


교정기간 23/8~23/12(5개월)
안녕하세요^^
#잠실새내교정치과
#잠실인비절라인
#송파인비절라인
유펜바른치과입니다.
오늘
#잠실새내교정치과
유펜바른치과에서는
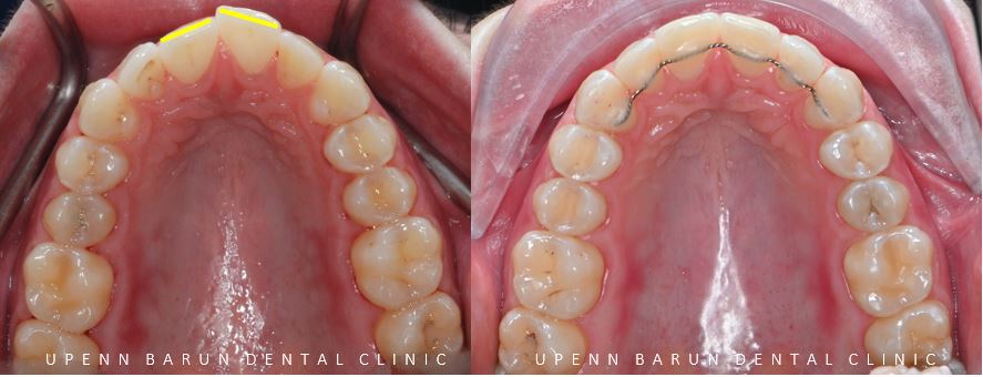
앞니가 삐뚤빼뚤하고
앞니의 길이에 비해
송곳니가 길어서 내려와 보이는게 고민이신
환자분 케이스를 소개해 드리려고 해요.

교정기간 23/8~23/12(5개월)

교정 전 측면사진
정면에서 보았을때
두 앞니의 길이가 달라보이고
측면에서는
앞니 한개가 앞으로 뻐드러져 보입니다.
특히
앞니의 위치나 모양, 크기, 색상 등은
대화하거나 웃을때
심미적으로 많은 비중을 차지하기 때문에
치아교정을 통해 부정교합을 개선시켜 주는것이 중요합니다!
치아교정을 통한 심리적인 영향은
치아 자신감 6.1배 상승
소극적인 미소 93%감소
심미적 걱정 72%감소
출처: 인비절라인
위의 결과처럼
다양한 측면에서 긍정적인 결과를 나타내준다고 합니다.

교정기간 23/8~23/12(5개월)
이처럼
앞니의 배열만 개선하고 싶을때
아랫니는 그대로 둔채
인비절라인익스프레스 교정치료로 '윗니만 교정' 하여
치아 배열을 올바르게 개선할 수 있습니다.
윗니와 아랫니의 교합상태에 따라
아랫니를 함께 교정해야 하는 경우도 있으니
유펜바른치과에서 환자 개개인에 맞는 꼼꼼한 상담 후
진행하시는 것을 추천드립니다. ^^

환자분께서 진행하신
인비절라인은
교정 후 어떻게 변화하는지
'클린체크'를 통해
교정 후 예측되는 치아 모습을 확인 할 수 있습니다 :)
잠실인비절라인
유펜바른치과에서는
인비절라인중에서도 Invisalign Comprehensive와 Lite 케이스에 비해
치아의 비뚤어짐이 심하지 않아 비교적 빨리 끝낼수 있는
'Invisalign Express' 로 진행하기로 하셨습니다.
클린체크란?
환자의 초기 임상 상태부터 최종 교합상태까지 모든 치료 단계를 시뮬레이션하고
치아의 미세한 움직임까지 3차원적으로 컨트롤 할 수 있는 디지털 기술 입니다.
출처: 인비절라인
인비절라인 익스프레스
1st 클린체크 (7개 장치)



교정기간 23/8~23/10 (3개월)
잠실교정치과
잠실인비절라인
7개의 교정장치로 클린체크를 마친 사진입니다.
환자분의 경우
'인비절라인 익스프레스'로
진행이 가능한 케이스로
인비절라인 7개의 장치 (+7개) 총 14개의 장치로 교정이 가능합니다.
'인비절라인 익스프레스' 는
미세한 치아사이공간 닫기나 미세한 총생 등
간단한 앞니교정에 적합하며
빠르고 경제적인 것이 특징입니다.
교정 후의 모습을 예측할 수 있다는것은
인비절라인의 큰 장점중 하나 인데요^^
인비절라인의 클린체크는
치아가 계획대로 이동되는지 치료중에 확인할 수 있으며
치료의 과정을 더 빨리 진행할지 또는
더 천천히 진행할지에 대한
진단으로도 사용 가능합니다.
인비절라인 익스프레스
2nd 클린체크 (7개 장치)


이미 첫번째 클린체크에서
환자분의 고민 해결이 되셨지만
세심한 닥터킴은
인비절라인 익스프레스 옵션인
7 + 7개의 마지막 장치를 이용해
두번째 클린체크를 정밀하게 이어 나갔습니다.
총 14개의 인비절라인 익스프레스 장치로
5개월만에
윗니 교정이 마무리 되었습니다.


