아카이브 요약
이 페이지의 역할
서울리멤버치과의원의 네이버 블로그 원문을 보존한 아카이브 페이지입니다. 임플란트 카테고리의 빠져버린 치아 그대로 내버려 두면 안모변형을 초래할 수 있습니다! 신림역 서울 리멤버 치과 글을 통해 병원의 한국어 정보 제공 방식과 진료 관련 안내 톤을 확인할 수 있습니다.
원문 검증
필요하면 원문 블로그와 병원 프로필로 바로 이동해 문맥을 다시 확인할 수 있습니다.
출처 아카이브 열기아카이브된 블로그 글
서울리멤버치과의원 · Naver Blog
반갑습니다, 신림역 서울 리멤버 치과 박정기 대표원장입니다. 합죽이에 대해 알고 계시나요? 흔히들 이가 빠져서 볼이 움푹 들어간 사람을 '합죽이'라고 부르는데요. 우리의 치아는 음식을 씹는 저작, 절단 외에도 안모 유지의 기능이 있습니다. 이가 빠진 채로 내버려 둘 경우에는 탱탱하게 살이 차올랐던 전과는 달리 제 기능...
게시일
2022년 12월 12일
원문 기준으로 확인된 발행일입니다.
카테고리
임플란트
원문 블로그 카테고리를 정리해 함께 표시합니다.
이미지 수
11
현재 아카이브에 연결된 이미지 수입니다.
아카이브 요약
서울리멤버치과의원의 네이버 블로그 원문을 보존한 아카이브 페이지입니다. 임플란트 카테고리의 빠져버린 치아 그대로 내버려 두면 안모변형을 초래할 수 있습니다! 신림역 서울 리멤버 치과 글을 통해 병원의 한국어 정보 제공 방식과 진료 관련 안내 톤을 확인할 수 있습니다.
원문 검증
필요하면 원문 블로그와 병원 프로필로 바로 이동해 문맥을 다시 확인할 수 있습니다.
출처 아카이브 열기반갑습니다,
신림역 서울 리멤버 치과
박정기 대표원장입니다.
합죽이에 대해 알고 계시나요?
흔히들 이가 빠져서 볼이 움푹 들어간 사람을 '합죽이'라고 부르는데요.
우리의 치아는 음식을 씹는 저작, 절단 외에도 안모 유지의 기능이 있습니다.
이가 빠진 채로 내버려 둘 경우에는
탱탱하게 살이 차올랐던 전과는 달리 제 기능을 하지 못하기 때문에
축 처지고 안으로 파인 모습이 나타나게 되죠.
이가 빠지지 않게 관리를 잘 하는 게 제일 좋은 방법이지만
많은 분들이 실천으로 옮기지 않는 게 과반수죠.
물론 그렇게 하지 못하는 개인적인 상황이 있을 수 있습니다.
구강을 제때 지키지 못해 이곳저곳이 손상되었다면
최대한 빠른 시일 내에 신림역 치과 를 내원하여 올바른 조치를 받아야 되는데요.
이마저도 하지 않게 되면
조직들이 본래 자기가 갖고 있던 기능을 잃어버리게 되고
치조골 퇴축, 지지력 저하, 정출 등 여러 문제가 일어나게 됩니다.
나중에는 임플란트 식립에서 끝나지 않고
뼈이식을 추가로 진행할 수도 있죠.
이전에 저에게 치료 받으셨던 환자의 증레를 소개해드리며
자세히 설명드리겠습니다.
"선생님, 저 앞니가 없어서 발음도 이상하고 음식을 먹을 수가 없어요. 얼굴도 점점 변하는 것 같고요.
그간 치과 를 갈 여건이 되지 않아서 계속 치료를 미뤘는데.. 이제서야 오게 되었네요."



