아카이브 요약
이 페이지의 역할
서울리멤버치과의원의 네이버 블로그 원문을 보존한 아카이브 페이지입니다. 임플란트 카테고리의 금방이라도 빠져버릴 것 같은 치아들, 전체임플란트 식립으로 개선했던 이야기. 이수역 서울 리멤버 치과 글을 통해 병원의 한국어 정보 제공 방식과 진료 관련 안내 톤을 확인할 수 있습니다.
원문 검증
필요하면 원문 블로그와 병원 프로필로 바로 이동해 문맥을 다시 확인할 수 있습니다.
출처 아카이브 열기아카이브된 블로그 글
서울리멤버치과의원 · Naver Blog
오늘 소개해 드릴 내용은 몇 년 전 저를 찾아오셨던 분인데요. 치료했던 순간순간이 아직도 생생하게 기억이 나네요. 이 환자의 치료 과정을 소개해 드리며 꼭. 강조 드리고 싶은 것이 있습니다. 구강 건강은 한 번 망가지면 돌이킬 수 없다는 것이죠. 직접 사진을 보며 자세히 설명드리겠습니다. 네, 한눈에 봐도 여기저기...
게시일
2022년 12월 20일
원문 기준으로 확인된 발행일입니다.
카테고리
임플란트
원문 블로그 카테고리를 정리해 함께 표시합니다.
이미지 수
9
현재 아카이브에 연결된 이미지 수입니다.
아카이브 요약
서울리멤버치과의원의 네이버 블로그 원문을 보존한 아카이브 페이지입니다. 임플란트 카테고리의 금방이라도 빠져버릴 것 같은 치아들, 전체임플란트 식립으로 개선했던 이야기. 이수역 서울 리멤버 치과 글을 통해 병원의 한국어 정보 제공 방식과 진료 관련 안내 톤을 확인할 수 있습니다.
원문 검증
필요하면 원문 블로그와 병원 프로필로 바로 이동해 문맥을 다시 확인할 수 있습니다.
출처 아카이브 열기오늘 소개해 드릴 내용은 몇 년 전 저를 찾아오셨던 분인데요.
치료했던 순간순간이 아직도 생생하게 기억이 나네요.
이 환자의 치료 과정을 소개해 드리며 꼭. 강조 드리고 싶은 것이 있습니다.
구강 건강은 한 번 망가지면 돌이킬 수 없다는 것이죠.
직접 사진을 보며 자세히 설명드리겠습니다.

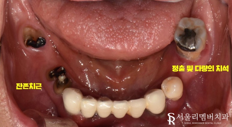
네, 한눈에 봐도 여기저기 망가진 치아들이 관찰되는데요.
이수역 치과 에서 좀 더 자세히 살펴볼까요?


정출
치경부 드러남
빠져버린 치아
다량의 치석
치주 질환
잔존 치근
정밀 검진을 하지 않았는데도 불구하고 위와 같은 문제들이 발견되었습니다.
아무래도 간단하게 해결되진 않을 것 같은데요.
구강을 뒤집어엎는 대공사가 필요해 보입니다.

제가 짐작해 봤을 땐 원래부터 구강 관리에 크게 신경을 쓰지 않으셨던 것 같습니다.
이미 심각하게 진행된 잇몸의 염증 상태와 뿌리를 보면 알 수 있죠.
이렇게 내버려 둔다면 며칠 안에 자연 발치가 될 수 있을 만큼 심각한 상태였습니다.
환자께서도 여러 불편함을 느끼셨다는데요.
무엇보다 음식을 먹는 게 힘들었고 구취, 발음 문제 등 일상생활 곳곳에서 자신을 괴롭혔다네요.
아무래도 통증, 이 시림도 꽤 심각할 거란 생각이 들었습니다.
그동안 치과 내원을 왜 미루셨을까 대화를 나눠보았는데요.
그중 일부를 발췌했습니다.
"환자분~ 지금 치료를 받은 지 얼마나 되셨어요?"
"음.. 기억이 잘 안 나네요.
수년은 된 것 같아요. 처음엔 어떻게 손 좀 써보려고 치료도 받았어요.
그런데 며칠 지나니깐 이게 과연 나아질 수 있을까 의문이 들기도 했고..
무엇보다 비용, 시간적으로 부담이 됐거든요.."
"아. 그러셨군요ㅜㅜ
지금이라도 마음먹고 찾아와주셔서 감사합니다.
더 이상 불편함을 느끼지 않도록 도와드릴게요."
정확한 계획을 세우기 위해 정밀 검진을 진행했습니다.
이미 뿌리 염증이 심하게 퍼져있었기 때문에 더 이상 살릴 수 있는 치아는 없었습니다.
안타깝지만 어쩔 수 없이 전체임플란트 식립을 통해
잃어버린 기능과 외관을 살려줘야겠군요.
< 이수역 치과 의 모든 치료는 환자의 동의를 얻은 후 진행했습니다. >
이수역 전체임플란트 식립 전
주요 조직과의 관계, 기저질환, 복용약 유무를 꼼꼼히 확인한 뒤에 심어드렸습니다.
묻는 분들이 간혹 계신데요.
꼭 그렇지만은 않습니다. 수술의 난이도가 올라갈 뿐이죠.
올바른 계획과 의료진의 실력만 받쳐준다면 문제없이 진행할 수 있습니다.

식립 개수가 많았기 때문에 기간이 오래 걸렸는데요.
다행히 이수역 치과 환자께서 협조를 잘해주셨기 때문에 예상했던 기간 내에서 마칠 수 있었습니다.
전체임플란트 는 무엇보다 '협조'가 중요하다고 할 수 있죠.
몇 달에서 몇 년까지 걸릴 수 있는 만큼
의사소통, 신뢰가 탄탄히 자리 잡고 있어야 됩니다^^
드디어 이수역 치과 의 전체임플란트 식립 이 끝이 났는데요.
위에 올릴 보철은 지르코니아를 사용하기로 했습니다.
아무리 보철이라도 자연치처럼 예쁘게 보이는 것이 중요하겠죠?

비교할 수 있는 인접치가 없더라도 안모, 분위기, 입술 등을 고려하여
위화감이 느껴지지 않도록 제작을 했습니다.
하얗고 고른 이가 무조건 예쁘다고 느껴질 수 있겠지만
개인의 얼굴형, 성별, 인종에 따라 치아의 형태는 제각각 달라지게 됩니다.
즉, 딱 자신에게 어울리는 모양이 있다는 거죠.
최대한 자연스럽게 제작하는 것이 보철을 오래 사용할 수 있는 방법이죠.
최종적으로 보철을 올려드린 후 이수역 치과 의 전체임플란트 과정이 마무리되었습니다.


이전보다 밝고 건강한 미소를 갖게 되었네요.
또한 울긋불긋 튀어나와있었던 잇몸 염증 또한 가라앉은 모습입니다.
아직까지도 무조건 자연치를 지키는 게 좋다며 고집하는 분들이 간혹 계십니다.
그러나 이 환자분처럼 예후가 좋지 않거나
이미 이가 많이 빠져버린 경우에는 보철을 올리는 것이 좋은 해결책이 될 수 있죠.
이와 관련하여 문의할 내용은 댓글 남겨주시기 바랍니다!
이수역 서울 리멤버 치과
박정기 대표원장이었습니다.
감사합니다.
