UPenn Barun Dental Clinic - English-speaking U.S. Orthodontist & Dentist for Braces and Invisalign
잠실소아인비절라인 잠실어린이인비절라인 송파인비절라인 잠실인비절라인후기 (잠실새내교정치과 엘스상가교정치과 파인애플상가교정치과 잠실새내역인비절라인 청소년교정후기 잠실인비절라인퍼스트)
안녕하세요^^ #잠실인비절라인 #송파인비절라인 #잠실교정전문치과 유펜바른치과입니다 잘지내셨나요? 오늘은 '덧니' 로 고민이었던 초등학생 인비절라인 사례를 소개 해드리려고 해요 먼저 교정을 시작하기에 앞서 진단해보니 가장 중요한 역할을 하는 치아중 하나인 송곳니가 덧니로 자라고 있고 과개교합(위, 아랫니가 깊게 물리는...
아카이브 요약
이 페이지의 역할
UPenn Barun Dental Clinic - English-speaking U.S. Orthodontist & Dentist for Braces and Invisalign의 네이버 블로그 원문을 보존한 아카이브 페이지입니다. 치아교정 이야기 카테고리의 잠실소아인비절라인 잠실어린이인비절라인 송파인비절라인 잠실인비절라인후기 (잠실새내교정치과 엘스상가교정치과 파인애플상가교정치과 잠실새내역인비절라인 청소년교정후기 잠실인비절라인퍼스트) 글을 통해 병원의 한국어 정보 제공 방식과 진료 관련 안내 톤을 확인할 수 있습니다.


안녕하세요^^
#잠실인비절라인
#송파인비절라인
#잠실교정전문치과
유펜바른치과입니다
잘지내셨나요?
오늘은 '덧니' 로 고민이었던
초등학생 인비절라인 사례를 소개 해드리려고 해요



먼저
교정을 시작하기에 앞서
진단해보니
가장 중요한 역할을 하는 치아중 하나인 송곳니가
덧니로 자라고 있고 과개교합(위, 아랫니가 깊게 물리는 상태)으로
교정이 필요한 상태였습니다.
닥터킴의 진단 후
장치교정과 인비절라인 옵션을 드렸으나,
환자분께서 먼저
잘 보이지 않는
인비절라인을 선호했기에
발치하지 않고 악궁확장기능까지 있는
인비절라인으로 교정을 진행하였답니다.
(초등학생이 보기에도 눈에 잘 띄지 않는 심미적인 교정장치가 끌렸나봅니다 ㅎㅎ )

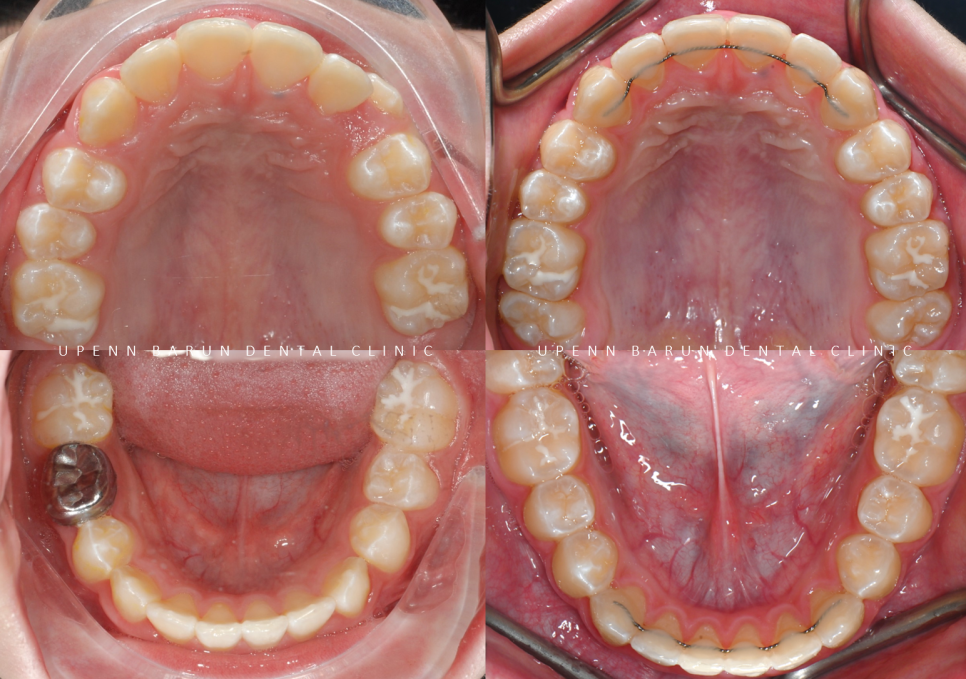
잠실인비절라인교정을 진행하기 전!
엑스레이를 확인해 보니
우측아래 눈에 띄게 까맣게 충치가 있어
충치치료를 마무리 해드리고 교정을 진행해 드렸습니다.
교정부터 충치치료까지 한병원에서 치료가 가능한
유펜바른치과에서
교정을 시작해야 하는 이유!!
눈치채셨나요? ㅎㅎ

