아카이브 요약
이 페이지의 역할
서울리멤버치과의원의 네이버 블로그 원문을 보존한 아카이브 페이지입니다. 임플란트 카테고리의 밝게 웃어본 적이 언젠지.. 낙성대역 서울 리멤버 치과 에서 잃어버린 미소를 찾아드렸습니다. 글을 통해 병원의 한국어 정보 제공 방식과 진료 관련 안내 톤을 확인할 수 있습니다.
원문 검증
필요하면 원문 블로그와 병원 프로필로 바로 이동해 문맥을 다시 확인할 수 있습니다.
출처 아카이브 열기아카이브된 블로그 글
서울리멤버치과의원 · Naver Blog
피부는 상처가 나면 자연스레 아물고 원래 상태로 되돌아가지만 우리의 치아는 한 번 손상되면 스스로 회복될 수 없습니다. 인위적인 치과 치료를 받아야만 기능을 살릴 수 있죠. 이런 이유 때문에 구강 건강 관리에 신경을 써야 된다~ 예방할 수 있을 때 하는 게 좋다 ~ 이런 말들이 나오는 건데요. 한 가지 예시를 들어보겠...
게시일
2022년 12월 8일
원문 기준으로 확인된 발행일입니다.
카테고리
임플란트
원문 블로그 카테고리를 정리해 함께 표시합니다.
이미지 수
6
현재 아카이브에 연결된 이미지 수입니다.
아카이브 요약
서울리멤버치과의원의 네이버 블로그 원문을 보존한 아카이브 페이지입니다. 임플란트 카테고리의 밝게 웃어본 적이 언젠지.. 낙성대역 서울 리멤버 치과 에서 잃어버린 미소를 찾아드렸습니다. 글을 통해 병원의 한국어 정보 제공 방식과 진료 관련 안내 톤을 확인할 수 있습니다.
원문 검증
필요하면 원문 블로그와 병원 프로필로 바로 이동해 문맥을 다시 확인할 수 있습니다.
출처 아카이브 열기피부는 상처가 나면 자연스레 아물고 원래 상태로 되돌아가지만 우리의 치아는 한 번 손상되면 스스로 회복될 수 없습니다.
인위적인 치과 치료를 받아야만 기능을 살릴 수 있죠.
이런 이유 때문에 구강 건강 관리에 신경을 써야 된다~ 예방할 수 있을 때 하는 게 좋다 ~ 이런 말들이 나오는 건데요.
한 가지 예시를 들어보겠습니다.
만약 내 이가 몽땅 빠져버렸습니다. 내버려 두면 자연스레 자랄까요? 물론 유치가 손상되었을 경우에는 남아있는 영구치가 나오긴 하죠.
이 경우를 제외하면 다시 회복이 되는 일은 절대 없을 겁니다.
임플란트나 틀니로 자연치의 역할을 대신할 수밖에 없죠.
요즘은 예전에 비해 구강 건강에 대한 관심이 높아지고 있기에 전보단 치과 치료에 거부감이 없는 편입니다.
그러나 아직까지도.. 바쁜 일상, 금전적 문제 등 여러 개인 사정으로 병소를 방치하는 분들이 많은데요.
계속해서 내버려 두게 되면 결국에는 아무런 기능을 하지 못한 채 빠져버리게 됩니다.
어쩝니까. 이때는 손도 못써보고 임플란트를 심을 수밖에요.
낙성대역 치과 에서 오늘 소개해 드릴 케이스는 앞니가 몽땅 빠져버릴 것 같다며 저를 찾아오셨던 환자의 증례입니다.
사진을 보며 하나씩 설명드리겠습니다.
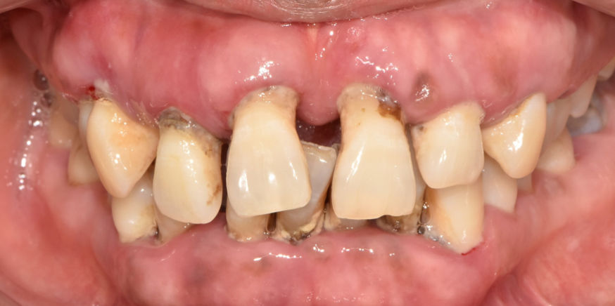
진단
낙성대역 치과

