UPenn Barun Dental Clinic - English-speaking U.S. Orthodontist & Dentist for Braces and Invisalign
인비절라인 공식 스피커가 상주하고 치료하는 송파교정잘하는치과 유펜바른치과 (잠실성인교정 잠실재교정 잠실인비절라인 성인인비절라인교정 잠실나루역교정치과 문정동교정치과 삼전역교정치과)
안녕하세요 :) 잠실교정치과 잠실인비절라인 유펜바른치과입니다 모두 잘 지내셨나요? 교정기간: 2023/2~2024/5 치아 사이에 음식이 잘 껴요, 앞니가 틀어져 튀어나와 있어요 돌출입도 개선하고 싶어요 T^T 인비절라인 오늘은 위의 주소로 내원하신 환자분의 증례를 소개해 드리려고 해요 :) i-tero 스캐너 장...
아카이브 요약
이 페이지의 역할
UPenn Barun Dental Clinic - English-speaking U.S. Orthodontist & Dentist for Braces and Invisalign의 네이버 블로그 원문을 보존한 아카이브 페이지입니다. 치아교정 이야기 카테고리의 인비절라인 공식 스피커가 상주하고 치료하는 송파교정잘하는치과 유펜바른치과 (잠실성인교정 잠실재교정 잠실인비절라인 성인인비절라인교정 잠실나루역교정치과 문정동교정치과 삼전역교정치과) 글을 통해 병원의 한국어 정보 제공 방식과 진료 관련 안내 톤을 확인할 수 있습니다.


안녕하세요 :)
잠실교정치과
잠실인비절라인
유펜바른치과입니다
모두 잘 지내셨나요?

교정기간: 2023/2~2024/5
치아 사이에 음식이 잘 껴요,
앞니가 틀어져 튀어나와 있어요
돌출입도 개선하고 싶어요 T^T
인비절라인
오늘은
위의 주소로 내원하신 환자분의 증례를
소개해 드리려고 해요 :)


i-tero 스캐너 장치를 이용하여 구강내를 스캔한 사진 입니다
윗니 아랫니 사이의 공간이
더 명확하게 보여지는데요
환자분께서는
앞니가 틀어져 튀어나와 있고
치아 사이에 음식물이 잘 끼며
오른쪽 사진과 같이 윗니 아랫니가 잘 닿지 않아
음식을 앞니로 끊어드시기 힘든 상황이었습니다. ㅠㅠ
삐뚤빼뚤하고 튀어나온 치아를
가지런하게 하고 활짝 웃게 해주는
최첨단 글로벌 투명교정장치 인비절라인은
어떠한 변화를 보여줄까요?
최첨단 글로벌 투명교정장치 인비절라인은
전세계 환자 데이터를 기반으로 구축된 ClinCheck 소프트웨어를 사용하여
모든 치아의 이동을 미세하게 조정하고 계획합니다.
클린체크란?
치아를 스캔하고난 후 예측되는 치아의 이동을 여러 단계에 걸쳐 나타내는
시뮬레이션 입니다.
잠실재교정잘하는치과
잠실성인교정잘하는치과
잠실인비절라인잘하는치과
유펜바른치과에서
치아들이 어떻게 클린체크대로
이동하는지 확인해 보실까요?
1st Clincheck (16개 장치)


클린체크대로
치아들이 움직이면서 점점 가지런해 지는게 보이시나요?
첫번째 클린체크에서는
잠실인비절라인치과 유펜바른치과에서
총 16개의 장치로
진행 해드렸습니다.
악궁이 점점 확장되면서 삐뚤빼뚤했던 치아들이 가지런하게 배열되고,
윗니 아랫니 사이의 공간이 점점 닫히며,
치아 끼리 닿았던 교합이
개선되면서 정상적인 교합으로
변하고 있는 모습을 확인해 보실 수 있습니다 ^^

2023/2~2023/7
단 16개의 장치로 변화된 치아 사진 입니다 :)
치아끼리 맞닿았던 이전과 달리
송파인비절라인치과
유펜바른치과의 인비절라인 16개의 장치로
교합이 개선되어 변화된 모습입니다.
2nd (11개 장치)


사실 첫번째 클린체크를 마치고는
환자분께서 마무리해도 될것 같다고 하셨지만,
유펜바른치과 김승우 원장님께서는
보다 섬세한 치료의 마무리를 위해
두번째 클린체크를 진행해주셨습니다. ㅎㅎ

