


안녕하세요 ^^
잠실인비절라인치과
잠실새내교정치과
유펜바른치과 입니다.
웃을때 치아 모양이 신경쓰이는데,,
앞니만 고르게 교정할 수 있나요?

교정기간 23/4~24/3(11개월)
오늘
잠실새내교정치과
잠실새내인비절라인
유펜바른치과에서는
위의 주소로 내원해주신
환자분의 사례를 소개해 드리려고 해요 ^^

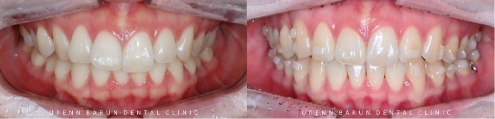
치료 전 사진


교정 전 구내사진
먼저 인비절라인을 시작하기에 앞서
구내 사진을 찍어보았습니다.
정면에서 보았을때
앞니 두개의 모양과 길이만 달라보였으나,
측면 사진을 보니 앞니가 튀어나와 뻐드러져 있고
교합면에서 바라봤을때는 치아끼리 이은 선이
삐뚤빼뚤한 양상을 보였습니다.
T^T
앞니교정은 어금의 이동은 최소화하면서
제한된 공간 내에서 교정이 진행되므로
원장님의 인비절라인교정 치료에 대한
경험과 노하우, 높은 숙련도가 있는곳에서 진행하는 것이
더 좋은 결과를
만들어 낼수 있습니다.
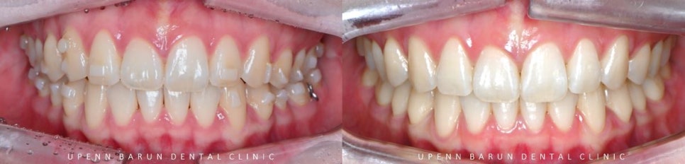
인비절라인라이트 케이스 (Invisalign Lite Case)
첫번째 클린체크 (14개 장치)



첫번째 14개 장치의 교정기간 23/4~23/8 (5개월)
잠실교정치과 유펜바른치과에서
인비절인라이트 옵션인 단 14개의 장치로
튀어나와 뻐드러져 있던 앞니의 각도가 개선이 되고
앞니들이 제 자리를 찾으며
삐뚤빼뚤했던 치아들이 올바르게 배열되었습니다.
잠실인비절라인
라이트 케이스의
14개의 장치로 완성도 높은 치료 결과를
보여주었는데요^^
유펜바른치과의 완벽주의자인 닥터킴은
두번째 클린체크를 통해
추가 14개의 장치로
나머지 디테일하고 세심한 진료를 이어 가셨습니다 :)
인비절라인 라이트 케이스의 경우
14개 (+추가 14개)
총 28개의 장치를 통해
교정을 마무리 할수 있는
케이스에 적합하고,
기간도 비교적 짧으며
비용도 다소 저렴한 것이
장점인 가성비가 좋은 치료 옵션입니다.
인비절라인라이트 케이스 (Invisalign Lite Case)
두번째 클린체크 (14개 장치)


2nd clincheck

교정기간 23/4~24/3(11개월)
추가 14개의 장치를 통해
인비절라인교정치료가 잘 마무리 되었습니다 :)
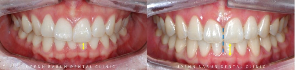
교정 전 후를 비교해보니
교정 전
윗니가 아랫니를 과도하게 덮고 있어
답답해 보였던 치아들이
교정 완료 후
과개교합이 개선되고
아랫니들이 더 잘 보이면서 시원해 보이는 느낌을 줍니다.
또한,
정중선이 일치하면서
치아들이 올바르게 배열된 모습을
확인해 보실 수 있습니다.

교정기간 23/4~24/3(11개월)
돌출된 앞니는
넘어지거나 운동할때 외상을 입게 되면
소중한 치아가 부러지거나 손상될수 있으므로
교정을 통해 예방이 필요합니다 :)
잠실교정치과
인비절라인을 통해
앞니의 각도 개선 뿐만 아니라
과개교합이 해결되면서
치아의 심미적인 요소 뿐만 아니라
기능적인 요소 또한 개선시킬 수 있었어요. :)


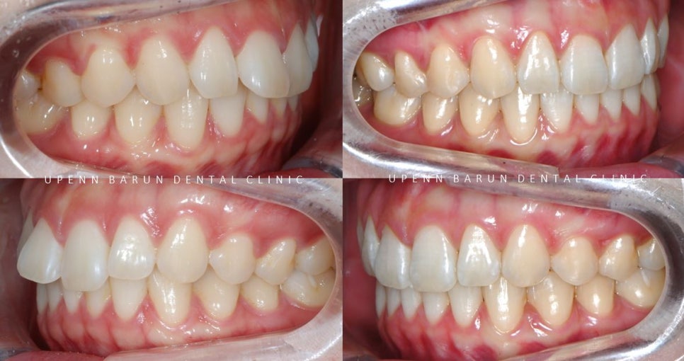
삐뚤빼뚤했던 앞니들이
잠실교정치과 유펜바른치과의
인비절라인 28개의 장치로
올바르게 배열되었습니다.
교정완료 후에는 틀어짐을 방지하기 위해
안쪽에 유지장치로 마무리 해드렸습니다 :)
치아 사이의 공간이 좁고 삐뚤빼뚤해
칫솔이 잘 닿지 않고
치실이나 치간칫솔이 들어가지 않아
치석이 생기기 쉬웠던 이전과 달리
교정 후
치아 배열이 바르게 자리 잡으며
잇몸 관리가 보다 수월해 졌습니다.


Before & Final Smile Photos
인비절라인은
환자와 상담부터 치료과정, 후까지
모든 과정을 디지털로 가능할 수 있도록 하고
다양한 유형의 치료케이스를 편안하고 정교하게 치료할 수 있도록
지속적으로 발전하는 글로벌 투명교정장치 입니다.
2022 인비절라인 플래티넘 등급 달성!
2023년 인비절라인 플래티넘 엘리트 등급 달성!
인비절라인코리아 공식 스피커로 선정된
유펜바른치과 김승우 원장님은 정밀진단, 검토, 수정, 승인 등
인비절라인이 보유한 빅테이터를 바탕으로
치료계획을 클린체크를 통해 시각적으로 구현합니다.


현재
부정교합이 있거나
삐뚤빼뚤한 치아가 있어
활짝 웃지 못하는게
고민이시라면
잠실인비절라인
잠실교정치과
유펜바른치과에서
아름다운 미소를 되찾아 보세요 ♥
김승우 대표원장은
미국 아이비리그 명문 UPenn 치대 졸업,
뉴욕 Albert Einstein 의대 부속병원
몬테피오레 메디컬 센터(Montefiore Medical Center)에서
3년간 정식 교정과 수련을 마친
ABO 미국 치과교정과 전문의 (Diplomate of the American Board of Orthodontics, ABO) 입니다.
ABO는 국내 단 13명 (2022년 2월 기준)으로, 유펜바른치과에서 그 치료를 경험해 보실 수 있습니다.
유펜바른치과에서는 치아교정, 인비절라인교정, 일반진료, 임플란트 및 보존과 전문의, 소아치과 전문의의 협진으로 어린이 진료까지 가능합니다.
"인비절라인코리아 스피커"인
김승우 원장님은 현재
국내 치과의사들과 교정전문의 선생님들을 대상으로
인비절라인 교정치료에 대해 심도있게
"강의하고" "가르치는"
역할을 하고 있습니다.


