


안녕하세요
유펜바른치과입니다 :)
모두 잘 지내셨나요?
오늘은 드디어
치과위생사의 세번째 이야기로 돌아왔습니다 ><
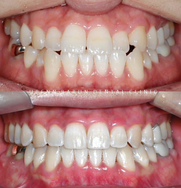
윗니, 아랫니가 반대로 물리는
주걱턱 경향의 3급 부정교합 인 경우
인비절라인은 어떤 변화를 보여줄 수 있을까요?
치아교정은 치열의 부조화를
기능적, 심미적으로 개선하기 위한 치료로써,
치아건강과 배열은 외적인 요소에 큰 영향을 끼칩니다.


교정기간 21/4~24/3
wow~!
잠실교정치과
주걱턱반대교합교정
잠실비발치인비절라인 교정후
반대교합이 개선되며 치열이 가지런해졌습니다.
놀랍게도 최첨단 글로벌 투명교정장치 인비절라인은
지난 20여년간 눈부신 발전으로
반대교합의 개선, 발치교정, 비발치교정, 과개교합, 개방교합, 수술교정 등
다양한 복합케이스에 적용이 가능하도록 설계 되었습니다.


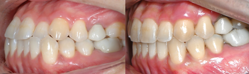
반대교합으로 아래턱이 도드라져 보였던 이전과는 달리
잠실교정치과
비발치인비절라인으로
반대교합이 개선되면서
옆모습의 입술과 턱라인이 정리된 모습입니다 :)
교정을 시작하기 앞서
같은 원장님께 교정, 충치치료까지 가능한
유펜바른치과에서
충치치료를 마무리 해드리고 교정을 진행해드렸습니다 :)

교정기간 21/4~24/3

교정기간 21/4~24/3
환자분께서는
인비절라인 중에서도
부정교합이 비교적 심해 보다 많은 인비절라인 장치가 필요한 경우에 적용되는
Comprehensive option 으로 네번의 클린체크를 통해
교정치료를 진행하셨습니다.
- Comprehensive는 인비절라인 장치 갯수 주문에 제한이 없어 5년동안 원하는만큼 장치를 받아 교정치료를 할 수 있습니다. *
1st(46개)


인비절라인의 장점 중의 하나는
교정 후의 모습을 예측할 수 있는것 입니다.
원장님께서 클린체크 디자인을 마치게 되면
인비절라인 교정치료 후에
치아이동이 어떻게 변화하는지 클린체크를 통해 확인 해 볼 수 있는것인데요.
클린체크대로
치아들이 움직이면서 점점 가지런해 지는게 보이시나요?
첫번째 클린체크에서는 잠실교정치과 유펜바른치과에서 총 46개의 장치로
진행 해드렸습니다.
악궁이 점점 확장되면서 삐뚤빼뚤했던 치열들이 가지런하게 배열되고,
윗니 아랫니 사이의 공간이 점점 닫히며,
반대교합이 개선되면서 정상적인 교합으로
변하고 있는 모습을 확인해 보실 수 있습니다 ^^

중간점검 결과
클린체크대로
치아 사이의 틈이 생기며 치아의 이동이 잘되고 있었답니다 :)
2nd(31개)



두번째 클린체크에서도
우측 아래 치아 전체를
뒤로 미는것에 중점을 두어
큰 어금니들을 먼저 뒤로 밀며 생기는 사이의 틈을 이용해
앞니들을 가지런하게 배열해주었습니다.
어금니들의 대 이동!
쉽지 않은 과정이었지만 닥터킴은 섬세한 치료의 마무리를 위해
다음 클린체크를 이어나가셨습니다 :)
3rd(29개)



위 사진은 세번째 클린체크를 모두 마친후의 사진입니다
어금니들이 제 위치를 찾고 정중선이 맞춰졌습니다
환자분께서는
이상태로도 너무 만족해하셔서
여기서 교정 끝내도 될것 같다고 하셨어요 ㅎㅎ
HOWEVER,
완벽함을 추구하는 닥터킴은
마지막 클린체크를 이어가셨습니다!
인비절라인은 누가 어떻게 디자인을 하느냐에 따라
교정치료 후 다른 결과물이 나올 수 있으므로
높은 숙련도와 경험이 많은
잠실인비절라인전문치과
잠실인비절라인잘하는곳
유펜바른치과에서 시작하는 것이 무엇보다 중요합니다.
4th(11개)



네번쩨 클린체크를 끝으로
정말 디테일한 부분까지 상호보완, 개선하여
좀더 섬세한 작업을 통해 마무리를 해드렸습니다 ^^
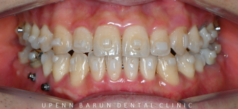
전체적으로 위,아랫니들이
제 위치를 찾으며 정리가 되었습니다!!
어금니들의 대이동이 끝이나고
클린체크의 예상대로 교정 마무리가 잘 되었어요!!
윗니와 아랫니 사이의 틈이 사라지고,
윗니를 덮고 있던 아랫니들이 제 위치를 찾으며 부정교합이 개선되었을 뿐만 아니라
정중앙선이 일치하도록 마무리 해드렸습니다 :)
교정완료 후엔
미백맛집이기도 한 유펜바른치과의 전문가미백치료로 치아들이 한층 더 밝아진 모습입니다.



치아는 심미적인 부분에서도 중요한 역할을 하지만
음식물 저작과 발음에도 중요한 영향을 미칩니다.
인비절라인으로 교정 후
위, 아랫니 사이에 틈이 줄어들면서 발음이 개선되고
구강 내 각자의 역할을 조화롭게 도와주어
기능적인 부분을 회복 하실 수 있었어요 :)


교정기간 21/4~24/3
SMILE IS THE PRETTIEST THING YOU CAN WEAR!
반대교합으로
활짝 웃지 못해 고민중이시라면
ABO 미국치과교정과전문의가 상주하는
잠실교정치과
잠실인비절라인전문치과
송파인비절라인전문치과
유펜바른치과에서
아름다운 미소를
되찾아보세요 ❤️
김승우 대표원장은
미국 아이비리그 명문 UPenn 치대 졸업,
뉴욕 Albert Einstein 의대 부속병원
몬테피오레 메디컬 센터(Montefiore Medical Center)에서
3년간 정식 교정과 수련을 마친
ABO 미국 치과교정과 전문의 (Diplomate of the American Board of Orthodontics, ABO) 입니다.
ABO는 국내 단 13명 (2022년 2월 기준)으로, 유펜바른치과에서 그 치료를 경험해 보실 수 있습니다.
유펜바른치과에서는 치아교정, 인비절라인교정, 일반진료, 임플란트 및 보존과전문의와 소아치과 전문의의 협진으로 어린이 진료까지 가능합니다.



치아교정(ABO공인 미국 치과 교정과 전문의), 충치치료, 임플란트 진료 - 대표 원장님

소아전문의 원장님

보존전문의 원장님