

안녕하세요!
#잠실무턱교정치과
#잠실청소년교정치과
#잠실새내교정잘하는치과
유펜바른치과입니다
잘지내셨나요? :)

오늘은
잠실청소년교정치과
유펜바른치과에서
'돌출입' 과 '무턱' 이 고민이였던
청소년발치교정 증례를 소개 해 드리려고 해요^^

먼저
닥터킴의 정밀한 진단을 위해
i-TERO 로 구강내 스캔을 해보았습니다.
위 사진은 접촉되는 치아면을
spot 으로 표시해 확인해 볼수 있는데요,
화살표의 빨갛게 찍힌 spot들을 보니
아랫니가
윗니의 치아면이 아닌 입천장에 닿고 있었습니다.. ㅠㅠ


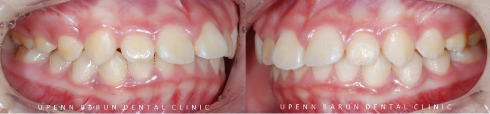
교정치료 전 사진, Initial Photo
정밀진단을 해보니
윗니와 아랫니 사이의
간격이 큰
수평피개 교합과
치아가 너무 깊게 물리는 과개교합
상태였습니다.
이런경우에는
넘어지거나 운동할때 자칫 앞니에 외상을 입어
소중한 치아가 부러지거나 손상될수 있고,
부정교합으로 인한 턱관절 통증이 유발될 수 있으며
아랫니가 입천장에 닿아 입천장 점막이 붓고 통증이 있을 수 있습니다.
또한 음식을 먹을 때 베어 물거나 저작하는 것에 어려움을 느낄 수 있습니다.

교정기간: 22/3~24/3

교정기간: 22/3~24/3
잠실새내교정치과
잠실청소년교정치과
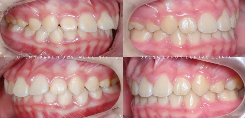
유펜바른치과에서 발치교정 후
돌출되어있던 앞니가 들어가면서 치아가 올바르게 배열되었는데요 :)
깊게 물리던 교합과
입천장에 닿고 있던 아래 앞니들이
제 위치를 찾으며
이상적인 교합으로 마무리 해드렸습니다. ^^


교정기간: 22/3~24/3
잠실새내교정잘하는치과
잠실새내청소년교정치과
유펜바른치과에서
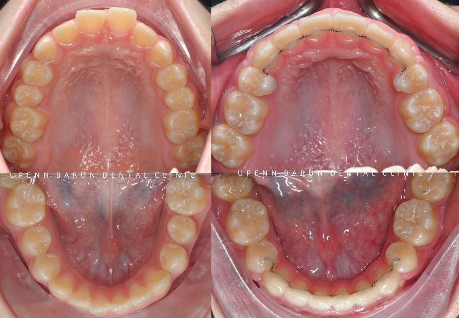
발치교정 완료 후
안쪽 유지장치까지 마무리 해드렸습니다 ^^
유펜바른치과에서는
ABO 미국 치과교정과전문의 대표원장이 상주하여
진료를 하고
청소년기 교정시
교정치료 전, 치료중, 완료 후
충치치료가 필요할 경우
한 원장님께 충치치료와 교정치료를
받을 수 있습니다!

교정기간: 22/3~24/3

교정기간: 22/3~24/3
잠실새내교정전문치과에서
발치교정 후,
돌출되어있던 입이 들어가면서
입이 자연스럽고 예쁘게 다물리고
상대적으로 코가 오똑해 보이고
옆모습에서는
무턱에서 턱라인이 생겨
훨씬 더 예뻐진 모습을
확인 해 보실수 있습니다. ^^
치아교정은
아름다운 미소와 치아건강상의 이점을 가지고 있을뿐만 아니라
치아 교정을 통한 심리적인 영향은
다양한 측면에서 긍정적인 결과를 나타내고 있다고 합니다.
치아교정부터 충치치료까지
같은 원장님께 진료를 받을 수 있는 유펜바른치과에서
자신있는 미소를 되찾아보세요! ♥
김승우 대표원장은
미국 아이비리그 명문 UPenn 치대 졸업,
뉴욕 Albert Einstein 의대 부속병원
몬테피오레 메디컬 센터(Montefiore Medical Center)에서
3년간 정식 교정과 수련을 마친
ABO 미국 치과교정과 전문의 (Diplomate of the American Board of Orthodontics, ABO) 입니다.
ABO는 국내 단 13명 (2022년 2월 기준)으로, 유펜바른치과에서 그 치료를 경험해 보실 수 있습니다.
유펜바른치과에서는 치아교정, 인비절라인교정, 일반진료, 임플란트, 신경치료, 보존과 전문의 및 소아치과 전문의의 협진으로 어린이 진료까지 가능합니다.


