UPenn Barun Dental Clinic - English-speaking U.S. Orthodontist & Dentist for Braces and Invisalign
유학생치아교정 유학생교정치과 잠실교정치과 잠실데이몬교정 데이몬클리어교정 Wide Smile (송파교정치과 잠실새내교정치과 강동교정치과 헬리오시티교정치과 예쁜미소 Smile Arc)
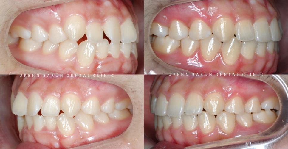
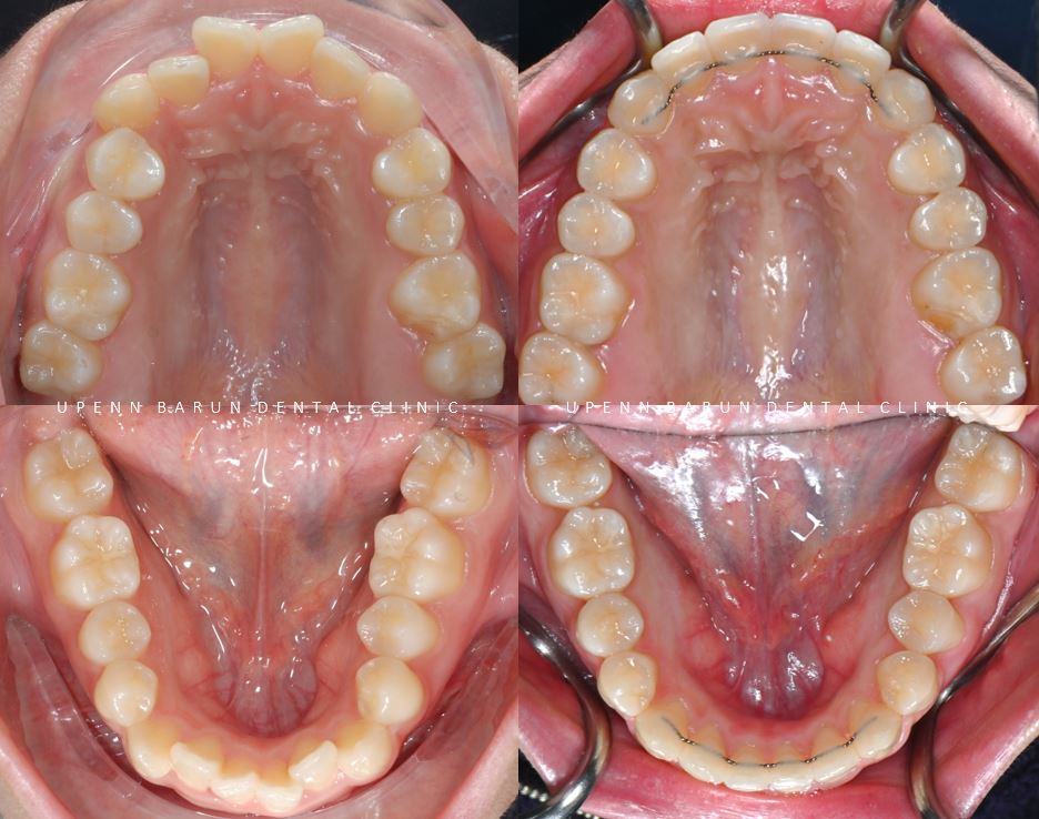
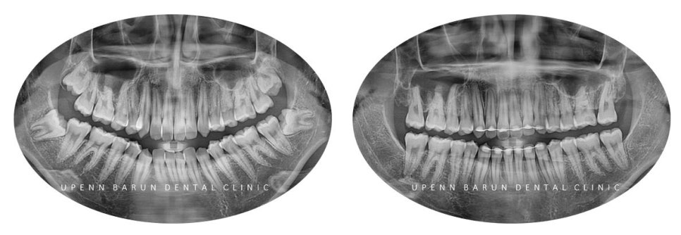
안녕하세요. 잠실새내역교정치과 유펜바른치과입니다 ^^ 교정기간 21/6 ~ 24/2 오늘은 잠실교정치과 유펜바른치과의 데이몬교정 비발치 케이스를 소개해 드리려고 해요 ^^ 환자분께서는 발치할 필요까지는 없었지만 악궁이 좁아 악궁확장을 위한 장치가 필요한 상황이셨는데요, 환자분께서 진행하신 데이몬 교정은 데이몬...
아카이브 요약
이 페이지의 역할
UPenn Barun Dental Clinic - English-speaking U.S. Orthodontist & Dentist for Braces and Invisalign의 네이버 블로그 원문을 보존한 아카이브 페이지입니다. 치아교정 이야기 카테고리의 유학생치아교정 유학생교정치과 잠실교정치과 잠실데이몬교정 데이몬클리어교정 Wide Smile (송파교정치과 잠실새내교정치과 강동교정치과 헬리오시티교정치과 예쁜미소 Smile Arc) 글을 통해 병원의 한국어 정보 제공 방식과 진료 관련 안내 톤을 확인할 수 있습니다.



