

HELLO ^^0
#잠실새내치과
#잠실새내교정치과
유펜바른치과입니다 :)
치아가 앞으로 튀어나와있고
아랫니가 입천장에 닿는지 위 잇몸을 아파해요


오늘은
위의 주소로 내원해주신
만 10세 여아의 인비절라인 퍼스트 를
소개해드리려고 해요^^
사실
동생이 먼저 저희병원에서
인비절라인퍼스트 소아교정을
진행했었는데요,
동생의 경우 넘어진 적이 있는데
앞니가 튀어 나와 있어
앞니가 부러진 경험을 했었다고 해요 T^T
교정 후 외상의 위험을 줄일 수 있었고,
언니는 동생이 인비절라인을 만족해하며 잘 끝낸걸 보고
시작하기로 마음을 먹고 왔는데요 ^^
#잠실새내교정치과
#잠실인비절라인
▼▼▼▼▼▼▼▼▼▼▼
동생의 인비절라인퍼스트 사례가 궁금하시다면 클릭해보세요^^

먼저 닥터킴의 정밀한 진단을 위해
i-TERO 로 구강내 스캔을 해보았습니다.
위 사진은 접촉되는 치아면을
spot 으로 표시해 확인해 볼수 있는데요
(아랫니의 빈공간은 유치가 빠져 생긴 공간입니다 ^^)
화살표의 빨갛게 찍힌 spot들을 보니
아랫니가
윗니의 치아가 아닌 입천장에 닿고 있었습니다.
아파했던 이유가 있었습니다 ㅠ.ㅠ


정밀진단을 해보니
동생과 마찬가지로
윗니와 아랫니 사이의
간격이 매우 큰
과도한 수평피개 교합과
치아가 너무 깊게 물리는 과개교합
상태였습니다.
이런경우
- 아이들이 넘어지거나 운동할때 자칫 앞니에 외상을 입어
소중한 치아가 부러지거나 손상될수 있고,
- 또한 아랫니가 입천장에 닿아 어린나이에도 불구하고
외상에 의한 잇몸퇴축이 발생할 수 있습니다 ㅠ.ㅠ
'인비절라인 퍼스트'로 교정을 마친 동생과 마찬가지로
유펜바른치과에서
투명교정장치인 인비절라인퍼스트로
송파인비절라인소아교정을
진행하게 되었는데요^^
#잠실새내교정치과
#잠실인비절라인퍼스트
#송파인비절라인퍼스트


인비절라인퍼스트 (=인비절라인1차교정)란?
성장과정에 있는 6-10세 아이들에 특화된
인비절라인 장치입니다.
6-10세의 초기 혼합치열기 어린이들을 위한 교청치료로
어린이들의 턱뼈의 성장과 맹출 치아에 발생되는 문제를 확인 할 수 있습니다.
치아의 배열과 공간의 확보를 동시에 하여
영구치의 올바른 맹출에 도움을 줍니다.
인비절라인 시뮬레이션을 통해
어린이의 교합 및 정렬의 치아 관계를 평가하고, 어떻게 발전할지 예측할 수 있습니다.
턱 성장 등 골격적인 문제를 개선할 수 있으며
탈착이 가능하여, 구강위생에 용이합니다.


치료기간 23.1 ~23.8
과개교합은
대개 무턱과 동반되며 조기에 진단과 치료가 권유됩니다.
윗니가 아랫니를 비정상적으로 깊게 덮고 있어
아랫니가 잘 보이지 않는것이 특징입니다.
과개교합의 교합력은 위, 아래 앞니를 빠르게 마모시키고,
치은퇴축이 심하게 오거나 치아뿌리를 녹일 수 있습니다.
또한 부정교합으로 인한 턱관절 통증이 유발될 수 있고
아랫니가 입천장에 닿아 입천장 점막이 붓고 통증이 있을 수 있습니다.
또한 음식을 먹을 때 베어 물거나 저작하는 것에 어려움을 느낄 수 있습니다