US Board-certified Orthodontist
인비절라인은 '클린체크' 프로그램을 통해
초기 상태부터 치료를 마친 최종 상태까지
모든치료 단계를 시뮬레이션하고
치아의 미세한 움직임까지 3D컨트롤 할수 있으며
원장님의 진단 내용을 치아 이동에 바로 반영할 수 있도록 하며
교정 순서, 방향, 속도, 장치 갯수 등 원장님의 치료과정을 컨트롤할 수 있습니다.
인비절라인은 누가 어떻게 디자인을 하느냐에 따라
교정치료 후 다른 결과물이 나올 수 있으므로
높은 숙련도와 경험이 많은 잠실인비절라인교정치과
유펜바른치과에서 시작하는 것이 무엇보다 중요합니다.
이 환자분은 인비절라인의 옵션 중 하나인
인비절라인 컴프리헨시브 (Invisalign Comprehensive) 옵션으로 교정을 진행했습니다.
Invisalign Comprehensive는 부정교합이 비교적 심해 보다 많은 인비절라인 장치가 필요한 경우에 적용됩니다.
→ Comprehensive는 인비절라인 장치 갯수 주문에 제한이 없어
5년동안 원하는만큼 장치를 받아 교정치료를 할 수 있습니다.
→ 혼합치열기의 경우 맹출되는 영구치의 위치에 따라 교정장치 제작이 가능한것이 장점입니다.
그럼 이제
잠실인비절라인
잠실교정치과
유펜바른치과
'클린체크' 프로그램을 통해 치아이동이 어떻게 되는지 살펴볼까요?
ㅎㅎ
1st (40개)


첫번째 클린체크의 영상입니다.
인비절라인의 장점 중의 하나는
교정 후의 모습을 예측할 수 있는것 입니다.
원장님께서 클린체크 디자인을 마치게 되면
인비절라인 교정치료 후에
치아이동이 어떻게 변화하는지 클린체크를 통해 확인 해 볼 수 있는것인데요.
클린체크대로
치아들이 움직이면서 점점 가지런해 지는게 보이시나요?
첫번째 클린체크에서는 총 40개의 장치로
진행 해드렸습니다.

청소년인비절라인
유펜바른치과에서
인비절라인 단 40개의 장치로
악궁이 확장되면서 뻐드러져 있던 송곳니가 제 위치를 찾으며
자리를 잡아 가지런해졌습니다.
2nd(30개)


치아배열이 어느정도 완성이 되었으나
두번째 클린체크 에서는
이전의 클린체크를 보완해 교정치료의 완성도를 높여 줍니다.
첫번째 클린체크에서는 치아의 배열에 중점을 두었다면
두번째 클린체크에서는 위와 아랫니의 교합을 정돈하기 위한 치료를
진행해드렸습니다 ^^
3rd(25개)


