반갑습니다.
남성역 서울 리멤버 치과
박정기 대표원장입니다.
새해를 맞이한지 얼마 지나지 않은 것 같은데
벌써 1월이 끝나가고 있네요.
설 연휴는 잘 보내셨을까요?
이 글을 읽는 분들 모두 새해 복 많이 받으십시오.
자, 오늘 남성역 치과 에서는 새로운 새해를 맞이하여
스케일링에 관련한 내용을 설명드리려 합니다.
해야 된다는 건 알고 있었는데
도대체 어떤 것을 예방하는지,
비용은 어느 정도가 나오는지,
보험 적용의 기준은 어떻게 되는지 궁금하실 텐데요.
한 번에 싹 정리해서 알려드리겠습니다!

스케일링 중요성
남성역 치과
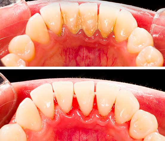
결론부터 말씀드리자면, 치석을 없애기 위한 제거술입니다.
치아 표면의 연성 부착물인 '치태'가 깨끗이 제거되지 않고
구강 내에 남아있게 될 경우에는
딱딱하게 석회화가 되어 '치석'으로 바뀌게 됩니다.

치태는 청결한 관리와 칫솔질 만으로 충분히 없앨 수 있지만
치석은 그렇지 못한다는 거죠..
칫솔질로는 없어지지 않으며 남성역 치과 에 내원하여
날카로운 기구나 초음파로 제거를 하는 스케일링을 받아야 됩니다.
이런 치석이 제때 제거되지 않고 잇몸이나 치아 주변에 붙어있게 된다면
우리의 구강 건강은 크게 악화되는데요.
이가 곧 빠질 거처럼 시리고 아픈 '풍치', '치주 질환'의 원인이 될 수 있으며
심지어는 치조골이 흡수되어
발치 후 임플란트를 심어야 되는 상황까지 처하게 됩니다.
잇몸, 치아 건강을 지키기 위해서는 꼭! 받아야 되는 중요한 시술입니다.

스케일링 보험 적용
연 1회 보험 적용이 가능하다는 사실, 알고 계셨을까요?
만 19세 이상 국민이라면
1월 1일부터 12월 31일이까지 혜택을 받으실 수 있습니다.
비용은 어느 정도 나오는지 궁금해하는 분들이 계실 텐데요.
평균적으로 1만 후반 ~ 2만 초반대로 잡혀 있으며
병원의 규모에 따라 청구되는 비용이 다를 수 있다는 점 참고 바랍니다.
스케일링 주기
권장 주기는 개인의 상태에 따라 달라지게 됩니다.
건강한 구강을 갖고 있는 분들은 6개월에서 1년에 한 번씩만 하셔도 큰 문제가 없는데요.
그렇지만 치주 질환이나 충치, 보철이 많은 분들은 얘기가 달라지게 되죠.
3~6개월에 한 번씩은 내원해 주시는 것이 좋은 방법입니다.
음주와 흡연을 좋아하는 분들도 해당됩니다^^
알아두면 좋은 내용

- 치석이 많이 쌓인 경우에는 소량의 출혈이나, 뻥 뚫린 느낌이나 이 시림이 나타날 수 있습니다.
이는 막혀 있던 공간이 뻥 뚫리면서 생기는 자연스러운 현상인데요.
2~3일이 지나면 없어지므로 크게 걱정하지 않으셔도 됩니다.
- 간혹 이가 흔들린다고 느끼는 분들이 계십니다.
치석이 치조골 대신 이를 지지하고 있었기 때문인데요.
남성역 치과 의 정확한 검진을 통해 치조골의 흡수 여부를 따져
추가적인 치료가 필요할 수 있습니다.
- 깨끗하게 청소를 해주는 시술이지만, 구강에 무리가 갈 수 있습니다.
따라서 자극적인 음식 섭취, 음주와 흡연, 비위생적인 관리는 하지 않는 것이 좋습니다.

오늘 남성역 치과 에서 알려드린 내용이 도움이 되셨을까요?
새해를 맞이하여 구강검진 및 스케일링을 받으러
남성역 치과 를 내원하는 건 어떠실까요?
예방 및 조기 발견만이 자연치를 오래오래 사용할 수 있는 지름길입니다.
이와 관련하여 문의할 내용은 아래 댓글 및 리멤버로 연락 바랍니다.
더 좋은 정보로 찾아오겠습니다.
감사합니다.

© kellysikkema, 출처 Unsplash