과개교합의 경우
정면보다 측면에서 보았을때
조금더 도드라져 보이는데요.
어린이 교정의 경우
성인에 비해 치아이동이 유연하기 때문에
상대적으로 치료가 수월하고 기간이 짧습니다.
성장기 아이를 위한 인비절라인퍼스트는
혼합치열기에 있는 어린이환자들에게 맞춤형 기능을 제공합니다.
예측성이 높은 악궁 확장과 맹출중인 영구치열의 공간확보에 유리합니다.
악궁형태 발달, 맹출중인 치열공간 유지등 광범위한 부정교합에 대한 치료를 제공합니다.
2022 인비절라인 플래티넘, 2023년 인비절라인 플래티넘 엘리트 등급을 부여받은
유펜바른치과 에서는 김승우 원장님이 정밀진단 ,검토, 수정, 승인 등
인비절라인이 보유한 빅테이터를 바탕으로
치료계획을 클린체크를 통해 시각적으로 구현합니다.


치료기간 23.1 ~23.8
인비절라인 클린체크 를 보시면
윗니가 뒤로 들어가면서 윗니와 아랫니의 간격이
점점 줄어드는 모습을 확인해 볼 수 있습니다.
아랫니도 살짝 함입되면서
깊게 물리던 앞니들도 제위치에 자리잡으며 많이 개선되었습니다 :)
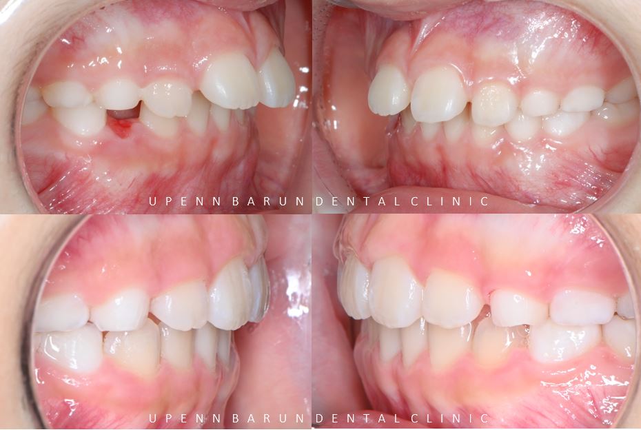
앞니가 다른 치아들에 비해 유독 튀어나와 있어
외상을 입기 쉬운 구조였던 치아가
#인비절라인1차교정 을 통해
바르게 자리 잡았습니다.
#잠실새내교정치과
#잠실인비절라인어린이교정
#잠실인비절라인소아교정
우리 아이들이
수월하고 편하게 할수 있는 교정
바로
#잠실인비절라인퍼스트
입니다.

치료기간 23.1 ~23.8

치료기간 23.1 ~23.8
인비절라인퍼스트를 통해
-
앞으로 튀어나온 윗니의 각도를 개선시키고
-
적은 통증과 적은 이물감으로
-
상하악 교합관계를 올바르게 유도해주며
-
위 앞니의 외상으로부터 위험을 줄일 수 있었습니다.
이처럼 인비절라인으로
아직 성장이 끝나지않은 시기에 교정을 시작하면
남은 성장을 활용하여 효과적으로
교정을 마무리 할수 있게 됩니다: )


도드라져 보이던 앞니가 바르게 펴지고
치아들이 제 위치를 찾으며
자신감 있는 미소를 되찾았습니다 ^^
아이들에게
인비절라인과 함께
행복한 미소를 선물해주는건
어떠실까요?
김승우 대표원장은
미국 아이비리그 명문 UPenn 치대 졸업,
뉴욕 Albert Einstein 의대 부속병원
몬테피오레 메디컬 센터(Montefiore Medical Center)에서
3년간 정식 교정과 수련을 마친
ABO 미국 치과교정과 전문의 (Diplomate of the American Board of Orthodontics, ABO) 입니다.
ABO는 국내 단 13명 (2022년 2월 기준)으로, 유펜바른치과에서 그 치료를 경험해 보실 수 있습니다.
유펜바른치과에서는 치아교정, 인비절라인교정, 일반진료, 임플란트 및 소아치과 전문의의 협진으로 어린이 진료까지 가능합니다.