인비절라인의 또 다른 장점 중 하나는
악궁 확장에 상당히 효과적인 기능을 가지고 있습니다.
공간이 부족하면 발치교정을 해야 했던 이전과는 달리
특수강화 플라스틱 재질인 인비절라인은
치아를 안쪽과 바깥쪽에서 적은 힘으로 지속적으로 잡아주기 때문에
거의 통증없이 악궁을 확장시켜 치아이동에 관여합니다.
인비절라인은
일반 철사교정에 비해
통증이 적고
일반 철사교정에서 흔하게 발생되는
철사 찔림 현상이나 브라켓탈락으로 응급으로 내원해야 하는 경우들이 아예 없기 때문에
학교와 학원시간 때문에 바쁜 아이들과 청소년 환자분들에게
선호도가 높은 교정장치입니다.
ㅎㅎ

인비절라인 치료기간 22.01 ~ 24.06
세번째 클린체크를 마친 후 사진입니다
wow~!
치아 배열부터 교합까지
거의 완벽하게 마무리가 된것처럼 보이지만
꼼꼼한 닥터킴의 열정은 끝나지 않았는데요 ><
4th(14개)


마지막으로 섬세한 디테일링을 위해
네번째 클린체크
(총 14개의 장치)를 진행해드렸습니다.
소아인비절라인
어린이인비절라인
중학생인비절라인
청소년인비절라인
유펜바른치과에서는
이전의 클린체크와는 어태치먼트의 모양과 위치가
달라져
이전의 클린체크를 보완해 교정치료의 완성도를 높여 줍니다.
마지막 클린체크를 통해
마무리된 치아배열을 확인해 보실까요?


교정기간: 22/1~24/6
치열이 고르지 않고
송곳니가 도드라져 보였던 이전과는 달리,
청소년기인비절라인 교정 후
정중선이 맞아지고 치열이 가지런해지면서
보다 자연스러운 미소를 지어주었습니다.
바쁜 학원과 학교생활에
잦은 치과 방문이 고민이시라면
인비절라인은 정해진 날짜에 장치를 바꾸어 교정하는 방식으로
8주 간격, 길게는 3-4개월 간격으로 내원이 가능합니다.
해외거주자도 가능한 유학생인비절라인은
시간적으로 여유가 없는 청소년과 직장인분들의 경우에 특히 더 적합한 교정장치입니다.
인비절라인은 철사교정에 비해 심미적이며 비교적 통증이 적고 이물감이 덜해
청소년기에 가장 선호하는 교정장치입니다.
ABO 미국치과교정과전문의의
높은 숙련도와 많은 경험을 토대로
2022년 인비절라인 플래티넘 등급,
2023년 인비절라인 플래티넘엘리트 등급을 달성한
유펜바른치과에서 당신의 예쁜 미소를 위해
인비절라인을 시작해 보시는건 어떠실까요?

김승우 대표원장은
미국 아이비리그 명문 UPenn 치대 졸업,
뉴욕 Albert Einstein 의대 부속병원
몬테피오레 메디컬 센터(Montefiore Medical Center)에서
3년간 정식 교정과 수련을 마친
ABO 미국 치과교정과 전문의 (Diplomate of the American Board of Orthodontics, ABO) 입니다.
ABO는 국내 단 13명 (2022년 2월 기준)으로, 유펜바른치과에서 그 치료를 경험해 보실 수 있습니다.
유펜바른치과에서는 치아교정, 인비절라인교정, 일반진료, 임플란트 및 보존과 전문의, 소아치과 전문의의 협진으로 어린이 진료까지 가능합니다.

치아교정(ABO공인 미국 치과 교정과 전문의), 충치치료, 임플란트 진료 - 대표 원장님

소아전문의 원장님

보존전문의 원장님


더 보기
이 병원의 공개 콘텐츠를 계속 살펴보세요
출처 아카이브로 돌아가 더 많은 글을 보거나, 병원 프로필로 이동해 다른 공개 채널도 함께 비교해보세요.