아카이브 요약
이 페이지의 역할
서울리멤버치과의원의 네이버 블로그 원문을 보존한 아카이브 페이지입니다. 임플란트 카테고리의 텅텅 여기저기 빠져버린 치아들, 이젠 음식을 씹을 수도 없어요.. 어떡하죠? 서울대입구역 리멤버 치과 글을 통해 병원의 한국어 정보 제공 방식과 진료 관련 안내 톤을 확인할 수 있습니다.
원문 검증
필요하면 원문 블로그와 병원 프로필로 바로 이동해 문맥을 다시 확인할 수 있습니다.
출처 아카이브 열기아카이브된 블로그 글
서울리멤버치과의원 · Naver Blog
반갑습니다, 서울대입구역 리멤버 치과 박정기 대표원장입니다. 만약 내 이가 빠져버리게 된다면 우리는 어떻게 생활하게 될까요? 밥을 편하게 먹을 수도 없고, 환하게 웃을 수도, 사람들과 하하 호호 얘기하기도 힘들게 되죠. 치아는 심미적인 역할과 더불어 음식을 씹을 수 있는 기능적인 역할을 갖고 있는데요. 둘 중 하나라도...
게시일
2022년 12월 5일
원문 기준으로 확인된 발행일입니다.
카테고리
임플란트
원문 블로그 카테고리를 정리해 함께 표시합니다.
이미지 수
9
현재 아카이브에 연결된 이미지 수입니다.
아카이브 요약
서울리멤버치과의원의 네이버 블로그 원문을 보존한 아카이브 페이지입니다. 임플란트 카테고리의 텅텅 여기저기 빠져버린 치아들, 이젠 음식을 씹을 수도 없어요.. 어떡하죠? 서울대입구역 리멤버 치과 글을 통해 병원의 한국어 정보 제공 방식과 진료 관련 안내 톤을 확인할 수 있습니다.
원문 검증
필요하면 원문 블로그와 병원 프로필로 바로 이동해 문맥을 다시 확인할 수 있습니다.
출처 아카이브 열기반갑습니다,
서울대입구역 리멤버 치과
박정기 대표원장입니다.
만약 내 이가 빠져버리게 된다면 우리는 어떻게 생활하게 될까요?
밥을 편하게 먹을 수도 없고, 환하게 웃을 수도, 사람들과 하하 호호 얘기하기도 힘들게 되죠.
치아는 심미적인 역할과 더불어 음식을 씹을 수 있는 기능적인 역할을 갖고 있는데요.
둘 중 하나라도 잃어버릴 경우 박탈감은 물론이며, 전처럼 편하게 생활하는 게 쉽지 않게 됩니다.
오늘 소개해 드릴 증례 또한 이와 같은데요.
몇 년 전, 이가 없어 도저히 생활할 수가 없다며 저에게 찾아오셨던 분입니다.
실제 과정을 함께 보며 자세하게 설명드리겠습니다.
선생님, 사실 치료를 미루고 미뤄왔는데요..
이젠 도저히 아닌 것 같아서 찾아왔어요.
잘 부탁드립니다.
한00님



네, 진료를 미룬 채로 수년을 지내셨다는데요.
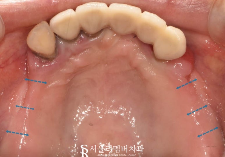
서울대입구역 치과 에서 실제 구강 내를 확인해 본 결과..
치아 상실은 물론이며 여기저기 염증과 치석, 치은 퇴축 등 관리가 잘되지 않았다는 걸 알 수 있었습니다.
어금니 쪽 구치부들은 2개의 약간의 잔존조직을 제외한 채 형태를 찾아볼 수 없었는데요.
그나마 남아있던 앞쪽 전치부도 상황은 같았습니다.
오래된 보철 안으로 충치, 염증, 치주 질환 등이 생겨 주위 잇몸에 물집이 잡히고 부종이 나타나있네요.
보아하니 환자께서 느끼셨을 통증 또한 컸을 것으로 짐작되었습니다.
편하게 식사하는 건 꿈도 못 꾸셨을듯한 구강이네요.

어쩌면 앞쪽 치아들은 살릴 수 있지 않을까? 하며 자세히 살펴보았는데요.
아이고.. 이미 잇몸이 내려앉아 뿌리 부근에 염증이 진행되고 있었습니다.
곧 덜렁덜렁 흔들리고 자연스레 빠져버리게 되겠군요.
아무래도 전체적인 치료가 필요할 것 같습니다.
이제라도 아무 걱정 없이 편하게 밥을 먹고 싶다던 환자,
서울대입구역 리멤버 치과 에서 튼튼한 임플란트를 심어 잃어버린 자연치 기능을 살려주기로 계획했습니다.
"지금 전체적으로 살펴본 결과..
살릴 수 있는 곳들이 없었어요.
아무래도 전체 임플란트 식립을 진행해야 될 것 같네요.
그동안 많이 불편하셨죠?'
"네, 선생님.
상황이 좋지 않다는 건 계속 알고 있었는데..
진료를 보려니깐 여러 면에서 발걸음이 떼지지 않더라고요.
이제라도 치료를 받을 수 있어서 다행이에요.
사실 지인에게 소개받고 2시간을 달려서 왔어요.
잘 부탁드릴게요^^"
2시간이나 걸려 저를 찾아오셨다는 환자분.
발걸음이 후회되지 않도록 좋은 결과를 안겨 드려야겠습니다!
서울대입구역 리멤버 치과 에서는 남아있는 기존 조직, 치아를 제거했습니다.
이제 순차적으로 임플란트 수술을 진행할 차례인데요.
아무래도 한 번에 다 심게 되면 기간은 단축되어 좋겠으나 주변 조직에 무리가 갈 수 있으며, 통증이 심해 불편함을 크게 느낄 수 있습니다.
수술 중 나타날 수 있는 위험성도 높아지게 되고요.

따라서 몇 차례에 걸쳐 인공치근의 역할을 해줄 임플란트 픽스처를 심었습니다.
이후, 서울대입구역 치과 에서는 지르코니아 재료를 사용해 크라운 제작을 도왔는데요.
자연치의 형태와 유사할 수 있도록 쉐이드, 색조 선택에 심혈을 가했답니다^^
하얗고 고른 이도 좋지만 제일 좋은 건 자연치처럼 티가 나지 않는 거겠죠?
주변 조직, 잇몸, 안모, 미소, 분위기 등 여러 형태를 고려하여 제작했습니다.


제작이 완료된 후에는 따로 불편한 게 없는지 재차 확인을 한 뒤에 최종 결합 도와드렸습니다.
어떤가요? 미소를 띠고 있는 사진을 보면 보철인 게 티가 안날 정도로 자연스러운 모습이네요ㅎㅎ

전체 식립으로 치료 기간이 짧진 않았으나 환자의 높은 협조도로 인해 예상했던 기간에서 크게 벗어나지 않고 마무리할 수 있었습니다.
오래도록 보철을 유지할 수 있도록 지속적인 사후관리를 약속드렸습니다.
전체 임플란트의 경우 수술 과정에서 일어날 수 있는 돌발 상황이 많을뿐더러, 출혈과 지혈 때문에 난도가 높죠.
따라서 임상 경험이 풍부한 의료진에게 받는 것이 오래도록 사용할 수 있는 방법이 될 수 있습니다.
이와 관련하여 문의할 것은 언제든 댓글 남겨주시기 바랍니다.
순차적으로 확인한 뒤에 답변 도와드리겠습니다.
서울대입구역 리멤버 치과 였습니다.
감사합니다.
