


안녕하세요!
잠실투명교정치과
인비절라인높은등급
유펜바른치과입니다
모두 잘 지내셨나요?
치아 사이에 틈이 있어요.
해결방법이 있을까요?
오늘은 위의 주소로 내원해주신 환자분 케이스를
소개해드리려고 해요^^

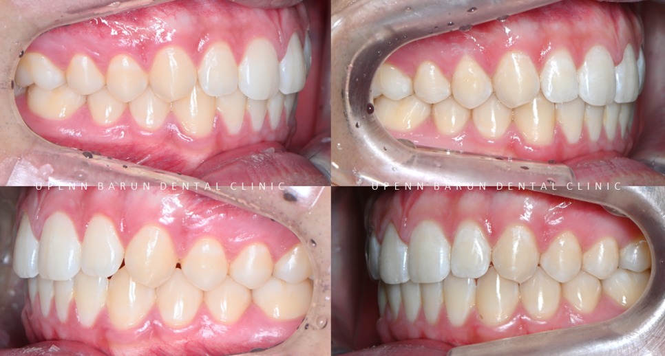
치료기간 24/3/30 - 24/5/18
위 사진은
잠실교정치과
잠실인비절라인다이아몬드등급치과에서
인비절라인익스프레스 치료옵션으로
상악(윗니)치아를
단 7주만에 교정을 마무리 해드린 사진입니다 :)
이처럼
앞니벌어짐 교정이나 치아 배열만 개선하고 싶을때
아랫니는 그대로 둔채
인비절라인익스프레스 교정치료로 '윗니만 교정' 하여
치아 배열을 올바르게 개선할 수 있습니다.
윗니와 아랫니의 교합상태에 따라
아랫니를 함께 교정해야 하는 경우도 있으니
유펜바른치과에서 환자 개개인에 맞는 꼼꼼한 상담 후
진행하시는 것을 추천드립니다. ^^

치료기간 24/3/30 - 24/5/18
위의 사진처럼
앞니 사이의 틈은 경우에 따라
라미네이트나 레진으로 치료를 하기도 하지만
라미네이트는 치아삭제가 불가피하고
앞니레진치료의 경우 변색이나 탈락 가능성이 있어
치아를 보존적으로 유지하면서 앞니를 올바르게 배열해줄 수 있는
인비절라인교정치료를 진행해드렸습니다.
환자분께서는
잠실새내치아교정
유펜바른치과에서 인비절라인익스프레스를 진행하셨는데요,
인비절라인익스프레스는
인비절라인 치료옵션 중에서 Invisalign Comprehensive나 Lite 옵션에 비해
치아의 비뚤어짐이 심하지 않은 증례에 적용해 볼수 있는 치료 옵션입니다.

치료기간 24/3/30 - 24/5/18
치아 사이의 틈이 있는 경우
앞니가 벌어져 활짝 웃지 못하고
발음이 새고
음식물이 잘끼게 될 수 있는데요,
잠실인비절라인익스프레스는
미세한 치아사이공간 닫기 등
간단한 앞니교정에 적합하며
약 7주에서 14주안에 치료가 완료되어
빠르고 경제적인 것이 특징입니다.
인비절라인의 종류에 대해 궁금하시다면 아래 링크를 참고해보세요 :)
1st ClinCheck


첫번째 클린체크의 7개 장치로
마무리된 사진입니다.
환자분의 고민이셨던 앞니 사이의 공간이 모두 닫혔습니다 :)
인비절라인은
-
투명한 소재로 일상생활에 지장을 크게 주지 않고
-
자주 내원하지 않아도 되며
-
일주일에 한번씩 새로운 장치를 착용하게 되므로 위생적인것이 특징입니다.

치료기간 24/3/30 - 24/5/18
미세한 공간을 이용해 치아를 바르게 배열하고
클린체크대로 곧고 가지런하게
마무리 되었어요 ^^


치아의 크기가 다른 치아에 비해 현저히 작은경우
레진이나 라미네이트를 고려해볼 수 있었으나,
환자분처럼
치아 사이의 틈이 있고
치아의 크기가 정상적인 경우에
교정력을 이용해
공간만 닫는 방법으로
인비절라인익스프레스 옵션을 이용하여
치아 사이의 틈을 메꿔줄 수 있습니다^^

도드라져 보이던 앞니사이의 공간이 닫히게 되고 치열이 가지런해지면서
웃으실때 자신감이 없으셨던 이전과는 달리
교정 후 언제 어디서든 밝게 웃으실 수 있어
매우 만족해 하셨는데요 ^^
2022년 플래티넘등급
2023년 플래티넘 엘리트등급
2024년 다이아몬드등급
을 달성한
유펜바른치과에서 미소를 되찾아보세요 :)
매년 점점 많은 환자분들께서 찾아주시는
'꾸준히 성장하는 치과'
유펜바른치과는
인비절라인 다이아몬드등급을 받은 만큼
책임감을 가지고 환자분 한분 한분의
심도 있는 진료를 약속 드리고
원장님의 진료경험과 노하우, 높은 숙련도, 책임감을 통해
더 좋은 결과를 드릴 수 있도록 노력하겠습니다.
김승우 대표원장은
미국 아이비리그 명문 UPenn 치대 졸업,
뉴욕 Albert Einstein 의대 부속병원
몬테피오레 메디컬 센터(Montefiore Medical Center)에서
3년간 정식 교정과 수련을 마친
ABO 미국 치과교정과 전문의 (Diplomate of the American Board of Orthodontics, ABO) 입니다.
ABO는 국내 단 13명 (2022년 2월 기준)으로, 유펜바른치과에서 그 치료를 경험해 보실 수 있습니다.
유펜바른치과에서는 치아교정, 인비절라인교정, 일반진료, 임플란트 및 보존과 전문의, 소아치과 전문의의 협진으로 어린이 진료까지 가능합니다.



