UPenn Barun Dental Clinic - English-speaking U.S. Orthodontist & Dentist for Braces and Invisalign
송파인비절라인퍼스트 인비절라인어린이교정 11개월만에 끝낸 후기(잠실인비절라인 잠실파인애플상가교정치과 인비절라인소아교정후기 인비절라인플래티넘엘리트등급)
안녕히세요 잠실소아인비절라인 잠실인비절라인1차교정 잠실인비절라인퍼스트잘하는치과 잠실소아교정전문치과 유펜바른치과입니다 잘 지내셨나요? ㅎㅎ 교정기간 23/8~24/7 오늘은 만 8세 어린이의 잠실교정치과 유펜바른치과의 인비절라인퍼스트 케이스를 소개해 드리려고 해요^^ 교정기간 23/8~24/7 먼저 닥터킴의 정밀한 진단을...
아카이브 요약
이 페이지의 역할
UPenn Barun Dental Clinic - English-speaking U.S. Orthodontist & Dentist for Braces and Invisalign의 네이버 블로그 원문을 보존한 아카이브 페이지입니다. 치아교정 이야기 카테고리의 송파인비절라인퍼스트 인비절라인어린이교정 11개월만에 끝낸 후기(잠실인비절라인 잠실파인애플상가교정치과 인비절라인소아교정후기 인비절라인플래티넘엘리트등급) 글을 통해 병원의 한국어 정보 제공 방식과 진료 관련 안내 톤을 확인할 수 있습니다.


안녕히세요
잠실소아인비절라인
잠실인비절라인1차교정
잠실인비절라인퍼스트잘하는치과
잠실소아교정전문치과
유펜바른치과입니다
잘 지내셨나요?
ㅎㅎ

교정기간 23/8~24/7
오늘은
만 8세 어린이의
잠실교정치과
유펜바른치과의
인비절라인퍼스트 케이스를 소개해 드리려고 해요^^

교정기간 23/8~24/7

먼저 닥터킴의 정밀한 진단을 위해
i-TERO 로 구강내 스캔을 해보았습니다.
위 사진은 접촉되는 치아면을
spot 으로 표시해 확인해 볼수 있는데요,
노란원 안의 찍힌 spot들을 보니
아랫니가
윗니의 치아면이 아닌 입천장에 닿고 있었습니다.
T^T

아래 앞니의 잇몸 퇴축도 진행되고 있는 상황이었어요 ㅜ

교정기간 23/8~24/7
유펜바른치과의
정밀진단 결과
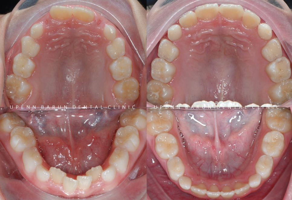
치아가 너무 깊게 물리는 과개교합
상태였습니다.

과개교합은
윗니가 아랫니를 비정상적으로 깊게 덮고 있어
아랫니가 잘 보이지 않고
어린 나이에도 불구하고
아래 치아에 마모가 관찰되는 것이 특징입니다.
이런경우
-
아랫니가 입천장에 닿아 입천장 점막이 붓고 통증이 있을 수 있습니다.
-
음식을 먹을 때 베어 물거나 저작하는 것에 어려움을 느낄 수 있습니다.
-
또한 아랫니가 입천장에 닿아 어린 나이에도 불구하고
외상에 의한 잇몸퇴축이 발생할 수 있습니다 ㅠ.ㅠ


교정기간 23/8~24/7
잠실소아교정전문치과
잠실인비절라인전문치과
유펜바른치과 에서
인비절라인 퍼스트를 통해
11개월 만에 소아교정을 마무리 해드렸습니다 :)
인비절라인퍼스트 (=인비절라인1차교정)란?
→ 성장과정에 있는 6-10세 아이들에 특화된
인비절라인 장치입니다.
6-10세의 초기 혼합치열기 어린이들을 위한 교청치료로
어린이들의 턱뼈의 성장과 맹출 치아에 발생되는 문제를 확인 할 수 있습니다.
치아의 배열과 공간의 확보를 동시에 하여
영구치의 올바른 맹출에 도움을 줍니다.
인비절라인 시뮬레이션을 통해
어린이의 교합 및 정렬의 치아 관계를 평가하고, 어떻게 발전할지 예측할 수 있습니다.
턱 성장 등 골격적인 문제를 개선할 수 있으며
탈착이 가능하여, 구강위생에 용이합니다.
1st Clincheck (27개)



