

안녕하세요
HELLO ~ ♥
#잠실교정치과
#잠실새내교정치과
유펜바른치과입니다
모두 잘 지내셨나요?


한 어머니께서 아이를 데리고
저희 교정치과에 내원해 주셨어요.
우리 아이
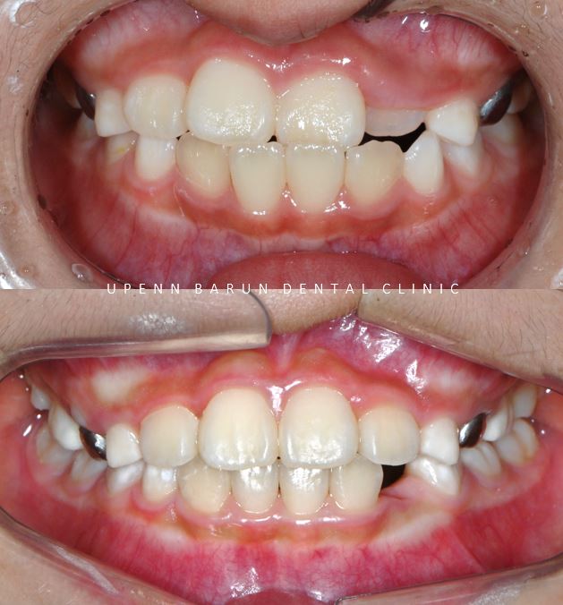
위, 아래 앞니가 반대로 물리고
윗니가 맹출을 안해요 ㅜ.ㅜ

교정기간 23/6 ~24/2 (9개월)

오늘은
만 8세 어린이의
#잠실교정치과
유펜바른치과의
인비절라인 반대교합 케이스를
소개해 드리려고 해요 ^^

먼저
어린이 반대교합(주걱턱) 교정치료에서는
고려해야 할것이 몇가지 있는데요
-
골격적으로 위턱과 아래턱의 불균형이 있을때
-
턱위치는 정상이나 치아의 배열이나 위치에 문제가 있을때
-
습관적으로 혀를 앞으로 내밀거나, 구호흡, 아래턱을 내미는 습관등이 있는 경우
등을 고려 하여 1차교정을 시작하는 것이 좋습니다 :)
잠실새내교정치과
유펜바른치과에서
교정을 시작하기에 앞서 진단을 먼저 해보니
반대교합이 골격적으로 심한 정도가 아니었고
치아의 배열이나 위치에 문제가 있어
#인비절라인퍼스트 로 반대교합을 해결하기에 적합한 케이스 였습니다.

교정기간 23/6 ~24/2 (9개월)
인비절라인 퍼스트란?
성장과정에 있는 6-10세 아이들에 특화된
인비절라인 장치입니다.
6-10세의 초기 혼합치열기 어린이들을 위한 교청치료로
어린이들의 턱뼈의 성장과 맹출 치아에 발생되는 문제를 확인 할 수 있습니다.
치아의 배열과 공간의 확보를 동시에 하여
영구치의 올바른 맹출에 도움을 줍니다.
인비절라인 시뮬레이션을 통해
어린이의 교합 및 정렬의 치아 관계를 평가하고, 어떻게 발전할지 예측할 수 있습니다.
또한,
탈착이 가능하여, 구강위생과 충치 예방에 도움을 줍니다.
1st clincheck



교정기간 23/6~23/11 (6개월)
잠실교정치과
#인비절라인퍼스트
총 22개의 장치로
첫번째 클린체크를 마친후의 모습입니다.
첫번째 클린체크대로
반대교합이 개선이 되고
악궁이 확장되면서 치아 배열이 올바르게 개선되었습니다 :)
'인비절라인 퍼스트'는
아이들의 유치와 영구치에
딱맞게 제작되고
5일~7일에 한번씩 새로운 장치로 갈아끼게 되므로 위생적입니다.
기존 교정장치에 비해 이물감과 통증이 적고
탈착이 가능하여 양치가 용이해 충치 가능성이 비교적 낮습니다.
격한 움직임이나 운동에도 위험이 적고 세척이 쉬워 관리가 용이 합니다.
일반 브라켓 교정처럼 찔리거나 브라켓이 탈락하여 치과를 급하게 와야 하는 경우가 드뭅니다.
2nd clincheck



교정기간 23/12~24/2 (3개월)
두번째 클린체크에서는
인비절라인 9개의 장치로 인비절라인퍼스트가 마무리 되었습니다.
두번째 클린체크를 통해
디테일한 부분까지 상호보완, 개선하여 교정치료를 마무리 해주었습니다.
반대교합이 개선되고
맹출되지 않았던 앞니의 공간이 생기며
치아들이 제 위치를 찾고
치열이 올바르게 개선되었습니다.
인비절라인은 누가 어떻게 디자인을 하느냐에 따라
교정치료 후 다른 결과물이 나올 수 있으므로
인비절라인 치료에 대해
높은 숙련도와 경험이 많은
잠실교정치과
유펜바른치과에서 시작하는 것을 권유드립니다.

총 교정기간 23/6 ~24/2 (9개월)

어린이, 청소년기 교정의 경우
성인이 되고 난후에 교정치료를 하는것보다
성장기를 활용해 교정기간을 단축시킬 수 있고
골격적인 부정교합을 미리 해소할 수 있으며
외형적인 변화도 많이 개선 시킬수 있는 것이 장점입니다.
반대교합의 경우 조기에 치료해 줌으로써
잇몸퇴축 예방, 뿌리 흡수, 그리고
추후 턱수술의 가능성을 줄여주기도 합니다.
따라서
올바른 성장을 유도하면서
적절한 시기에 맞춰 교정을 시작하는것이 매우 중요합니다.

반대교합 해결은
우리 아이의 올바른 성장을 위해
필수적이므로
발견 즉시
교정 치료를 통해 고쳐 주는것이 중요합니다.


ABO 미국치과교정과전문의의
높은 숙련도와 많은 경험을 토대로
2022년 인비절라인 플래티넘등급
2023년 인비절라인 플래티넘엘리트등급 을 달성한
유펜바른치과
2024년 인비절라인코리아 공식 스피커로 선정된
김승우 원장님과 함께
예쁜 미소를 위해
인비절라인을 시작해 보시는건 어떠실까요?
"인비절라인코리아 스피커"인
김승우 원장님은 현재
국내 치과의사들과 교정전문의 선생님들을 대상으로
인비절라인 교정치료에 대해 심도있게
"강의하고" "가르치는"
역할을 하고 있습니다.
김승우 대표원장은
미국 아이비리그 명문 UPenn 치대 졸업,
뉴욕 Albert Einstein 의대 부속병원
몬테피오레 메디컬 센터(Montefiore Medical Center)에서
3년간 정식 교정과 수련을 마친
ABO 미국 치과교정과 전문의 (Diplomate of the American Board of Orthodontics, ABO) 입니다.
ABO는 국내 단 13명 (2022년 2월 기준)으로, 유펜바른치과에서 그 치료를 경험해 보실 수 있습니다.
유펜바른치과에서는 치아교정, 인비절라인교정, 일반진료, 임플란트 및 보존과 전문의, 소아치과 전문의의 협진으로 어린이 진료까지 가능합니다.




