유펜바른치과입니다
잘지내셨나요?
오늘은 비수술치아교정 악궁확장장치인
'Marpe' 라는 교정장치를 소개해드리고
실제 환자분들의 증례를 보여드리려고 합니다
ㅎㅎ
악궁확장장치란?
폭이 좁은 치아의 악궁을 넓히는 장치로
주로 상악에 사용되는 장치 입니다.
중심선을 기준으로 좌-우 확장이 가능하고
악궁확장을 통해 공간을 확보하여 비수술치아교정을 할수 있고
상, 하악의 골격 조화를 이루게 합니다.
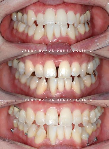
Case 1


치료기간 22.3 ~ 23.4 , 현재 인비절라인 진행중
위 사진은 환자분의 좁은 악궁을 넓히기 위해
악궁확장장치인 'Marpe'를 사용한 사진입니다
장치를 장착하고 약 한달 후
노란색 화살표와 같이 정중구개봉합선이 분리되며 앞니가 벌어졌고,
그 공간을 활용하여 인비절라인으로 치아를 재배열한 사진입니다.
점점 갈수록 악궁이 확장되는것이 보이시나요?

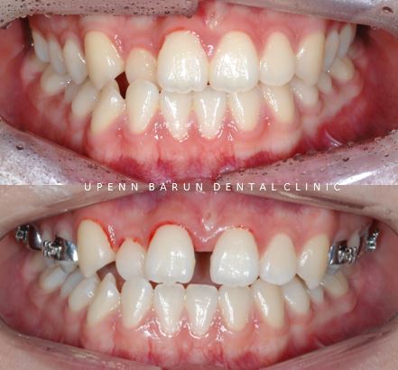
치료기간 22.3 ~ 23.4 , 현재 인비절라인 진행중
상악이 Δ와 같이 좁은 모양에서 넓은 U 모양으로 변화되었습니다.
어린이의 경우 뺐다 꼈다 할수 있는 가철식 장치만으로도 확장이 되지만
성인의 경우 장치를 뼈에 고정시켜 위턱뼈를 양쪽으로 확장시켜 주어야 합니다.
'Marpe' 는
치아만 뻐드러지게 하는 장치가 아닌 위턱뼈의 확장을 도와줍니다.

치료기간 22.3 ~ 23.4 , 현재 인비절라인 진행중
비발치교정의 경우 무조건 악궁확장을 해야 하나요?
꼭 그렇지 않습니다
위턱이 아래턱에 비해 현저히 작은경우에 해당되며
환자분의 동의하에
원장님의 자세한 치료계획 및 진단을 통해 이뤄집니다.
Case 2

두번째 소개해드릴 케이스는
3급 부정교합과 외상성 교합을 가진 환자분으로
아래 앞니가 깨져 있고
타치과에서
양악수술해야 한다는 소견을 듣고 오셨는데요,

반대교합이 있고
하악에 비해 상악의 악궁이 좁았을 뿐만 아니라
비수술적 치료를 원하셨기에
악궁확장장치로 상악 확장 후 인비절라인을 진행하기로 하셨습니다.

치료기간 23.3 ~ 23.5
'Marpe' 장치는 입천장 가운데를 중심으로 교정용 미니스크류가
양쪽의 앞, 뒤로 하나씩 4개 식립되어 있습니다.
악궁확장장치를 처음 보실때 교정장치가 입천장에 붙어있어
통증이 심할것 같아 무서워 하시는 경우가 있는데요
나사를 심을때 간단한 국소 마취를 하고 심기 때문에 마취의 통증외 별다른 느낌은 없습니다.
그 후 나사를 돌릴때의 통증은 거의 없으며 ,
약간의 압박감과 눌리는 정도의 느낌이 날 수 있습니다.
장치를 끼고 난 후에는 입안에서의 적응기간이 필요할 수 있습니다.

치료기간 23.3 ~ 23.5
앞니가 벌어진것 보이시나요?
악궁이 확장되며 생긴 공간으로 놀라지 않으셔도 됩니다 :)
이 공간을 활용해
인비절라인으로 나머지 치아를 재배열 하여
교정을 마무리 할 예정입니다.
Case 3
세번째 환자분도 타치과에서 교정치료를 시작후
개인적인 이유로 저희병원에 내원해주셨습니다.

치료기간 22.12 ~ 23.8
어금니쪽 반대교합이 있었고
악궁이 좁아있던 왼쪽 사진과 달리
'Marpe'장치 후 악궁이 상당히 넓어졌습니다.
'Marpe' 악궁확장은 가운데 중심선인
정중구개봉합선을 분리 시켜 상악의 너비를 넓혀줍니다.

치료기간 22.12 ~ 23.8
악궁확장을 통해 앞니 사이의 공간을 얻은 후
치아를 재배열 하기 위한 단계를 거쳐
마무리 해드릴 예정입니다^^
Case 4
마지막으로 소개해 드릴 환자분께서는
턱이 삐뚤어졌고 ,평소 코로 숨을 쉬는게 불편해서
대학병원을 방문했지만 성장판이 닫혔다며 양악수술을 권유받으셨다고 해요.
하지만 환자분은 수술대신 교정과 확장장치를 통해
비수술적으로 최대한 개선하고 싶어 저희병원을 찾아주셨는데요.

치료기간 23.5 ~ 23.6
사실 악궁확장장치는
코 안쪽의 공간을 (=비강)을 넓혀주어
단기적으로 코로 숨을 쉴때
더욱 효과적으로 호흡을 도와줍니다.
실제로
악궁확장장치 후 코가 좀 더 뚫린 느낌을 받으시고
이전과 달리
숨쉬기가 더 편해졌다고 합니다^^
환자분들의 만족도가 높은 교정장치중의 하나입니다.

치료기간 23.5 ~ 23.6
오늘은 악궁확장장치를 통해 위, 아래 골격의 조화를 이루고
주걱턱, 돌출입, 호흡등의 문제가 개선되며
비수술적으로 교정할 수 있는 사례들을 소개해 드렸습니다.

비강이 좁아 코로 숨쉬기 힘들었던 이전에 비해
ABO 미국 치과교정과전문의 김승우원장님께
비수술적 교정치료를 받으며 호흡이 원활하게 이루어 지면서
환자분들의 고민과 불편감을 덜어드렸습니다.
수술하지 않고 악궁확장을 통해 교정을 원하신다면
높은 숙련도와 많은 경험을 바탕으로 진료하는
유펜바른치과에서
아름다운 미소를 되찾아보세요^^
김승우 대표원장은
미국 아이비리그 명문 UPenn 치대 졸업,
뉴욕 Albert Einstein 의대 부속병원
몬테피오레 메디컬 센터(Montefiore Medical Center)에서
3년간 정식 교정과 수련을 마친
ABO 미국 치과교정과 전문의 (Diplomate of the American Board of Orthodontics, ABO) 입니다.
ABO는 국내 단 13명 (2022년 2월 기준)으로, 유펜바른치과에서 그 치료를 경험해 보실 수 있습니다.
유펜바른치과에서는 치아교정, 인비절라인교정, 일반진료, 임플란트 및 보존과 전문의와 소아치과 전문의의 협진으로 어린이 진료까지 가능합니다.



