아카이브 요약
이 페이지의 역할
유펜바른치과의원의 네이버 블로그 원문을 보존한 아카이브 페이지입니다. 치아교정 이야기 카테고리의 잠실돌출입교정 잠실발치교정 후기가 궁금하다면? (교정후얼굴변화후기 잠실교정치과 돌출입교정후기 돌출입전후사진) 글을 통해 병원의 한국어 정보 제공 방식과 진료 관련 안내 톤을 확인할 수 있습니다.
원문 검증
필요하면 원문 블로그와 병원 프로필로 바로 이동해 문맥을 다시 확인할 수 있습니다.
출처 아카이브 열기아카이브된 블로그 글
유펜바른치과의원 · Naver Blog
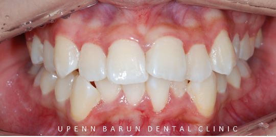
안녕하세요 유펜바른치과입니다 잘 지내셨나요? 웃을때 자신감 얻고 싶어요.. 위, 아래 치아들이 앞으로 튀어 나왔어요. ㅜ.ㅜ 교정 전 오늘은 앞니가 도드라져 보여 웃을때 고민이 많으셨던 환자분의 잠실교정치과 유펜바른치과의 발치교정케이스를 소개 해 드리려고 해요 ^^ 교정 전, 후 ceph x-ray 잠실새내교정치과 유...
게시일
2024년 2월 29일
원문 기준으로 확인된 발행일입니다.
카테고리
치아교정 이야기
원문 블로그 카테고리를 정리해 함께 표시합니다.
이미지 수
17
현재 아카이브에 연결된 이미지 수입니다.
아카이브 요약
유펜바른치과의원의 네이버 블로그 원문을 보존한 아카이브 페이지입니다. 치아교정 이야기 카테고리의 잠실돌출입교정 잠실발치교정 후기가 궁금하다면? (교정후얼굴변화후기 잠실교정치과 돌출입교정후기 돌출입전후사진) 글을 통해 병원의 한국어 정보 제공 방식과 진료 관련 안내 톤을 확인할 수 있습니다.
원문 검증
필요하면 원문 블로그와 병원 프로필로 바로 이동해 문맥을 다시 확인할 수 있습니다.
출처 아카이브 열기

안녕하세요
유펜바른치과입니다
잘 지내셨나요?


웃을때 자신감 얻고 싶어요..
위, 아래 치아들이 앞으로 튀어 나왔어요.
ㅜ.ㅜ


교정 전
오늘은
앞니가 도드라져 보여
웃을때 고민이 많으셨던 환자분의
잠실교정치과
유펜바른치과의
발치교정케이스를 소개 해 드리려고 해요 ^^

교정 전, 후 ceph x-ray
잠실새내교정치과
유펜바른치과에서
교정을 시작하기에 앞서
진단을 먼저 해보니
왼쪽사진처럼 앞니가 화살표 방향대로
전방을 향해 앞으로 튀어나와 있는 모습이었습니다.
T^T
오른쪽 엑스레이를 보시면
교정완료 후엔
전과 다르게 돌출된 치아가 들어가면서
기울어졌던 치축이 개선되었습니다
:)

교정기간 2년3개월 ( 21/10~24/1)
wow~!!
교정 완료 후의
옆모습을 잠시 감상해보시면
앞니의 각도가 개선이 되면서
돌출되어 있던 위, 아래 입술이 자연스러워 졌습니다.
입이 들어가면서 이전보다 코가 더 오똑해 보이기도 합니다.
또한 무턱경향이 있었는데
발치교정후 턱이 앞으로 나와 보이면서
이전보다 훨씬 더 예쁘고 개선된 안모를 보여 줍니다.


교정기간 2년3개월 ( 21/10~24/1)
돌출입을 개선하기 위해서는
발치공간을 이용하여
앞으로 튀어나와 있는 앞니들을
뒤로 당겨주어야 하는데요.
그러기 위해서는
상대적으로 중요도가 떨어지는
작은 어금니(소구치)를 발치하고
이동할 수 있는 공간을 마련해 주어야 합니다.

교정기간 2년3개월 ( 21/10~24/1)
3D CT, i-tero 구강스캐너 등
다양한 진단 장비를 갖춘 유펜바른치과에서
교정을 시작하신다면
환자분 치아 상태에 적합한 치료 계획을 통해 교정을 잘 마무리 하실 수 있습니다.
*돌출입이라고 해서 반드시 발치교정이 필요한것은 아닙니다! *
발치교정이 꼭 필요한지는
치아교정의 본고장
미국 뉴욕에서 ABO 미국치과교정과전문의를 취득하고
수많은 경험과 증례를 통해
환자 개개인의 맞는 섬세한 치료계획을 토대로
교정치료를 진행하는
유펜바른치과에서
진단을 받아보실것을 추천드려요~!


교정기간 2년3개월 ( 21/10~24/1)
교정치료가 끝난 후의 전후 사진입니다.
이전과 다르게 활짝 웃을때
도드라져 보이던 앞니 치열이 개선되면서
가지런하게 정리된 모습입니다. ^^
치아 배열은
구강건강 뿐만 아니라 외모, 발음, 저작 등에도 큰 영향을 끼칠수 있습니다.
치아교정은
아름다운 미소와 치아건강상의 이점을 가지고 있을뿐만 아니라
치아 교정을 통한 심리적인 영향은
다양한 측면에서 긍정적인 결과를 나타내고 있다고 합니다.
치아교정부터 충치치료, 임플란트 등 사후 관리까지
같은 원장님께 진료를 받을 수 있는 유펜바른치과에서
자신있는 미소를 되찾아보세요! ♥
Smile Is The Prettiest Thing You Can Wear
김승우 대표원장은
미국 아이비리그 명문 UPenn 치대 졸업,
뉴욕 Albert Einstein 의대 부속병원
몬테피오레 메디컬 센터(Montefiore Medical Center)에서
3년간 정식 교정과 수련을 마친
ABO 미국 치과교정과 전문의 (Diplomate of the American Board of Orthodontics, ABO) 입니다.
ABO는 국내 단 13명 (2022년 2월 기준)으로, 유펜바른치과에서 그 치료를 경험해 보실 수 있습니다.
유펜바른치과에서는 치아교정, 인비절라인교정, 일반진료, 임플란트 및 소아치과 전문의의 협진으로 어린이 진료까지 가능합니다.