안녕하세요.
잠실새내역교정치과
유펜바른치과입니다 ^^

교정기간 21/6 ~ 24/2
오늘은
잠실교정치과
유펜바른치과의
데이몬교정 비발치 케이스를 소개해 드리려고 해요 ^^
환자분께서는
발치할 필요까지는 없었지만 악궁이 좁아
악궁확장을 위한 장치가 필요한 상황이셨는데요,
환자분께서 진행하신
데이몬 교정은
데이몬 전용 정품 와이어를 사용함으로서
이 와이어(철사)의 특별한 역할인
'악궁확장기능' 을 이용하여
치료 효과를 극대화 할 수 있습니다.


교정기간 21/6 ~ 24/2
따라서
와이어에 악궁확장 기능이 있는 데이몬 교정장치는
비발치로 진행할지
발치를 해야할지
고민이 되는 선상에 있는 케이스에서
비발치로 치료를 하고 싶은 경우에 많이 사용됩니다.
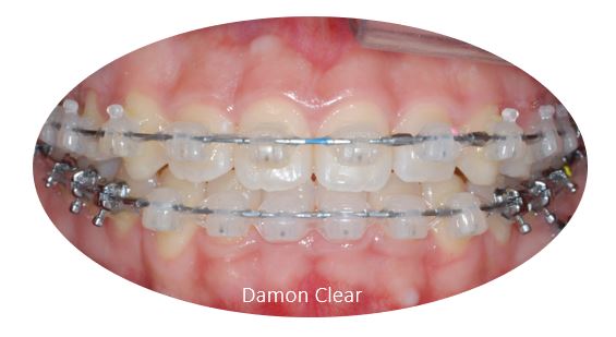
'자가결찰교정장치'에 해당하는
데이몬클리어 교정은
일반 브라켓에 비해 마찰이 적어 치아 이동이 빠르고,
철사의 교정력이 치아에 효과적으로 전달되어 통증이 비교적 적습니다.
또한 브라켓이 둥글둥글한 형태로 이물감이 적고 치석 침착이 적습니다.
또한 치아 색상과 유사해 심미적으로 장치 노출에 대한 걱정을 줄여줍니다.

데이몬 클리어 교정장치는
교정장치로 워낙 유명한 미국 Ormco사의
'자가 결찰 방식' 으로 치아와의 마찰력이 적고 적은 힘이 일정하게 지속되어
비교적 통증이 적고 심미적인 것이 장점입니다.

자가결찰브라켓(Self ligating Bracket) 이 무엇인가요?
와이어와 브라켓을 고무링이나 얇은 철사로 묶는 것이 아니라
여닫이 뚜겅을 통해 와이어를 연결하는 장치 입니다.
자가결찰방식의 교정으로는
데이몬 교정과( Damon) 과 클리피씨 교정 (Clippy-C) 이 대표적입니다.

자가결찰 브라켓의 장점은
고무링이나 철사를 이용하지 않고 뚜껑을 여닫는 슬라이딩 방식으로
마찰력이 적어 교정기간이 단축될수 있고
매달 오시는 진료시간도 단축됩니다.
또 결찰 와이어로 인해 잇몸을 찌르거나
철사가 풀어지는 상황을 예방할 수 있습니다.



