

인비절라인 공식스피커 김승우원장
안녕하세요 ^^
잠실인비절라인잘하는치과
잠실새내역교정치과
잠실나루역교정치과
유펜바른치과 입니다.
잘 지내셨나요?
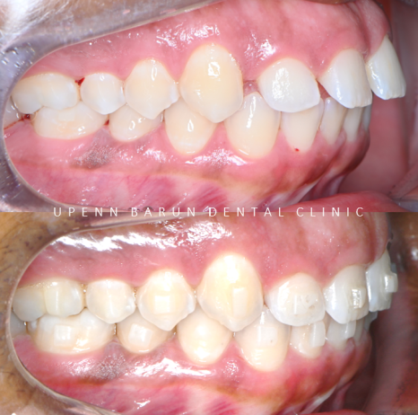
치아사이의 틈이 있어요
공간을 없애고 싶어요

이번에 소개해 드릴 증례는
'앞니벌어짐교정‘ 을 주소로
고민이 많으셨던 환자분 이신데요.
치아 사이의 틈을 메꾸는 방법은
라미네이트나 레진으로 치료를 하기도 하지만
건강한 치아를 깎지 않고
보존적으로 유지하면서
치아 사이의 공간을 닫고
앞니를 올바르게 배열해 줄 수 있는
치아교정치료가 가장 좋은 치료라고 생각됩니다. ^^

또한 치아 사이의 간격이 큰경우나
앞니 벌어짐이 한곳이 아니라
여러곳이 있는 경우
더더욱 잠실치아교정치료를
추천드립니다!!
치아교정은 치열의 부조화를
기능적, 심미적으로 개선하기 위한 치료로서,
치아건강과 배열은 외적인 요소에
큰 영향을 끼칩니다.

교정기간 23/10~24/2
삼성역교정치과
유펜바른치과에서
인비절라인라이트 옵션으로 진행해드렸는데요 :)
Invisalign Lite는 부정교합이 심하지 않고,
주로 앞니가 틀어진
앞니부분교정이나
재교정케이스에서
많이 사용되고 있습니다.
치료기간은 주로
4개월에서 10개월정도 소요됩니다.
인비절라인라이트 (Invisalign Lite) 옵션은
인비절라인컴프리헨시브 (Invisalign Comprehensive)옵션까지
쓸 필요는 없는
"심하지 않은 부정교합"
증례에 쓸 수 있습니다.
총 14개 (+추가 14개)
총 28개의 장치를 통해
교정을 마무리 할수 있는
기간도 비교적 짧으며
비용도 다소 저렴한 것이
장점인 인비절라인 옵션입니다.
일반철사교정에서의
앞니부분교정으로 해결할 수 있는
대부분의 증례에서
인비절라인라이트 옵션은
정말 좋은 선택이 될 수 있습니다.
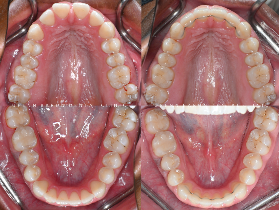
1st Clincheck





교정기간 23/10~24/2
인비절라인 첫번째 클린체크를 보시면
14개의 장치로
인비절라인라이트로 5개월만에
앞니사이의 틈이 해결 되었습니다!
우측 또한 클린체크대로
치아 사이의 공간을 이용해
뻐드러져 있던 치아들이 제 위치를 찾아갔습니다.
환자분께서는
첫번째 클린체크로도 만족해 하셨지만,
두번째 클린체크를 이용해
섬세한 치료를 이어 갔습니다. ^^
2nd Clincheck


교정기간 24/2~24/7
두번째 클린체크인
추가 14개 장치로 마무리 해드렸습니다 ^^
추가적으로 3개의 어태치먼트를
부착하여 진행해드렸는데요,


치아에 부착된 '어태치먼트'는
일반적인 충치치료 재료인 레진으로
치아의 이동에 관여 합니다.
어태치먼트는
각기 다른 모양들로
치아의 뿌리이동, 정출, 확장 등 각각의
치아이동에 따라 다르게 처방이 내려집니다.
치아에 부착되는 어태치먼트의
미세한 차이로
인비절라인치료결과가 달라질 수 있기 때문에
치료하는 술자가
인비절라인의 다양한 경험과
수많은 증례를 경험한
ABO 미국치과교정과전문의 인지
알아보고 시작하시는것이 중요합니다!!!


교정기간: 23/10~ 24/7

교정기간: 23/10~ 24/7
잠실인비절라인
유펜바른치과에서 총 28개의 투명교정장치인
인비절라인라이트케이스로 마무리 된 사진입니다.
환자분처럼
치아 사이의 틈이 있고
치아의 크기가 정상적인 경우에
교정력을 이용해
비교적 쉽고 간단히
치아 사이의 틈을
닫아줄 수 있습니다.
앞니가 벌어져 활짝 웃지 못하고
발음이 새고
음식물이 잘끼었던
이전과 달리
앞니 사이의 공간이 닫히면서
심미적인 부분 뿐만 아니라
기능적으로도 개선이 되었습니다.

교정 완료 후 정면을 촬영한 모습인데요^^
치아 사이의 틈이 메꿔지면서
뻐드러져 있던 앞니들이 안쪽으로 들어가고
입이 살짝 들어가 보이는 효과까지 얻을 수 있었습니다.
벌어진 앞니 때문에
활짝 웃지 못해 고민중이시라면
잠실인비절라인전문치과
송파인비절라인전문치과
유펜바른치과에서
환한 미소를 되찾아보세요!!!
김승우 대표원장은
미국 아이비리그 명문 UPenn 치대 졸업,
뉴욕 Albert Einstein 의대 부속병원
몬테피오레 메디컬 센터(Montefiore Medical Center)에서
3년간 정식 교정과 수련을 마친
ABO 미국 치과교정과 전문의 (Diplomate of the American Board of Orthodontics, ABO) 입니다.
ABO는 국내 단 13명 (2022년 2월 기준)으로, 유펜바른치과에서 그 치료를 경험해 보실 수 있습니다.
유펜바른치과에서는 치아교정, 인비절라인교정, 일반진료, 임플란트 및 보존과전문의와 소아치과 전문의의 협진으로 어린이 진료까지 가능합니다.

