

안녕하세요
#잠실새내교정치과
#잠실교정치과
유펜바른치과입니다
잘지내셨나요?

발치교정기간: 22년 2월~24년 7월
치아가 앞으로 튀어나왔고
돌출을 개선하고 싶어요


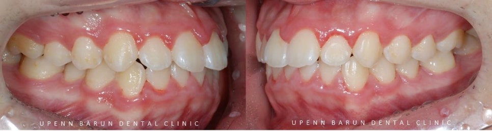
교정 전
오늘은
앞니가 튀어나와
돌출된 입으로 고민이 많으셨던 청소년 환자분의
잠실교정치과로 유명한
유펜바른치과의
발치교정 증례를 소개 해 드리려고 해요 ^^


잠실새내교정치과
잠실청소년교정전문치과
유펜바른치과에서
청소년치아교정을 시작하기에 앞서
교정진단을 먼저 해보니
사진에서 보시는 것처럼 윗니와 아랫니 사이에
꽤나 큰 공간이 관찰되었습니다.
T^T

교정치료 전과 후의 엑스레이를
잠시 감상해 보시면
잠실새내치아교정
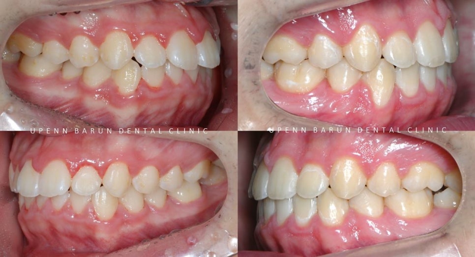
잠실발치교정 후
전과 다르게 돌출된 치아가 들어가면서
뻐드러져 있던 치축이 많이 개선되었습니다 ^^

발치교정기간: 22년 2월~24년 7월
돌출된 앞니를 개선하기 위해서
상대적으로 중요도가 떨어지는
소구치를 발치하고
앞니들이 들어갈 공간을 마련해주어야 하는데요,
그 공간을 이용하여
앞니들을 뒤로 당겨주어야 합니다
그렇다면
발치교정을
유펜바른치과에서 해야하는 이유는 무엇일까요?
잠실교정치과
유펜바른치과 김승우 원장님은
치아교정의 본고장
미국 뉴욕에서 ABO 미국치과교정과전문의를 취득하고
수많은 경험과 증례를 통해
환자 개개인의 맞는 섬세한 치료계획을 토대로
교정치료를 진행해 주시기 때문입니다!!

발치교정기간: 22년 2월~24년 7월
Q. 돌출입은 발치를 꼭 해야 하나요?
돌출입이라고 해서 반드시 발치교정이 필요한것은 아닙니다
환자분의 구강구조, 치아 배열에 따라
닥터킴의
세심한 정밀 진단과 환자분과의 꼼꼼한 상담을 통해
결정이 되는데요~!
발치교정이 꼭 필요한지는
잠실교정치과
청소년교정치과
유펜바른치과에서
진단을 받아보실것을 추천드려요~!


발치교정기간: 22년 2월~24년 7월
교정 전
악궁이 좁아 삐뚤빼뚤했던 치아들이
교정 후
발치된 공간으로 치아들이 올바르게 배열되며
교정치료가 만족스럽게 잘 마무리 되었습니다.
환자분께서 가장 바쁜 고등학생이라
사랑니 발치는 고등학교 졸업 후로 미루셨고,
교정완료 후에는
치아들이 원래 위치로 돌아가는 것을 방지하기 위해
상악과 하악의 앞니 뒤쪽에 고정성 유지장치를
붙여 드렸습니다. :)

잠실새내청소년교정치과
유펜바른치과의
발치교정 후
윗니와 아랫니 사이에 공간이 현저히 줄어들면서
정상적인 교합을 만들어드렸습니다 ^^
청소년기 치아교정의 경우
성인이 되고 난후에 교정치료를 하는것보다
성장기를 활용해
교정치료 기간을 단축시킬 수 있고,
외형적인 변화도 많이 개선 시킬수 있는 것이 장점입니다.


교정치료가 끝난 후의 사진을 보시면
교정치료 전과는 다르게
도드라져 보이던 앞니의 치열과 치축이 개선되면서
가지런하게 정리되고 예쁜 스마일로
바뀐 모습을 볼 수 있습니다. ^^**
웃을때 자신감이 생기는
치아교정
ABO 미국 치과교정과전문의가 상주하는
잠실교정치과 유펜바른치과에서
아름다운 미소를
되찾아 보세요 ♥
Smile Is The Prettiest Thing You Can Wear
김승우 대표원장은
미국 아이비리그 명문 UPenn 치대 졸업,
뉴욕 Albert Einstein 의대 부속병원
몬테피오레 메디컬 센터(Montefiore Medical Center)에서
3년간 정식 교정과 수련을 마친
ABO 미국 치과교정과 전문의 (Diplomate of the American Board of Orthodontics, ABO) 입니다.
ABO는 국내 단 13명 (2022년 2월 기준)으로, 유펜바른치과에서 그 치료를 경험해 보실 수 있습니다.
유펜바른치과에서는 치아교정, 인비절라인교정, 일반진료, 임플란트, 신경치료, 보존과 전문의 및 소아치과 전문의의 협진으로 어린이 진료까지 가능합니다.

치아교정(ABO공인 미국 치과 교정과 전문의), 충치치료, 임플란트 진료 - 대표 원장님

소아전문의 원장님

보존전문의 원장님