2023/7~2023/10
두번째는 11개의 장치로
치아 배열과 함께 교합이
개선되고 있는 모습을 보여줍니다.
첫번째 클린체크에서
치아배열이 어느정도 완성이 되었으나,
두번째 클린체크 에서는
이전의 클린체크를 보완해 교정치료의 완성도를 높여 줍니다.
인비절라인의 효과는 저희가 봐도 놀라울때가 많습니다.
처음 저희병원에 내원해 주셨을때보다
눈에 띄게 부정교합이 개선되었을 뿐만 아니라
치열이 가지런해지고 잇몸관리가 수월해지면서
치주상태가 눈에 띄게 개선되었어요 :)
3rd(12개 장치)


세번째 클린체크는 12개의 장치로 진행해드렸습니다
치아 배열부터 교합까지
거의 완벽하게 마무리가 된것처럼 보이지만
꼼꼼한 닥터킴의 열정은 끝나지 않았는데요 ><
인비절라인은 누가 어떻게 디자인을 하느냐에 따라
치료결과가 확연히 다르게 나타날수 있으므로
높은 숙련도와 경험이 많은
잠실인비절라인교정치과
송파인비절라인잘하는치과
유펜바른치과에서 시작하는 것이 무엇보다 중요합니다.
4th(9개 장치)



2024/3~2024/5
마지막으로 네번째 클린체크를 통해
정말 디테일한 부분까지 상호보완, 개선하여
9개의 장치로 교정치료를 마무리 하셨는데요.
환자의 초기 임상 상태부터 최종교합상태까지
모든 치료 단계를 시뮬레이션하고
치아의 미세한 움직임까지 3차원적으로 컨트롤 할 수 있는 인비절라인으로
치아들이 제 위치를 찾으며 정상적인 교합으로 마무리 되셨습니다.
WOW~!


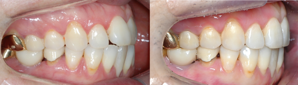
교정기간: 2023/2~2024/5
잠실새내역교정치과
잠실새내역인비절라인
ABO 미국 치과교정과전문의가 상주하는
유펜바른치과에서
인비절라인교정 후
틀어지고 튀어 나와있던 앞니들이 가지런해지고
윗니와 아랫니의 교합이 바르게 개선되었습니다.
교정 완료 후
안쪽 유지장치까지 마무리 해드렸습니다 :)

튀어나와있던 앞니가 개선되면서
웃을때 보다 정돈되고 깔끔한 이미지를 줍니다.
ABO 미국치과교정과전문의의
높은 숙련도와 많은 경험을 토대로
2022년 인비절라인 플래티넘등급
2023년 인비절라인 플래티넘엘리트등급 을 달성한
유펜바른치과!!
2024년 인비절라인코리아의 공식 스피커로 선정된
유펜바른치과 김승우 원장님과 함께
다양한 부정교합 케이스에 적용이 가능한
인비절라인으로
환한미소를 되찾아보세요 :)
"인비절라인코리아 공식 스피커"인
김승우 원장님은 현재
국내 치과의사들과 교정과전문의 선생님들을 대상으로
인비절라인 교정치료에 대해 심도있게
"강의하는"
역할을 맡고 있습니다.
김승우 대표원장은
미국 아이비리그 명문 UPenn 치대 졸업,
뉴욕 Albert Einstein 의대 부속병원
몬테피오레 메디컬 센터(Montefiore Medical Center)에서
3년간 정식 교정과 수련을 마친
ABO 미국 치과교정과 전문의 (Diplomate of the American Board of Orthodontics, ABO) 입니다.
ABO는 국내 단 13명 (2022년 2월 기준)으로, 유펜바른치과에서 그 치료를 경험해 보실 수 있습니다.
유펜바른치과에서는 치아교정, 인비절라인교정, 일반진료, 임플란트 및 보존과 전문의, 소아치과 전문의의 협진으로 어린이 진료까지 가능합니다.




더 보기
이 병원의 공개 콘텐츠를 계속 살펴보세요
출처 아카이브로 돌아가 더 많은 글을 보거나, 병원 프로필로 이동해 다른 공개 채널도 함께 비교해보세요.