치아에 부착된 각기 다른 모양의 레진 어태치먼트
인비절라인은 치아 표면에
손잡이 역할을 하는 '어태치먼트' 를 붙여
치아 이동을 수월하게 도와줍니다.
어태치먼트는
환자분마다, 치아 개별마다
어태치먼트가 있을수도,
없을수도 있습니다.
치아의
-
뿌리이동
-
정출 (솟아지게 하는 것)
-
확장 (악궁을 넓히는 것) 등 각각의
치아이동에 따라 다르게 처방이 내려집니다.
치아에 부착되는 어태치먼트의
미세한 차이로 결과가 확연히 달라질 수 있기때문에
인비절라인의 다양한 경험과
수많은 증례를 경험한
ABO 미국 치과교정과 전문의 의
상담, 진단, 진료가
무엇보다 중요합니다!!!


교정기간 23/8~23/12(5개월)
잠실교정치과
잠실인비절라인
ABO 미국 치과교정과전문의가 상주하는
유펜바른치과에서
교정 후
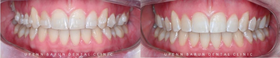
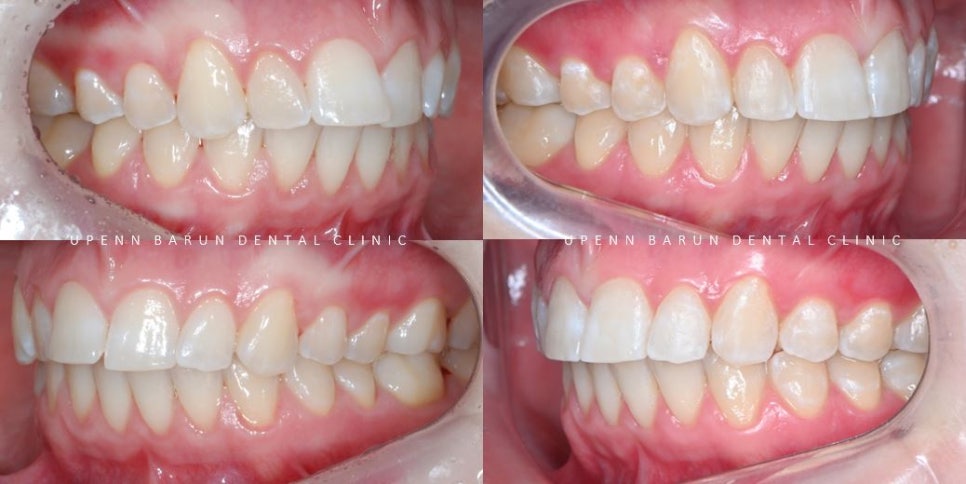
앞니 길이가 맞아지고
뻐드러져 있던 앞니의 각도도 바르게 개선되었습니다.
앞니에 비해 상대적으로 내려와 보였던 송곳니도
교정 완료 후엔
앞니들의 길이가 균형적으로 마무리 되었습니다 :)
-
탈부착이 가능 하고
-
위생적인 관리가 가능한 인비절라인은
일반 철사교정에 비해
3)적은 통증으로 진료 효율을
극대화 할 수 있습니다.

유펜바른치과에서
앞니의 고민을
인비절라인 익스프레스로
짧은기간에 해결해드렸습니다. ^^
다양한 부정교합 케이스에 적용이 가능한
인비절라인으로
잠실새내교정치과
유펜바른치과에서
환한미소를 되찾아보세요 :)
2022 인비절라인 플래티넘 획득
2023년 인비절라인 플래티넘 엘리트 획득
현재 인비절라인코리아 공식 스피커로 선정된
유펜바른치과 김승우 원장님께서는
국내 치과의사들과 교정전문의 선생님들을 대상으로
인비절라인 교정치료에 대해 심도있게
"강의하고" "가르치는"
역할을 하고 있습니다.
김승우 대표원장은
미국 아이비리그 명문 UPenn 치대 졸업,
뉴욕 Albert Einstein 의대 부속병원
몬테피오레 메디컬 센터(Montefiore Medical Center)에서
3년간 정식 교정과 수련을 마친
ABO 미국 치과교정과 전문의 (Diplomate of the American Board of Orthodontics, ABO) 입니다.
ABO는 국내 단 13명 (2022년 2월 기준)으로, 유펜바른치과에서 그 치료를 경험해 보실 수 있습니다.
유펜바른치과에서는 치아교정, 인비절라인교정, 일반진료, 임플란트 및 보존과 전문의, 소아치과 전문의의 협진으로 어린이 진료까지 가능합니다.