피치 못할 사정으로 치료를 미뤄왔던 환자인데요.
그동안.. 구강 내에서는 여러 문제들이 발생했네요.
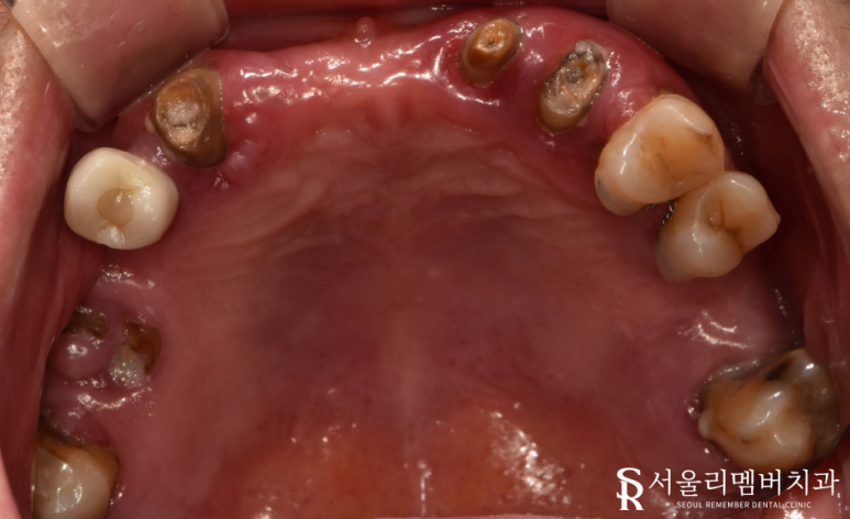
앞니 상실 및 잔존 치근
구강위생 불량 (다수의 치석, 충치, 잇몸 염증)
정출
치경부 드러남
크게 4가지를 꼽을 수 있겠군요.
엑스레이를 보면 남아있던 치아 대부분에서 치근단 염증(뿌리)이 진행되고 있었는데요.
조금만 내버려 둬도 곧 자연 발치가 될 것으로 예상되었습니다.

자연치를 살릴 수 있다면 살리는 것이 좋겠으나
안타깝게도 살릴 수 있는 것은 존재하지 않았습니다.
신림역 환자께서도 임플란트를 심어야 되는 걸 이미 인지하고 오셨기에
크게 거부감을 느끼지 않았습니다.
식립 할 개수가 많기 때문에 좀 더 정확한 분석이 필요했는데요.
주변 조직과의 관계, 위치, 형태를 확인한 뒤에 본격적인 치료 진행했습니다.
남아있는 잔존 치근, 염증이 생긴 이들을 깨끗하게 제거했습니다.
조금이라도 남아있게 된다면 또 다시 우리를 괴롭힐 수 있기 때문에 몇 차례 확인을 했죠.
자, 이제 본격적인 식립 과정으로 들어가야죠?
정확한 위치에 단단하게 심어주었습니다.
구강 상태가 좋지 않았던 거에 비해
다행히 골융합은 그리 나쁜 편이 아니네요.
별문제 없이 임플란트를 심을 수 있었습니다.

잇몸이 회복될 수 있도록 어느 정도 시간을 두었는데요.
이 기간 동안 주의사항을 잘 지켜주는 것이 치료의 결과를 좌우할 수 있는 포인트죠.
금주, 흡연은 기본이며 외력을 받지 않도록 조심해서 사용하셔야 됩니다^^



이후 생활하는 데에 불편함이 없도록 임시 보철을 올려드렸습니다.
몇 달 뒤, 최종 보철 세팅을 위해 다시 내원하셨는데요.
자 이제 결과가 어떻게 됐는지 확인을 해야겠죠?


이전에는 썩어있거나 이미 빠져버린 채 남아있던 치아들이
자연치와 유사한 외관을 자랑하는 지르코니아 크라운으로 꽉 채워져 있네요.
환자께서도 밝게 웃으며 이렇게 튼튼하고 예쁜 치아를 얼마 만에 갖는 건지 모르겠다며ㅎㅎ
수차례 감사의 인사를 하셨습니다.
안 좋아지기 전에 미리 예방을 할 수 있다면 좋으려만..
이 환자분과 같이 피치 못할 사정이 있는 분들이 많죠.
그러나 미루면 미룰수록 점점 더 안 좋아지는 것은 물론이며 병소 진행 속도가 빨라집니다.
신림역 치과 에서 다시 한번 강조 드리는 한 가지!
치과 치료를 빠르면 빠를수록 좋다.
위 내용과 관련하여 문의할 내용은 아래 댓글 및 신림역 리멤버로 연락 바랍니다.
감사합니다.