뿌리(치경부) 드러남
곳곳에 쌓여 있는 치석
잇몸(치은) 퇴축
염증으로 인한 부종
심한 흔들림(동요)
치근단염
위 문제점들을 찾을 수 있었습니다.
아무래도 앞쪽에 있는 전치부 치아들은 살릴 수 있는 게 거의 없어 보였는데요.
심한 흔들림이 나타나 금방이라도 빠질 것 같았습니다.
사진을 보고 어떤 걸 느끼셨나요? 깔끔하고 좋은 인상을 줄 수 있을까요?
그렇진 않습니다. 심미성이 확연히 떨어지는 것을 볼 수 있죠. 안타깝지만 아무도 좋은 쪽으론 생각하지 않을 겁니다.
심미뿐만 아니라 절단, 교합의 기능을 할 수 없게 되는데요.
낙성대역 치과 에서 하루빨리 해당 문제를 개선해 드려야겠습니다.

이와 더불어 좌측 어금니 3곳에서 충치로 인한 치근단염이 관찰되었습니다.
맨 안쪽에 있는 치아는 바로 빠져도 이상하지 않을 만큼 겨우 매달려 있었는데요.
진단 결과를 토대로 아래와 같이 계획을 세웠습니다.
상, 하악 전치부 임플란트
구치부 염증 치아 발치 (# 27 # 38)
신경치료 ( # 37)
치료
낙성대역 치과
전치부 임플란트 식립을 위해 남아있는 조직들을 깨끗하게 없애주었습니다.
혹시라도 남아있게 된다면.. 추후 수술 실패 혹은 부작용의 원인이 될 수 있기 때문이죠.
완전히 제거됨을 확인한 다음 인공치근의 역할을 할 픽스처를 심어드렸습니다.
잇몸의 상태가 별로 좋지 않았기에 기존 조직과 단단히 결합될 수 있을까 걱정이 되었는데요.
다행히 별문제 없이 심을 수 있었네요. 치유지대주까지 부착한 뒤에 어금니 염증이 심한 곳들을 뽑았습니다.
한군데 치아는 그나마 살릴 수 있었기에 신경치료를 진행하기로 했습니다.
이전 과정과 똑같이 깨끗하게 발치를 한 뒤에 근관을 깨끗하게 청소, 소독, 밀폐를 진행하여 끝냈습니다.

자 이제 크라운까지 씌우면 모든 과정이 마무리되겠군요.
전후 사진을 보고 깜짝 놀라시면 안됩니다ㅎㅎ 동일인이 맞나 여러 번 확인하게 되실 겁니다.
낙성대역 치과 에서는 본래 갖고 있던 치아의 색조와 형태를 재현하여 크라운 제작을 마쳤습니다.
어떤가요? 심미면에서도 위화감 없이 주변 조직과 조화롭게 잘 이루어지며 단단하게 심어져 자연치의 기능을 회복할 수 있겠네요.


일상생활 곳곳에서 불편함을 느끼셨을 환자분,
이제 맛있는 음식을 편하게 드실 일만 남으셨네요!
부디 청결한 관리와 정기검진으로 오래오래 유지하기 바랍니다^^
오늘 낙성대역 리멤버 치과 에서 소개해 드린 내용이 도움이 되셨으면 좋겠습니다.
언제든 문의할 내용은 아래에 댓글 남겨주시면 순차적으로 확인 후 친절한 답변 도와드리겠습니다.
긴 글 읽어주셔서 감사합니다.
