아카이브 요약
이 페이지의 역할
서울리멤버치과의원의 네이버 블로그 원문을 보존한 아카이브 페이지입니다. 임플란트 카테고리의 치석이 발치로 이어질 수 있다는 말, 사실일까요?! 봉천동 서울 리멤버 치과 글을 통해 병원의 한국어 정보 제공 방식과 진료 관련 안내 톤을 확인할 수 있습니다.
원문 검증
필요하면 원문 블로그와 병원 프로필로 바로 이동해 문맥을 다시 확인할 수 있습니다.
출처 아카이브 열기아카이브된 블로그 글
서울리멤버치과의원 · Naver Blog
치석은 도대체 왜 생기는 걸까요? 봉천동 치과 입속에 남아있는 음식 찌꺼기들과 세균이 결합하게 되면 '치태'가 생기는데요. 제때 제거를 하지 않고 방치를 하게 되면 석회화가 진행되어 '치석'으로 변합니다. 치태는 올바른 칫솔질로 제거를 할 수 있는 반면 딱딱하게 변한 것은 스케일링을 통해 없애주는 방법밖에 남지 않는데요....
게시일
2022년 12월 28일
원문 기준으로 확인된 발행일입니다.
카테고리
임플란트
원문 블로그 카테고리를 정리해 함께 표시합니다.
이미지 수
11
현재 아카이브에 연결된 이미지 수입니다.
아카이브 요약
서울리멤버치과의원의 네이버 블로그 원문을 보존한 아카이브 페이지입니다. 임플란트 카테고리의 치석이 발치로 이어질 수 있다는 말, 사실일까요?! 봉천동 서울 리멤버 치과 글을 통해 병원의 한국어 정보 제공 방식과 진료 관련 안내 톤을 확인할 수 있습니다.
원문 검증
필요하면 원문 블로그와 병원 프로필로 바로 이동해 문맥을 다시 확인할 수 있습니다.
출처 아카이브 열기치석은 도대체 왜 생기는 걸까요?
봉천동 치과
입속에 남아있는 음식 찌꺼기들과 세균이 결합하게 되면 '치태'가 생기는데요.
제때 제거를 하지 않고 방치를 하게 되면 석회화가 진행되어 '치석'으로 변합니다.
치태는 올바른 칫솔질로 제거를 할 수 있는 반면 딱딱하게 변한 것은 스케일링을 통해 없애주는 방법밖에 남지 않는데요.
많은 분들이 치석 자체를 큰 문제로 생각하지 않습니다.
그러나 제때 청소하지 않는다면.. 각종 구강질환의 원인이 될뿐더러
나중에는 치아의 지지력을 잃게 만들어 발치가 될 수 있다는 점.
봉천동 치과 에서 청결한 관리의 중요성을 강조하는 이유 중 하나죠.
미리 막을 수 있는 질환도 제때 치료를 받지 않으면 손을 쓸 수 없게 됩니다.
이와 관련된 환자의 증례를 통해 자세히 설명드리겠습니다.
선생님~
이가 너무 시리고 아파요..
누가 잡아당기는 것처럼 이상한 느낌도 드네요..
미루고 미루다 이제야 오게 되었어요.. 잘 부탁드려요.
봉천동 치과 홍 00님



환자께서는 전반적인 치아 통증을 느낀 채 저에게 찾아오셨습니다.
직접 구강 내를 확인해 보니 말씀해 주신 것보다 더! 심각했는데요.
앞니 상실
치경부 드러남
다량의 치석
치주염
충치
여러 문제들이 복합적으로 나타나고 있었습니다.
개인적인 사정으로 인해 진료를 계속해서 미뤄오셨다는데요.
아래 앞니에 쌓여있는 치석을 보면 그 세월을 느낄 수 있죠.
예상컨대 빠져버린 치아들도 잘못된 구강관리(치석 방치 및 잇몸질환)가 원인일 것 같네요.
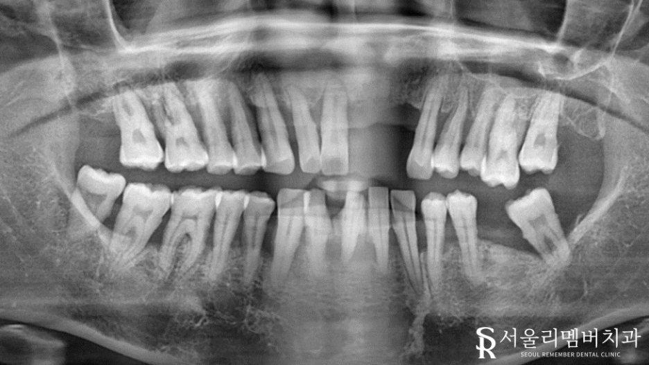
자, 본격적으로 계획을 세우기 위해 엑스레이 촬영을 진행했습니다.
그 결과 구강 내에서는 발견하지 못했던 부분들도 함께 관찰되었는데요.

왼쪽 어금니와 앞니에서 뿌리 부근 염증이 발견되었으며 치아가 위, 아래로 움직이는 정출까지 나타났습니다.
치조골 상태를 보면 치아를 지지할 수 없을 정도로 소실이 심해 보였는데요.
자연 발치가 이뤄져도 이상하지 않을 정도라면 이해가 쉬우실까요..?
봉천동 치과 에서 하루빨리 치료를 해서 불편함을 없애드려야겠습니다!
봉천동 치과 에서는 위 진단 내용을 토대로 아래와 같이 계획을 세웠습니다.


발치가 필요한 곳들을 깨끗하게 뽑아준 뒤 픽스처 식립 진행했습니다.
원래 잇몸질환이 심한 분이어서 잘 심어질 수 있을까 걱정이 되었는데요.
올바른 계획과 정확한 식립을 통해 튼튼한 고정력을 얻을 수 있었습니다.
픽스처 위에 올리는 최종 보철은 눈에 잘 띄는 곳에 있기 때문에
아무래도 심미적인 면을 중요시할 수밖에 없죠.
이때 심미적이라 하면 하얗고 올바른 형태만 떠오르실 텐데요.
그렇지만 환자께서 본래 갖고 있던 자연치와 유사하게 제작하는 것이 더 좋은 보철이라 할 수 있습니다.
따라서 치경부 라인 및 치아 형태 분석을 통해 최종 보철 제작을 마쳤습니다.

한눈에 봐도 어떤 게 보철인지 구분이 잘 가지 않는데요.
만약 이분께 사용했던 보철을 다른 분께 올려드리면 절~대 어울리지 않을 겁니다.
즉, 개인의 분위기, 안모, 입매, 성별 등을 분석하여 1:1 맞춤 제작을 진행해야 되죠.
환자께서도 통증은 물론이며 티가 나지 않는 외관도 마음에 쏙! 드신다는 말씀을 남기셨습니다ㅎㅎ



오늘 봉천동 치과 에서 소개해 드린 케이스, 도움이 되셨을까요?
이 글에서 한 가지만 느끼셨으면 좋겠습니다.
처음엔 작디작은 병소 하나도 나중에는 치아 전체를 망가뜨릴 수 있다는 점.
이상, 봉천동 서울 리멤버 치과
박정기 대표원장이었습니다.
감사합니다.