23/8~24/1
인비절라인은 ' 클린체크' 프로그램을 통해
어린이의 교합 및 정렬의 치아 관계를 평가하고, 어떻게 발전할지 예측할 수 있습니다.
첫번째 클린체크에서는 27개의 장치로 마무리 해드렸습니다.
치아가 너무 깊게 물리는 과개교합이
눈에 띄게 개선된 모습을 확인해 보실 수 있습니다 :)
'인비절라인퍼스트'는
아이들의 유치와 영구치에
딱맞게 제작되고
5일~7일에 한번씩 새로운 장치로 갈아끼게 되므로 위생적입니다.
기존 교정장치에 비해 이물감과 통증이 적고
탈착이 가능하여 양치가 용이해 충치 가능성이 비교적 낮습니다.
격한 움직임이나 운동에도 위험이 적고 세척이 쉬워 관리가 용이 합니다.
일반 브라켓 교정처럼 찔리거나 브라켓이 탈락하여 치과를 급하게 와야 하는 경우가 드뭅니다.
2nd Clincheck (10개)



교정기간 24/1~24/4
두번째 클린체크 는
인비절라인 10개의 장치로 이어서 진행해드렸습니다.
첫번째 클린체크에 추가적으로 어태치먼트를 부착하여
치아배열을 개선시켜 주었습니다.
어태치먼트란?
치아의 회전이나, 이동, 높이, 각도 등을 조절할 수 있는 장치로
레진을 치아에 부착해서
치아의 이동을 원하는 위치로 올바르게 배열시켜 주는
인비절라인에서 없어서는 안 될 필수 요소입니다.
잠실
성장기아이를 위한 인비절라인퍼스트는
혼합치열기에 있는 어린이환자들에게 맞춤형 기능을 제공합니다.
예측성이 높은 악궁 확장과 맹출중인 영구치열의 공간확보에 유리합니다.
악궁형태 발달, 맹출중인 치열공간 유지 등 광범위한 부정교합에 대한 치료를 제공합니다.
3rd Clincheck (6개)


교정기간 24/4~24/7

교정기간 23/8~24/7
세번째 클린체크는 6개의 인비절라인 장치를 통해
이전의 클린체크를 상호 보완, 개선 하여 마무리 해드렸습니다.



교정기간 23/8~24/7
어린이, 청소년기 교정의 경우
성인이 되고 난후에 교정치료를 하는것보다
성장기를 활용해 교정기간을 단축시킬 수 있고,
골격적인 부정교합을 미리 해소할 수 있으며
외형적인 변화도 많이 개선 시킬수 있는 것이 장점입니다.
반대교합의 경우 조기에 치료해 줌으로서
잇몸퇴축 예방, 뿌리 흡수, 그리고
추후 턱수술의 가능성을 줄여주기도 합니다.
따라서,
올바른 성장을 유도하면서
적절한 시기에 맞춰
교정치료를 시작하는 것이 매우 중요합니다.
ABO 미국치과교정과전문의의
높은 숙련도와 많은 경험을 토대로
2022년 인비절라인 플래티넘 등급,
2023년 인비절라인 플래티넘엘리트 등급을 달성한
유펜바른치과에서 아이들의 밝은 미소를 위해
인비절라인을 시작해 보시는건 어떠실까요?
김승우 대표원장은
미국 아이비리그 명문 UPenn 치대 졸업,
뉴욕 Albert Einstein 의대 부속병원
몬테피오레 메디컬 센터(Montefiore Medical Center)에서
3년간 정식 교정과 수련을 마친
ABO 미국 치과교정과 전문의 (Diplomate of the American Board of Orthodontics, ABO) 입니다.
ABO는 국내 단 13명 (2022년 2월 기준)으로, 유펜바른치과에서 그 치료를 경험해 보실 수 있습니다.
유펜바른치과에서는 치아교정, 인비절라인교정, 일반진료, 임플란트, 신경치료, 보존과 전문의 및 소아치과 전문의의 협진으로 어린이 진료까지 가능합니다.

치아교정(ABO공인 미국 치과교정과 전문의), 충치치료, 임플란트 진료 - 대표 원장님

소아전문의 원장님

보존전문의 원장님
더 보기
이 병원의 공개 콘텐츠를 계속 살펴보세요
출처 아카이브로 돌아가 더 많은 글을 보거나, 병원 프로필로 이동해 다른 공개 채널도 함께 비교해보세요.