교정기간 21/6 ~ 24/2
교정장치마다 특성이 다르고
환자분들의 구강환경이 모두 다르기 때문에
장점이 많은 장치라고 하더라도
개개인에 맞는 적합한 장치를 사용하는것이
진료 효율을 극대화 시킬 수 있습니다.
사실
장치의 종류가 중요하다기 보다는
교정의사의 숙련도, 노하우가 검증된 치과에서 교정치료를 받는것이
중요합니다 ♥
유펜바른치과 김승우 원장님께서는
치아교정의 본고장
미국 뉴욕에서 ABO 미국 치과교정과전문의를 취득하고
수많은 경험과 증례를 통해
환자 개개인의 맞는 섬세한 치료계획을 토대로
교정치료를 진행 해 주십니다.


위 사진은 윗니 아랫니가 접촉되는 면을
spot 으로 나타내주는 사진 입니다.
교정 전에는
중요한 역할을 하는 송곳니가
맞물리는 치아 없이 제 기능을 하지 못하고 있었지만
교정 후
삐뚤빼뚤했던 치아들이 제 위치를 찾으며
심미적으로 개선이 되었을 뿐만아니라
송곳니 등 치아의 역할이 기능적으로 개선이 되었습니다.
교정 완료 후엔
안쪽에 교정 유지장치를 통해 마무리 해드렸습니다 :)

위, 아래 앞니가 정확히 맞물리지 않았던 이전과는 달리
악궁확장기능이 있는 데이몬 교정을 통해 '발치를 하지 않고'
치아들이 제 자리를 찾으며
가지런히 펴졌는데요 ^^
데이몬 교정의 또다른 장점은
웃을때 더 예쁜 데이몬교정의 특징, Damon Smile 입니다.
윗 앞니들의 아랫부분을 연결한 곡선이 아랫입술의 곡선과 평행을 이루어
예쁜 Smile Arc를 그립니다.


우측: 데이몬교정 완료 후 Smile Arc 가 잘 형성됨.
스마일 아크란,
“윗 앞니 여섯개 치아 절단연을 연결한 곡선”과
“웃을때 아랫 입술의 곡선”과의 관계를 말합니다.
그리고 그 두 선들이 평행할 때 우리는 그것을 조화로운 스마일 아크 (Consonant Smile Arc)라고 합니다.


치아 배열은
구강건강 뿐만 아니라
외모, 발음, 저작 등에도 큰 영향을 끼칩니다.
치아교정은
아름다운 미소와 치아건강상의 이점을 가지고 있을뿐만 아니라
치아 교정을 통한 심리적인 영향은
다양한 측면에서 긍정적인 결과를 나타내고 있다고 합니다.
웃을때 자신감이 생기는
데이몬교정!
데이몬클리어!
ABO 미국 치과교정과전문의가 상주하는
잠실교정치과 유펜바른치과에서
아름다운 미소를
되찾아 보세요 ^^
Smile Is The Prettiest Thing You Can Wear
김승우 대표원장은
미국 아이비리그 명문 UPenn 치대 졸업,
뉴욕 Albert Einstein 의대 부속병원
몬테피오레 메디컬 센터(Montefiore Medical Center)에서
3년간 정식 교정과 수련을 마친
ABO 미국 치과교정과 전문의 (Diplomate of the American Board of Orthodontics, ABO) 입니다.
ABO는 국내 단 13명 (2022년 2월 기준)으로, 유펜바른치과에서 그 치료를 경험해 보실 수 있습니다.
유펜바른치과에서는 치아교정, 인비절라인교정, 일반진료, 임플란트 및 보존과 전문의와 소아치과 전문의의 협진으로 어린이 진료까지 가능합니다.



치아교정(ABO공인 미국 치과 교정과 전문의), 충치치료, 임플란트 진료 - 대표 원장님

소아전문의 원장님

보존전문의 원장님

더 보기
이 병원의 공개 콘텐츠를 계속 살펴보세요
출처 아카이브로 돌아가 더 많은 글을 보거나, 병원 프로필로 이동해 다른 공개 채널도 함께 비교해보세요.